찬바람에 손톱 밑 찌르는 통증? 사구체종양일수도
전체 맥락을 이해하기 위해서는 본문 보기를 권장합니다.
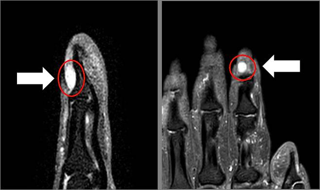
손톱, 발톱에 차가운 물이 닿거나 살짝 눌리기만 해도 극심한 통증이 느껴진다면 사구체종양을 의심해야 한다.
사구체 종양의 통증은 주로 손톱, 발톱 아래에서 발생하며 눈으로 보이는 병변이 없기 때문에 여러 병원을 찾아도 정확한 원인을 찾지 못 해 수 년을 고생하는 환자들이 많다.
이 글자크기로 변경됩니다.
(예시) 가장 빠른 뉴스가 있고 다양한 정보, 쌍방향 소통이 숨쉬는 다음뉴스를 만나보세요. 다음뉴스는 국내외 주요이슈와 실시간 속보, 문화생활 및 다양한 분야의 뉴스를 입체적으로 전달하고 있습니다.

#직장인 오씨(29세)는 겨울이 두렵다. 어느 날부터 손끝에 차가운 바람이나 물이 닿으면 바늘로 손톱 밑을 찌르는 듯한 극심한 통증을 느끼기 때문이다. 병원에 가서 X-RAY을 찍어봐도 뼈와 관절에는 이상이 없다는 말만 들을 뿐 정확한 진단은 듣지 못해 그저 물리치료로 일시적인 고통만 줄일 수밖에 없었다.
손톱, 발톱에 차가운 물이 닿거나 살짝 눌리기만 해도 극심한 통증이 느껴진다면 사구체종양을 의심해야 한다. 사구체 종양의 통증은 주로 손톱, 발톱 아래에서 발생하며 눈으로 보이는 병변이 없기 때문에 여러 병원을 찾아도 정확한 원인을 찾지 못 해 수 년을 고생하는 환자들이 많다.
사구체는 피부 온도 조절을 돕는 모세 혈관이 털 뭉치처럼 얽혀 형성된 것으로, 이 사구체에 이상이 생기면 사구체 종양이 된다. 발생 시 손가락과 발가락 끝을 눌렀을 때 심한 압통이 주된 증상으로, 차가운 온도에 민감한 특성을 가진다. 종양 크기는 보통 5mm~1cm 미만으로 미세하기 때문에 초음파 검사로도 발견하기 어려워 MRI 촬영에서 진단되는 경우가 많다. 주로 여성에게 잘 발생하고 아직까지 정확한 원인은 밝혀지지 않았다.
강동성심병원 정형외과 이승진 교수는 “사구체 종양 제거는 손톱을 들고 종양을 절제한 후 손톱 바닥을 복원하는 수술로 30분 정도 소요가 되는 비교적 간단한 수술이다.”며 “흔하지 않은 양성 종양이라 진단이 어렵지만, 방치할 경우 드물게 종양이 커지면서 손가락 뼈의 함몰이나 변형이 발생할 수 있으니 통증이 심하다면 참지 말고 병원을 방문하여 전문의와의 상담하는 것이 좋다”고 조언했다.
전미옥 기자 romeok@kukinews.com
Copyright © 쿠키뉴스. 무단전재 및 재배포 금지.
- 거목 故 안성기 영면에 들다…국민배우의 ‘영화’로웠던 74년
- 김병기 “제명당하더라도 탈당 안 해…‘공천헌금 묵인·금품수수 의혹’ 부인
- 국민의힘 김도읍, 정책위의장 사의 표명…“제 소임 여기까지”
- 尹 ‘내란 우두머리’ 재판 1심 이번 주 종결…특검 구형은
- 코스피, 사상 최초 4400선 돌파…삼성전자 ‘13만원’ 넘겼다
- 노동부, 쿠팡 ‘산재 은폐’ 의혹 본격 수사 착수
- 검찰, 백종원 ‘더본코리아’ 원산지 허위표시 의혹 무혐의 결론
- 李대통령 국정 지지율 54.1%…민주 45.7%·국힘35.5% [리얼미터]
- ‘마두로 전격 체포’ 트럼프의 승부수...북한에선 불가능한 이유
- 이재용 회장 주식재산 30조 넘을까…그룹 총수 91%, 재산 61% 급증