"한쪽 가슴 점점 부풀더니"… 유방에서 19cm 덩어리 나와, 정체는?
전체 맥락을 이해하기 위해서는 본문 보기를 권장합니다.
한쪽 가슴이 이유 없이 갑자기 확연히 커지면 바로 병원을 찾아 검사를 받아보는 것이 좋다.
싱가포르 KK 여성·어린이 병원 의료진은 54세 여성 A씨가 6개월 사이에 왼쪽 가슴 안쪽 덩어리가 커지고, 가슴이 불편해지는 증상으로 병원을 찾았다고 밝혔다.
의료진은 "엽상종은 중년 여성에서 통증 없는 유방 덩어리가 빠르게 커질 때 의심할 수 있는 원인 중 하나"라며 "진단을 위해 핵심 생검이 필요하지만, 확실한 진단 결과는 절제 후에만 알 수 있다"고 했다.
이 글자크기로 변경됩니다.
(예시) 가장 빠른 뉴스가 있고 다양한 정보, 쌍방향 소통이 숨쉬는 다음뉴스를 만나보세요. 다음뉴스는 국내외 주요이슈와 실시간 속보, 문화생활 및 다양한 분야의 뉴스를 입체적으로 전달하고 있습니다.

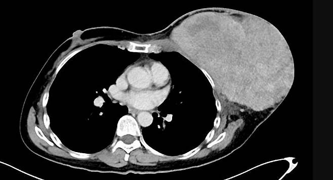
한쪽 가슴이 이유 없이 갑자기 확연히 커지면 바로 병원을 찾아 검사를 받아보는 것이 좋다. 종양 때문일 수 있다. 가슴에서 갑자기 자라는 종양 중에는 암이 아닌 양성 종양도 있다. 실제 50대 여성의 왼쪽 유방에 거대한 크기로 자라난 양성 엽상종 사례가 해외 저널에 실렸다.
싱가포르 KK 여성·어린이 병원 의료진은 54세 여성 A씨가 6개월 사이에 왼쪽 가슴 안쪽 덩어리가 커지고, 가슴이 불편해지는 증상으로 병원을 찾았다고 밝혔다. 검사 결과, 유방암일 때 나타나는 젖꼭지 분비물이나 피부가 함몰되는 등의 변화는 없었다. 과거 암 병력도 없었으며 평생 술이나 담배도 하지 않았다. CT 촬영을 했더니 왼쪽 가슴에서 약 17cm 크기의 덩어리가 보였다. 암일 가능성이 있어 덩어리를 완전히 몸에서 절제해내는 수술을 해야 했다. 덩어리 크기가 너무 커서 제거 이후 왼쪽 허벅지 등의 피부를 일부 이식해야 했다. 다만, 다행히도 최종 조직학적 검사에서 덩어리가 암이 아닌 '양성 엽상종'으로 드러났다. 정확한 부피는 18cm x 19cm x 8cm나 되는 것으로 확인됐다. 종양 제거 수술 후 A씨는 다행히 잘 회복됐고, 수술 후 5일째에 집으로 돌아갔다.

A씨에게 나타난 유방 엽상종은 전체 유방 종양의 약 1%도 안 되는 드문 질환인데, 짧은 기간에 빠르고 크게 자란다는 특징이 있다. 불완전하게 절제하면 국소적으로 재발하는 경우가 많다. 보통 덩어리가 단단하고, 통증이 없으며, 경계가 분명하고, 부드럽게 만져진다. KK병원 의료진은 "42~45세 여성에게 가장 흔히 발생한다"고 말했다. 지금껏 보고된 엽상종 중 가장 큰 것은 50cm에 달하지만, 평균은 4cm 정도다. 의료진은 "엽상종은 중년 여성에서 통증 없는 유방 덩어리가 빠르게 커질 때 의심할 수 있는 원인 중 하나"라며 "진단을 위해 핵심 생검이 필요하지만, 확실한 진단 결과는 절제 후에만 알 수 있다"고 했다.
이 사례는 '국제외과저널사례보고'에 발표됐다.
Copyright © 헬스조선. 무단전재 및 재배포 금지.
- "간 피로 풀어준다" 매일 먹어도 좋은 음식… 뭘까?
- “부자는 절대 안 쓴다”… 당장 버리라는 ‘이 물건’, 대체 뭐야?
- "위 부담 덜고 숙면 도와" 저녁에 먹기 좋은 음식, 뭐야?
- 고혈압이 부부관계에 미칠 영향
- 운동 후 더 괴롭다? 남성들 항문 가려운 이유
- 더 선명하게, 더 환하게… “잘 읽히는 글자로 정보 격차 줄이고파”
- 기억력 멀쩡한데 치매? 놓치기 쉬운 신호 4가지
- 내일 혈당 걱정된다면, 자기 전 ‘이것’ 주의
- ‘허리 통증 무시 마라’ 40세 남성 겪은 통증 정체… 4기암
- “80세 넘은 고령 암 환자도 폐암 수술 적극 고려를”