"용종 5개" 대장내시경 후 깜짝…최대 몇개까지 뗄 수 있을까?[한 장으로 보는 건강]
전체 맥락을 이해하기 위해서는 본문 보기를 권장합니다.
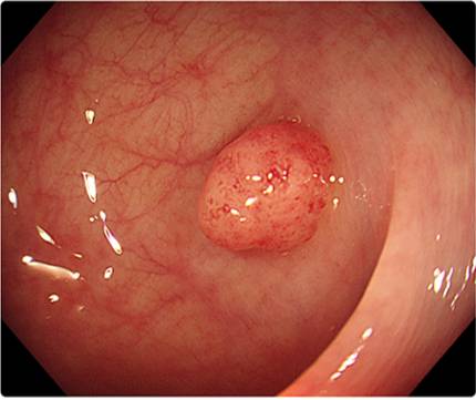
대장암은 용종에서 출발합니다.
따라서 대장 용종은 대장암의 '씨앗'으로 불립니다.
톱니모양 용종은 전체 대장암의 15% 정도를 차지합니다.
선종과 톱니모양 용종이 대장암으로 진행되는 데에는 5~10년이 걸리기 때문에, 암으로 진행되기 전에 용종을 제거하면 암 발생을 예방할 수 있습니다.
이 글자크기로 변경됩니다.
(예시) 가장 빠른 뉴스가 있고 다양한 정보, 쌍방향 소통이 숨쉬는 다음뉴스를 만나보세요. 다음뉴스는 국내외 주요이슈와 실시간 속보, 문화생활 및 다양한 분야의 뉴스를 입체적으로 전달하고 있습니다.

대장암은 용종에서 출발합니다. 따라서 대장 용종은 대장암의 '씨앗'으로 불립니다. 대장내시경 검사에서 용종이 '여러 개' 발견됐다면 몇 개까지 뗄 수 있을까요?
한 번에 몇 개까지 뗄 수 있다는 걸 정해놓은 가이드라인은 없습니다. 뗄 수 있는 건 한꺼번에 모두 떼내는 게 원칙입니다. 용종의 △모양 △크기 △위치 △침윤 정도 등을 고려해 뗄지 말지를 결정합니다. 단, 용종 모양이 납작한 '측방 발육형 용종'이거나, 기저질환 종류에 따라서는 환자가 입원해 며칠에 걸쳐 나눠 제거하기도 합니다.
용종 중에서도 가장 흔하면서 대장암이 될 가능성이 가장 큰 건 '선종'입니다. 대장 점막 세포에 변화가 생겨 작은 선종이 되고, 크기가 커지면서 유전자 변이가 생긴 암세포가 생기면 주변 조직을 침범하며 자라납니다. 선종에서 진행된 암처럼, 샘조직(adenoid tissue)에서 생긴 대장암을 선암(adenocarcinoma)이라고 하는데, 전체 대장암의 90% 이상을 차지합니다.

용종 표면이 울퉁불퉁한 '톱니모양 용종'도 암으로 진행할 가능성이 큽니다. 톱니모양 용종은 전체 대장암의 15% 정도를 차지합니다. 톱니모양 용종이 암으로 진행하는 경우, 선종이 암으로 진행하는 것과 다른 유전자 변이 과정을 거치는데, 보다 빠르게 진행하는 경우가 있다고 알려졌습니다.
반면 '염증성 용종'은 암으로 진행하지 않아 가짜 용종이라고도 불립니다.
선종과 톱니모양 용종이 대장암으로 진행되는 데에는 5~10년이 걸리기 때문에, 암으로 진행되기 전에 용종을 제거하면 암 발생을 예방할 수 있습니다. 대장내시경 검사에서 용종이 없으면 5년마다 받으면 됩니다. 하지만 용종이 1개 있으면 3~4년 후 검사를, 그보다 더 많이 발견되면 의료진과 상의해 1~2년 후 다시 검사받는 게 좋습니다.
글=정심교 기자 simkyo@mt.co.kr, 도움말=김정호 가천대 길병원 소화기내과 교수, 질병관리청 국가건강정보포털
정심교 기자 simkyo@mt.co.kr
Copyright © 머니투데이 & mt.co.kr. 무단 전재 및 재배포, AI학습 이용 금지.
- "이지아 찾아와 친일파 조부 죄 묻더라"…관련기관 증언 나와 - 머니투데이
- 주호민, 신상털린 '뻑가' 고소하나…"우리 가족 다룬 영상 확보" - 머니투데이
- 故송대관, 500억 벌고도 빚더미에…태진아 "스트레스 컸을 것" - 머니투데이
- '인피니트' 김성규, 누나상 비보…"투병 중 세상 떠나" - 머니투데이
- "폐품 판 돈 저축한 초6 아들, 비트코인 사달래요"…오은영 조언은 - 머니투데이
- "호재요, 호재" 3000원 넘긴 동전주...주가 띄우더니 돌연 대주주 매각 - 머니투데이
- 주식으로 돈 벌었다?…"내 계좌는 녹는 중" 우는 개미 넘치는 이유 - 머니투데이
- 비행기 추락, 사장님 업고 탈출했는데…직원이 받은 건 '해고 통보' 왜? - 머니투데이
- "장어집 불났다" 북창동 먹자골목 아수라장…3시간 만에 '완진' - 머니투데이
- '자사주 소각' 기업 벌써 2배 늘었다..."주가 들썩" 상법개정 수혜주는 - 머니투데이