"뱃살인 줄 알았는데"… 여성 배에서 나온 16kg짜리 덩어리, 정체는?
전체 맥락을 이해하기 위해서는 본문 보기를 권장합니다.
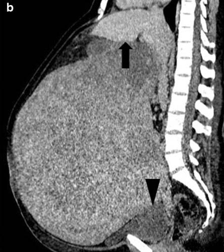
원인 모를 심각한 복부 비만이 지속되고, 월경과다가 수시로 발생하는 여성은 '자궁근종'을 의심해봐야 한다.
단순 복부 비만인 줄 알고 15년간 증상을 방치했다가 뒤늦게 거대 자궁근종을 발견한 독일 40대 여성 사례가 공개된 바 있다.
의료진은 "자궁근종은 여성에서 흔히 발견되지만, 이번처럼 크기가 50cm가 넘고 무게가 11.6kg나 되는 거대 자궁근종은 극히 드물다"며 "양성종양은 특정 증상 없이 느리게 자랄 수 있어 환자가 눈치 채지 못할 수 있다"고 했다.
이 글자크기로 변경됩니다.
(예시) 가장 빠른 뉴스가 있고 다양한 정보, 쌍방향 소통이 숨쉬는 다음뉴스를 만나보세요. 다음뉴스는 국내외 주요이슈와 실시간 속보, 문화생활 및 다양한 분야의 뉴스를 입체적으로 전달하고 있습니다.

원인 모를 심각한 복부 비만이 지속되고, 월경과다가 수시로 발생하는 여성은 '자궁근종'을 의심해봐야 한다. 단순 복부 비만인 줄 알고 15년간 증상을 방치했다가 뒤늦게 거대 자궁근종을 발견한 독일 40대 여성 사례가 공개된 바 있다.
독일 UKSH(Universitatsklinikum Schleswig-Holstein) 대학병원 의료진은 46세 독일 여성 A씨가 15년간 자궁 출혈이 계속되고 복부가 점점 커지는 증상이 지속됐다며 산부인과를 찾았다고 밝혔다. 한 달에 생리를 여러 번 하고, 한 번 생리할 때 출혈량이 과다한 문제도 있었다. 전에도 병원을 몇 번 방문했지만, 당시 영상 촬영 등 철저한 검사를 하지 않아 종양이 발견되지 않았다. 하지만 UKSH 대학병원 의료진 진찰 결과, 복부가 과도하게 확대되고 늘어져 있었으며 양쪽 옆구리가 무언가로 가득차 있는 게 확인됐다. CT 촬영을 했더니, 거대한 크기의 종양이 발견됐다. 의료진은 수술로 종양을 제거했고, 종양 크기를 측정한 결과 부피가 무려 52cm x 37xm x 34cm에 달했고, 무게는 16.4kg이었다. 전체는 양성이 자궁근종이었으며 암은 아니었다. 다행히 A씨는 수술로 종양을 제거하고 입원 5일 만에 합병증 없이 퇴원했다.

의료진은 "자궁근종은 여성에서 흔히 발견되지만, 이번처럼 크기가 50cm가 넘고 무게가 11.6kg나 되는 거대 자궁근종은 극히 드물다"며 "양성종양은 특정 증상 없이 느리게 자랄 수 있어 환자가 눈치 채지 못할 수 있다"고 했다. 지금껏 보고된 가장 큰 자궁근종의 무게는 이미 사망한 여성의 몸에서 발견된 63.3kg짜리 자궁근종이었다. 지난 50년 동안 전세계적으로 보고된 거대 자궁근종은 약 60건이다.
의료진은 "자궁근종의 원인은 여전히 불명확하지만 가족력, 유전적 변화, 흡연, 비만, 고지혈증 등의 생활방식이 영향을 미치는 것으로 추정한다"며 "자궁근종은 여성의 생식능력에 문제를 일으킬 뿐 아니라 아니라 심리에 안 좋은 영향을 줄 수 있다"고 설명했다.
자궁근종을 조기에 발견하려면 최소 6개월 또는 1년에 한 번씩 산부인과에서 검사받는 게 좋다.
이번 사례는 '의학사례보고저널'에 게재됐다.
Copyright © 헬스조선. 무단전재 및 재배포 금지.
- 알고리즘 이용해 ‘자궁근종’ 진단… 국내 연구진 개발
- 여성 배에서 나온 충격적 '거대 덩어리'… 정체가 뭐였을까?
- “혈당·체중 관리에 그만” 아침에 마시면 좋은 음료 6가지
- “복근 탄탄” 지효, 크롭톱 몸매 공개… 비결 대체 뭐야?
- “수십 마리 벌레가 대체 왜 여기에?” 20대 女 겪은 사연은
- “13kg 뺐다” 유희관, 이전과 확연히 달라진 모습… 비결은 ‘역시’
- 김숙, ‘이 셰프’ 때문에 살쪘다… 여행도 함께 떠났다던데?
- 밤에 일하는 사람, 식이섬유를 먹어라? 이유는
- 세계적 모델 벨라 하디드 “엄마·오빠와 같은 병 진단”… 라임병 대체 뭐길래?
- 헤어졌다 다시 만나는 연애, 몸과 마음 모두에 毒