아이 어금니에 생긴 작은 반점, 벗겨내 보니
[더,오래] 유원희의 힘 빼세요(14)
![초기 충치의 모습. 까만 반점이 보인다. [사진 유원희]](https://t1.daumcdn.net/news/201907/24/joongang/20190724101743914gstk.gif)
오랫동안 병원에 내원한 한 엄마가 어느 날 아이의 어금니에 갑자기 까만 반점이 생겼다며 검진을 받고자 아이와 함께 내원했다. 눈으로 보았을 때 별것 아닌 아주 작은 점이 영구치 표면의 정중앙 부분에 보였다.
물리적인 탐침으로는 크게 나타나지 않았다. 그래서 특별한 파장을 쏘면 아주 초기 단계인 충치도 발견하는 광학식 치아우식 진단 기구인 큐 레이(Q- ray)를 투입해 검진했다. 충치로 의심돼 치료하려고 드릴로 에나멜의 표피를 살짝 제거했다. 그랬더니 까만 점이 법랑질을 지나 점점 커지면서 다음 치아 조직인 상아질까지 어두운색으로 충치가 진행된 것을 볼 수 있었다.
설명을 듣던 아이의 엄마도 치료 의사인 나도 별 이상이 없을 거라고 느낀 점이지만, 그 밑에선 생각보다 충치가 빠르게 진행 중이라는 사실에 놀랐다. 다행히 상아질의 경계까지만 충치가 퍼져 간단한 충전 재료로 치료할 수 있었다.
이가 썩는 치아우식증
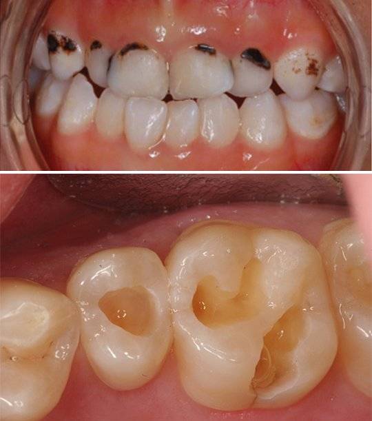
![심한 충치(위)와 충치를 치료한 후의 모습(아래). [사진 유원희]](https://img1.daumcdn.net/thumb/R658x0.q70/?fname=https://t1.daumcdn.net/news/201907/24/joongang/20190724101744139nqwp.jpg)
치과에서 가장 흔하게 보이는 양대 질환은 당연히 치주 질환과 치아우식증이다. 원인은 구강 내에 있는 미생물이 원활히 제거되지 않고 다른 음식물 찌꺼기와 결합해 발생하는 산이다. 바로 이 산이 치아조직에서 미네랄을 탈회해 치아 조직에 구멍을 낸다. 소위 ‘이가 썩는다’는 말로 종종 표현하지만 정확한 표현은 치아우식증이다. 초기 충치가 오래 방치돼 치아의 뿌리 부분인 치근단까지 녹여 생긴 농양이다. 아주 고약한 냄새를 풍기는 것이 이 병이다.
치아우식증이 발생하는 가장 큰 원인은 무엇일까? 당분의 섭취가 충치 유발의 주요 원인이다. 당분이 구강 내 미생물과 결합하면 산을 형성한다. 그러면 에나멜의 탈화가 진행된다. 즉, 치아를 구성하는 미네랄인 칼슘, 인산염, 불소 이온을 잃는다. 썩는 것이 아니라 석회화 조직의 일부가 용해되고 파괴되는 감염성 세균 질환이다.
치관까지 근접하지 않으면 거의 자각증상이 없을 수도 있다. 치과 방사선 검사와 임상 검진으로 조기에 발견해 치료하는 것이 많은 고통과 번거로움을 피하는 지름길이다. 만약 상아질을 지나 더 깊이 있는 치수까지 퍼진 경우엔 차가운 물이나 뜨거운 물에 반응한다. 심지어 단 음식을 섭취할 때 자각 증상이 심하게 나타난다면 충치가 치아 조직에 깊숙이 침범한 상태다. 복잡한 신경치료로 충치로 손상을 입은 자연치아를 수복해야 한다.
그리고 마지막으로 보철 치료로 치아의 기능을 회복하는 과정을 밟는다. 이 시기마저 놓치고 방어를 못 해 충치의 진행을 방치하면 치조골과 잇몸까지 상해를 입어 치아를 뽑아야 한다. 그래서 충치는 예방과 조기 발견이 최선의 치료라고 할 수 있다.
![충치는 예방 가능한 질병이다. 평소에 관리를 잘 하면 고통도 돈도 아낄 수 있다. 이를 위해 최소한 하루에 두 번씩 양치질하고, 치실을 활용해 치아 사이에 낀 이물질도 제거해주면 좋다. [중앙포토]](https://img2.daumcdn.net/thumb/R658x0.q70/?fname=https://t1.daumcdn.net/news/201907/24/joongang/20190724101744350qxga.jpg)
예방할 수 있는 것을 방치해 크게 일을 만드는 경우를 종종 볼 수 있다. 충치와 같은 치과 질환도 예외는 아니다. 별것 아닌 아주 작은 점이어서 안에서 썩고 있는 것을 눈으로 쉽게 판단할 수 없다. 시리거나 통증을 유발할 정도로 진행돼야 발견할 수가 있다. 이 때문에 주기적으로 치과를 방문해 간단한 x-선 촬영으로 치료하는 것이 현명하다.
치아우식증은 예방이 가능한 치아질병이다. 별것 아닌 것처럼 보이는 아주 작은 반점이 치아를 뽑아야 하는 최악의 경우를 만들 수도 있으니 건강한 치아관리를 위해 다음 행동을 옮겨보자.
<건강한 치아관리를 위한 행동수칙>
-하루에 적어도 두 번씩 양치질한다
-치아 사이를 치간 칫솔이나 치실로 청소한다
-균형 있는 식단으로 식사하며 간식을 줄인다
-주기적으로 치과를 방문해 충치 검진과 전문가의 스케일링을 받는다
-어린아이나 청소년인 경우 간단한 실런트로 영구치를 충치로부터 보호하는 치료를 한다
유원희 WY 치과 원장 theore_creator@joongang.co.kr
Copyright © 중앙일보. 무단전재 및 재배포 금지.
- 韓, 99.99999999% 불화수소 특허받고도 8년 묵혔다
- 조국 이르면 내일 교체..후임에 김조원 KAI사장 유력
- '아사히 반값' 행사했다가.."이마트도 불매"에 혼쭐
- "짓눌린 흔적"..소방, 고유정 의붓아들 사진삭제 왜
- 韓 마트직원 850명, 英 4명..일자리 날린 '초저가 광풍'
- 13억원 사기 피소 이상민 "내 모델료 뜯으려는것"
- 러 군용기 영공 침해..36년 전 소련은 KAL기 격추
- 2년새 집 3채 판 이효리.."매각 자산만 73억원"
- 송혜교 "운명" "공주" 발언 논란, 통역사도 당황했다
- "내 재산 뺏어 당첨자 혜택"..강남 재건축 시장 술렁
