[더오래]치과 검사 때 방사선 사진 촬영의 오해와 진실
━
[더,오래] 전승준의 이(齒)상한 이야기(30)
![치과용 방사선은 안전하다. 진단을 위해 구내 치근단 방사선 1장 촬영 시의 방사선량은 일상생활 중 자연에서 무심코 하루 동안에 받는 양 정도다. [사진 pixabay]](https://img4.daumcdn.net/thumb/R658x0.q70/?fname=https://t1.daumcdn.net/news/202106/17/joongang/20210617110059689hxkz.jpg)
모든 인간은 신체적·정신적·정서적인 부분이 어우러진 존재입니다. 그래서 치과적으로 나타나는 증상도 이런 여러 가지가 복합적으로 합쳐져 생깁니다. 치과 진료는 단지 당장 나타난 상태에 대해서만 해결하는 게 아니라 그런 상황이 왜 생겼고, 또 치료한 후에 구강 건강이 유지될 수 있도록 향후 예방계획 수립까지 포함하게 됩니다. 거기에 어린이는 성인과는 다른 해부학적, 생리적 변화, 정신적 성숙과 변화가 계속되는 시기를 거치므로 치과를 무서워한다면 거기에 더해 고려해야 할 내용이 더욱 많아집니다.
환자의 치과 검사의 첫 시작은 본인이 느끼는 이상 증상이나 불편감을 직접 표현하도록 하고, 듣는 것입니다. 비정상적 상태에 대해 환자 자신의 주관적인 말로 표현하는 것이며, 어린이의 경우는 표현 부족으로 함께 내원한 보호자로부터 정보를 얻을 수 있습니다. 그 증상의 시작은 언제쯤이고 어느 정도 오래되었는지, 또 어떨 때 그런 증상이 생기는지, 지속시간은 어떤지 등의 병력을 기록합니다. 더불어 혹시나 관련이 있을지 모르는 전신적인 질환 유무까지 검토하기 위해 수술, 입원경험, 중병, 감염 질환, 알레르기, 사고, 전신건강, 면역 등 의과 병력을 철저하게 체크합니다. 예를 들어 당뇨병이 있는 경우 입안에 생긴 상처가 잘 아물지 않고 오래 지속 되면서 심해질 수 있습니다.
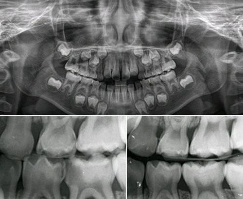
![구외 파노라마 방사선 검사 사진(위). 우식증이 있는 방사선 사진(아래). [자료 전승준]](https://img1.daumcdn.net/thumb/R658x0.q70/?fname=https://t1.daumcdn.net/news/202106/17/joongang/20210617110100855yymm.jpg)
다음에는 주관적인 내용에 더해 객관적으로 현재 눈에 보이거나 재현되는 증상을 파악합니다. 먼저 현재의 전신 건강상태를 파악하고(전신적인 이상이 입안으로 나타날 수 있기 때문에) 필요하면 체온, 심음, 신장, 체중, 혈압, 맥박수, 호흡수 등도 파악하며 그 이후에야 비로소 입안을 검사합니다.
구강내 검사할 때 단순히 치아만을 보는 것이 아닙니다. 입술부터 잇몸, 그리고 인두, 후두부의 연조직까지 검사 후 비로소 치아를 검사합니다(처음부터 검진을 치아에 집중하면 주위의 다른 조직의 이상을 놓치기 쉽습니다). 치아 검사는 치아우식 여부, 색, 크기, 형태, 표면구조를 먼저 관찰하며 치열(맞물림, 대칭)과 더불어 치아를 지지하는 잇몸(치주) 상태를 눈으로 점검하고 만져보는 촉진, 가볍게 두드려보면서 증상 유무를 확인하는 타진 등의 부가적인 방법도 사용합니다.
그리고 이어지는 검사법이 치과용 방사선 검사입니다. 크게 구강 내 방사선 촬영술과 구강 외 방사선 촬영, 파노라마 방사선 촬영술이 있습니다. 이는 육안으로 확인되지 않는 치아 속 구조나 치조골 상태, 그 외 병리 상태를 찾아낼 수 있다는 점에서 치과 치료에 필수적입니다. 하지만 방사선이 몸에 해로울 수 있다는 것에 대해 부담감을 가지고 계신 환자도 있는 것이 현실입니다. 하지만 치과용 방사선은 안전합니다. 평소에 우리 주위의 야외에도 방사선이 존재한다는 것을 아시는 분은 많지 않습니다. 진단을 위해 구내 치근단 방사선 1장 촬영 시의 방사선량은 일상생활 중 자연에서 무심코 하루 동안에 받는 양 정도입니다. 그나마도 줄이기 위해 촬영 시 납방어복으로 보호하고 촬영을 하므로 안심하고 검사를 받으셔도 됩니다.
![정량광형광기(위). 정량광형광기 검사 전과 후(아래). [자료 전승준]](https://img4.daumcdn.net/thumb/R658x0.q70/?fname=https://t1.daumcdn.net/news/202106/17/joongang/20210617110101960vacf.jpg)
최근 2021년 6월 1일부터 새로운 우식증 검사법인 ‘정량광형광기 진단검사 기술’도 추가적으로 시작되었습니다. 큐레이라는 장비를 이용해 푸른색 가시광선(405nm)을 입 안에 비추어 칫솔질이 덜 되어서 바이오 필름이 있는 곳을 탐지해 특수필터를 통해 병증(치아우식, 치아파절, 치태, 치석 등)을 추가로 발견이 가능합니다. 치아의 무기질이 소실된 부분은 가시광선을 흡수하지 못해 어둡게 나타나고 구강 내 바이오 필름이 만들어내는 포피린 (porphyrin) 성분은 붉은색 형광으로 보이도록 하는 최신 기술입니다. 하지만 이것만으로는 모든 치과이상을 감지한다는 것은 아니고, 위에서 열거한 여러 가지 검사법, 방사선검사와 더불어서 사용될 때 이전보다 더욱 정확한 진단이 가능해졌습니다.
이렇게 치과에서는 눈으로 보는 순간적인 검진으로 진단과 치료계획이 마련되는 것이 아니라 환자분의 병력수집, 임상 및 방사선, 정량광형광기 검사 결과를 종합 분석해서 신중하게 치료계획을 세워드린다는 것을 알고 계시기를 바랍니다.
분당예치과병원 원장 theore_creator@joongang.co.kr


Copyright © 중앙일보. 무단전재 및 재배포 금지.
- 송영길 "윤석열, 쉽게 야당 못간다···내부검증 땐 상처입고 탈락"
- 지하철서 담배 피우고 침 찍···말리자 "XX 꼰대"란 '빌런' (영상)
- "유부남 직장 상사가 선물한 시계, 알고보니 몰카였다"
- 터키서 악마로 변했다...20대 한국인 여성 고문하고 성폭행 한 40대 한국인 남성
- 어디서 본듯···스페인 패셔니스타 왕비 만난 김 여사 (사진 7장)
- 서해 맞은편서 또 원전 사고···중국 공포의 '원자로 49기'
- 하노이 굴욕후 김정은의 돌변···북한서 레드벨벳 사라졌다
- 차량 추돌 사고에 출동한 소방관···현장엔 딸 죽어있었다
- [단독] 광주 참사 내부폭로 "30억 가짜계약에 뒷돈 오갔다"
- 유치원차 타고 버스차로 달렸다, 여당 서울시의원 출근길