40대에 이 2가지 안했다…중년에 확 늙는 사람 특징
■
「 “질병 중 75%가 예방 가능하다. 그런데 의료 예산 중 겨우 3%가 예방 사업에 쓰인다. 현대 의료 시스템은 왜곡돼 있다.”
미국 하버드대 인류학 교수인 대니얼 리버먼은 현대 의료 시스템이 불합리하다고 주장한다. 충분히 예방할 수 있는 질병은 나 몰라라 하고, 병에 걸린 뒤에야 부랴부랴 치료에 집중하는 구조란 것이다. 사실 학계에서 이런 목소리가 터져나오기 시작한 건 얼마 안 됐다.
암, 치매, 심장질환 등 치명적 질병에 대한 연구 역시 ‘걸린 뒤 치료 방법’을 모색하는 데 집중해 왔다. 뇌의 인지 저하도 노년기 위주로 연구됐다. 하지만 노년기는 의료가 개입해 결과를 바꾸기엔 너무 늦거나 효과도 미미한 시기다.
최근에 와서야 중년의 잠재력에 과학자들이 주목하고 있다. 중년이 뇌 건강의 갈림길이자 전환기라는 사실이 밝혀지면서다. 우리는 일생 똑같은 속도로 늙어간다고 생각하지만, 중년에 접어들면 개인차가 극심해진다. 누군가는 짧은 중년 뒤 바로 노년에 진입하고 노쇠의 징후를 보인다. 하지만 다른 이는 중년 시기에 노화 속도를 최소화하고 활력 넘치는 노년을 즐긴다.
이 차이는 왜 생기는 걸까. 중년 시기 건강 자산을 쌓기 위한 대원칙은 무엇일까.
‘더중앙플러스-헬스+불로장생의 비밀(https://www.joongang.co.kr/plus/series/152)’이 뇌가 확 늙기 시작하는 중년의 위기를 기회로 바꾸기 위한 모든 것을 소개한다.
」

나이는 숫자에 불과하다고들 한다. 하지만 신체 기능 측면에서 숫자는 중요하다.
중년의 시작, 마흔 살이 넘어가면 확실히 많은 게 꺾인다.
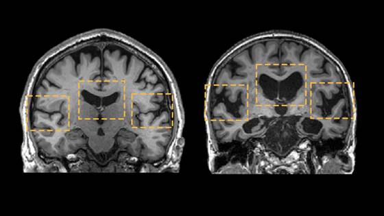
특히 뇌가 그렇다. 마흔을 넘기면, 우리 몸에서 가장 먼저 속도를 줄이는 기관이 바로 뇌다. 혈관은 딱딱해지고, 염증 수치는 올라가며, 신진대사는 느려진다. 겉으로는 큰 변화가 없어 보여도, 뇌 속에서는 이미 구조적인 변화가 시작된다.
중년은 뇌 노화의 ‘가속 구간’이다. 연구들을 종합해 보면, 뇌는 나이에 따라 일정하게 늙지 않는다. 어떤 시기에는 완만하게, 어떤 시기에는 갑자기 확 꺾인다. 그 급격한 하강 구간이 바로 40대 전후다. 이때 해마와 백질 같은 핵심 부위의 부피가 빠르게 줄어들기 시작한다. 해마는 기억과 감정, 자아 정체성을 담당하는 곳이다. 이곳이 위축되면, 단순히 기억력이 나빠지는 걸 넘어 ‘내가 누구인지’에 대한 감각까지 흐려질 수 있다.
전두엽도 예외가 아니다. 계획, 판단, 감정 조절을 담당하는 전두엽은 가장 늦게 발달하는 동시에, 가장 먼저 퇴화하는 영역이다. 그래서 중년 이후 “예전 같지 않다”는 느낌이 드는 건 착각이 아니다. 실제로 뇌의 구조와 연결망이 바뀌고 있기 때문이다.
여성에게 중년은 더 극적이다. 폐경을 기점으로 뇌의 에너지 대사 방식이 바뀌고, 해마 부피는 줄어들며, 백질에 부담이 늘어난다. 이 변화는 눈에 보이지 않게 진행되지만, 훗날 기억력 저하와 인지 기능 저하로 이어질 가능성을 높인다.
문제는, 이 모든 변화가 아무 경고 없이 시작된다는 점이다. 대부분의 사람은 60대가 돼서야 “뇌가 예전 같지 않다”고 느낀다. 하지만 그때는 이미 많은 변화가 되돌릴 수 없는 단계에 접어든 뒤다. 그래서 최근의 치매 연구는 노년이 아니라 중년의 뇌를 주목하기 시작했다.
“노년의 건강한 뇌를 위해서는 중년에 우리가 노력을 많이 해야 돼요.
그래야지 그 뇌를 잘 유지할 수 있습니다.
뇌를 잘 유지하기 위한 개인의 차가 있습니다.
그렇기 때문에 특히 가족력이 많은 사람들 그러니까 치매에 가족력이 있다거나 아니면 성인병의 가족력이 있다거나 이런 가족력이 있는 분들은 그 가족력이 없는 사람들보다 훨씬 더 많은 노력을 기울여야 그 가족력이 없는 사람들의 기본적인 위험도에 다다를 수 있습니다.”
(박기형 가천대 길병원 신경과 교수)
중년은 위기이자 동시에 기회의 창이다.
이 시기에 어떤 선택을 하느냐에 따라, 뇌 노화는 완만해질 수도 있고 폭주할 수도 있다. 실제로 같은 나이, 같은 유전자를 가진 사람들 사이에서도 중년 이후부터 격차는 급격히 벌어진다. 누군가는 50대에도 또렷한 기억력과 판단력을 유지하는 반면, 누군가는 눈에 띄게 늙는다.
그리고 이 차이를 만드는 데는, 공통된 패턴이 있다.
중년에 확 늙는 사람들에겐 공통점이 있다.
40세부터 이 2가지를 하지 않았다는 것.
중년의 뇌는 생각보다 훨씬 많이 되돌릴 수 있다. 인지 저하를 최대 75%까지 막는 방법은 뭘까.
※ 뇌 건강의 위기를 기회로 바꿀 정보, 아래 링크에서 더 보실 수 있습니다.
40대에 이 2가지 안했다…중년에 확 늙는 사람 특징
https://www.joongang.co.kr/article/25255058
■
「 “엄마·아빠, 껌 좀 씹고 다녀!”…치매 막는 놀라운 안면 운동
https://www.joongang.co.kr/article/25394954
“멀쩡하네” 공복혈당 속았다…건강검진 ‘한국형 당뇨’ 함정
https://www.joongang.co.kr/article/25388019
치매 직전 뇌, 이 금속 없었다…“물 잘 마셔라” 뜻밖의 예방법
https://www.joongang.co.kr/article/25366748
단 7분, 혈압·치매 잡는다…NYT가 주목한 기적의 운동법
https://www.joongang.co.kr/article/25361196
」
Copyright © 중앙일보. 무단전재 및 재배포 금지.
- "오빠가 뭘 알아, 시키는대로 해" 대선 룰도 김건희가 정리했다 | 중앙일보
- 여행만 다녔는데 4억 늘었다…명퇴 57세 '화수분 계좌' 비법 | 중앙일보
- 여고생 목 졸라 기절 반복…"살려달라 무릎 꿇었다" 무슨 일 | 중앙일보
- "동남아 공포에 발길 끊었다"…한국 관광객 더 몰려간 곳 어디 | 중앙일보
- 유흥업소 일하다 마약상 됐다…두 아이 엄마의 처절한 분투 | 중앙일보
- 밤마다 덮쳐 17명 목숨 앗아갔다…印 공포의 '연쇄 살인마' 정체 | 중앙일보
- "100% 동의" 웃었다, 이 대통령이 이혜훈 점찍은 순간 | 중앙일보
- “쟈들 덕에 먹고사는 거 아녀”… 외국인 천국, 영암의 비결 [이민, 사람이 온다] | 중앙일보
- '사생활 논란' 입 연 정희원 "부적절한 처신…멈추지 못 했다" | 중앙일보
- 도쿄 아닌 '안방' 나라로…이 대통령 초대한 다카이치 '공간 외교술' | 중앙일보