잇몸 '블랙트라이앵글'.. 가볍게 보지마세요
전체 맥락을 이해하기 위해서는 본문 보기를 권장합니다.
나이가 들면 치아를 잡아주는 잇몸의 탄력이 줄어 치아가 벌어질 수 있다.
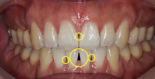
잇몸 양이 줄어드는 것을 알 수 있는 지표가 있는데, 바로 잇몸의 빈 공간인 '블랙트라이앵글'<사진> 이다. 사진>
치태나 치석에 의해 잇몸에 염증이 발생하면 잇몸이 퇴축되면서 블랙트라이앵글이 만들어질 수 있다.
젊을 때보다 치아가 길어 보이는 것도 잇몸 염증으로 잇몸이 뿌리 쪽으로 올라가면서 치아의 치경부가 드러났기 때문이다.
이 글자크기로 변경됩니다.
(예시) 가장 빠른 뉴스가 있고 다양한 정보, 쌍방향 소통이 숨쉬는 다음뉴스를 만나보세요. 다음뉴스는 국내외 주요이슈와 실시간 속보, 문화생활 및 다양한 분야의 뉴스를 입체적으로 전달하고 있습니다.

나이가 들면 치아를 잡아주는 잇몸의 탄력이 줄어 치아가 벌어질 수 있다.흔히 생기는 잇몸 염증으로 잇몸 뼈가 줄어드는 것도 원인이다. 보통 40대를 기점으로 치아가 벌어지는 등의 변화가 나타난다. 치아가 벌어지면 외적인 문제뿐만 아니라 음식물이 끼어 충치나 잇몸질환이 발생하는 2차적인 문제가 생길 수 있다. 초기에 관리해야 한다.
잇몸 양이 줄어드는 것을 알 수 있는 지표가 있는데, 바로 잇몸의 빈 공간인 '블랙트라이앵글'<사진>이다. 약간의 블랙트라이앵글이 보인다면 꼼꼼한 칫솔질과 잇몸 관리를 철처히 해야 한다.
먼저 잇몸 염증을 주의해야 한다. 치태나 치석에 의해 잇몸에 염증이 발생하면 잇몸이 퇴축되면서 블랙트라이앵글이 만들어질 수 있다. 젊을 때보다 치아가 길어 보이는 것도 잇몸 염증으로 잇몸이 뿌리 쪽으로 올라가면서 치아의 치경부가 드러났기 때문이다. 이 경우 가벼운 양치질에도 잇몸에서 피가 나거나 잇몸이 시리고 붓는 등 증상이 나타날 수 있다.
특히 흡연은 블랙트라이앵글이 생기는 가장 큰 원인으로 꼽힌다. 흡연은 잇몸 건강을 악화시켜 치아를 지지하지 못하게 한다. 또한 치아를 깨끗하게 닦는다며 너무 힘을 주어 뿌리 부위를 세게 문지르는 잘못된 습관도 잇몸을 상하게 만드는 요인이다. 충치 치료를 한 후 치아를 씌운 크라운이나 보철물이 치아와 맞지 않거나, 시간이 지나 보철물과 치아 사이의 빈틈이 생기면 그 사이에서 세균이 번식해 잇몸이 손상될 수 있어 주의해야 한다.
한편, 스케일링 후에 블랙트라이앵글이 보이는 경우도 있다. 없던 블랙트라이앵글이 생긴 것이 아니라 치석을 제거하면서 감춰졌던 블랙트라이앵글이 드러난 것이다. 치석은 아래 앞니의 안쪽에 붙어있는 경우가 많은데, 치석이 자리잡은 공간은 점점 커지면서 그 부위의 잇몸을 밀어내버리고 서서히 없어진 잇몸은 치석을 제거해도 원래 모양대로 다시 차오르는 경우가 드물다. 심미적인 이유 때문이 아니라도 블랙트라이앵글이 크게 생긴 치아 사이는 음식물이 쉽게 끼게 되고, 치아의 뿌리가 드러나게 되면 이 부위는 찬물이나 짠 음식에 시리거나 충치에도 매우 약해지게 되므로 블랙트라이앵글이 보이기 시작한다면 치과에서 원인을 찾아 치료하는 것이 중요하다. 틈을 메우는 수복 치료를 받는 것이 구강 위생 관리에 도움이 될 수 있다.
- Copyrights 헬스조선 & HEALTHCHOSUN.COM, 무단 전재 및 재배포 금지 -
Copyright © 헬스조선. 무단전재 및 재배포 금지.
- 잇몸 안 좋으면, 심혈관 질환 위험 껑충
- 살쪘을 때 의외의 부작용… '잇몸병'
- 입 냄새, 잇몸병… '구강유산균'으로 관리 가능
- “살 확실히 덜 쪄” 13kg 감량 배윤정, 라면 ‘이렇게’ 먹는다… 방법은?
- 130kg 유민상, 혈압 약과 함께 ‘이 음료’ 마시던데… 치명적인 이유는?
- 고지혈증 약 ‘스타틴’, 당뇨병 해법 될까… “사망 위험 감소 확인”
- 운동만 하면 두통이… 뇌 CT 찍어봐야 할까?
- 잘 때 ‘이런 모습’ 보이면… 정신 건강 ‘위험’ 신호
- 이별 후 SNS 정리… 30대는 “칼같이 차단”, 20대는?
- "살 빠졌지만 췌장 망가졌다"… 마운자로 투약한 20대 女, 무슨 일?