동네 치과에서 사랑니 안 뽑아주는 이유
[오마이뉴스 이승훈 기자]
|
|
||||
|
||||
매복된 사랑니는 뽑을 때 나올 공간이 모자라기 때문에 다른 치아와는 다르게 수술적인 방법이 필요하다.
먼저 잇몸을 열고 위의 그럼처럼 치아를 머리 부분과 뿌리 부분으로 조각내고 각각 따로 따로 꺼낸 다음 열었던 잇몸을 봉합해 주는 순서다. 경우에 따라서는 사랑니 주변의 뼈를 갈아내거나 치아를 여러 조각으로 갈아야 할 수도 있다.
수술적인 방법을 사용하기 때문에 일반 발치에 비해 사랑니를 뽑은 이후에는 후유증 역시 많은 편이다. 오늘은 사랑니를 뽑은 후 나타날 수 있는 후유증과 일선 치과에서 사랑니 발치를 회피하는 이유에 대해 알아 보자.
사랑니 발치 시 나타나는 후유증은 대개 다음과 같다.
1. 인접치아의 손상
사랑니의 머리를 잘라내는 과정에 버(뼈나 치아를 갈 때 사용하는 작은 톱)에 의해서 옆의 치아가 갈리는 경우도 있고 사랑니를 뽑기 위해 힘을 주는 과정에서 7번 치아에 과도한 힘이 가해져서 손상을 입을 수 있다. 사랑니를 뽑고 난 후 7번 치아가 시리거나 아픈 느낌이 드는 것은 한달 이내에 사라지는 것이 보통이지만 드물게 근관 치료나 추가 발거를 하는 경우도 있다.
2. 연조직의 손상
일선 치과에서 하는 술식 중 가장 큰 것 중 하나가 사랑니 발치이기 때문에 사전에 충분한 마취를 하고 진행한다 하더라도 환자가 순간적으로 통증을 느낄 가능성이 있다. 통증을 느낀 환자가 순간적으로 의사의 손을 쳐낸다거나 고개를 돌려 버린다거나 하면 혀, 볼, 입술 등에 상처가 날 수 있다. 대부분 환자의 돌발 행동에 의해 발생하며 술식 전에 충분히 주의를 주고 시작하는 것으로 예방할 수 있다.
3. 감염
계속해서 침이 나와서 멸균이 불가능한 입 안의 여건상 감염의 위험은 늘 존재한다. 사랑니를 뽑은 후 처방 받은 약은 아프지 않더라도 꼭 남김 없이 복용하고 의사의 지시에 따라 술, 담배 등은 일정 기간 동안 금해야 한다.
당뇨, 간 질환, 심혈관 질환 같은 면역력이 약해지는 전신 질환이 있는 환자는 사전에 반드시 의사에게 이 사실을 알려야 한다. 지병 사실을 이야기하면 진료해 주지 않을 것 같다는 생각에 숨기고 이를 뽑으면 최악의 경우 생명이 위험해질 수도 있다.
저릿저릿한 통증? 너무 걱정 마세요
이상의 3가지는 사랑니 발치뿐 아니라 치과의 다른 시술을 하는 도중에도 언제든지 생길 수 있는 후유증이며 의사의 주의와 노련한 대응이 있다면 상당 부분 예방할 수 있는 것들이다. 하지만 신경 손상 만큼은 아무리 조심하더라도 불가항력적으로 발생하는 경우가 많다.
|
|
||||
|
||||
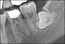
사진에서 붉은 화살표로 표시한 것은 '하악관'이라 불려지는 구조물로 그 안에 신경(하치조 신경)과 동맥이 들어 있다. 사진에서처럼 사랑니의 뿌리 끝과 매우 가까운 경우가 많고 따라서 신경 손상의 위험은 늘 존재한다.
신경 손상이라는 말이 굉장히 무섭게 느껴지겠지만 하치조 신경이 손상을 받았다고 해도 사극에 나오는 '구안와사'처럼 입이 돌아가지는 않는다. 대부분의 환자가 '마취가 덜 풀렸다'고 호소하는 저릿저릿한 느낌이 남는 정도다. 사랑니를 뽑고 하루 이상 시간이 지났는데도 마취가 덜 풀린 느낌이 나거나 뽑은 쪽과 반대편이 만졌을 때의 느낌이 다르다면 신경이 손상 받았을 가능성이 높다.
|
|
||||
|
||||
다행스러운 것은 하치조 신경의 경우 방사선 사진으로 대략적인 위치를 알 수 있고 그림에서처럼 직접 신경 다발을 자를 가능성이 높지 않다는 점이다. 손상 원인은 대부분 사랑니의 머리를 자를 때 발생하는 열과 압력 또는 이가 뽑힐 때의 외력이 뼈를 타고 안에 있는 신경에게 전달돼 스트레스를 준 것에 있기 때문에, 대개 6개월~1년 사이에 원상 복구된다.
거기에 느낌이 약간 이상한 정도일 뿐 일상 생활에는 지장이 없기 때문에 사전에 설명을 통해 가능성을 설명드리면 환자들이 이해하고 넘어가는 경우도 많다.
그렇지만 혀신경 손상의 경우는 매우 낮은 확률로 발생하긴 하지만 후유증이 무척 크고 그나마 예방책도 마땅히 없는 편이다.
사랑니 뽑다 혀신경 손상... 가능한 얘기
2009년 8월 20일 인천지법은 사랑니 발치 도중 설신경을 손상 시킨 치과의사에게 '혀신경의 위치를 정확하게 확인하고 조심해야 할 의무가 있음에도 이를 태만히 한 것'을 이유로 3400만 원을 보상하라는 판결을 내렸다.
혀신경이 손상을 받으면 혓바늘이 생긴 것처럼 해당 부위가 계속 따끔거리는 증상이 지속되고 미각의 10% 정도가 소실된다. 하치조 신경 손상과 다르게 일상생활에도 지장이 있을 수 있다는 의미이다.
자신의 실수로 이런 일을 겪어도 억울할 상황에서 믿고 몸을 맡겼던 의사에 의해 손상을 입었다면 화가 나는 것은 너무나 당연하다. 환자의 신체에 손상을 입힌 의사가 법적으로 도의적으로 책임을 져야하는 것 역시 당연하다.
하지만 세상에는 어쩔 수 없는 경우도 있다. 의사 역시 신이 아니기 때문이다.
|
|
||||
|
||||
사진에서 알 수 있 듯이 혀신경은 뼈속이 아닌 피부 사이를 지나가며 근육에 의해서조차 보호 받지 못하고 사랑니의 바로 옆을 지나갈 가능성도 20%나 된다. 뼈로 둘러쌓여 있지 않기 때문에 MRI가 아닌 일반 방사선 사진으로는 신경이 지나가는 곳을 짐작할 수 있는 어떤 단서도 얻을 수 없는 것 역시 문제다.
법원은 주의의 의무를 태만히 했다고 이야기하지만 치과의사 입장에서는 가능한 혀 쪽으로는 힘이 가하지 않기 위해 노력하는 것 말고는 딱히 주의할 방법 조차 없는 것이 현실이다. 사랑니 하나 뽑자고 MRI 촬영을 할 수는 없는 노릇이기 때문이다.
수술 발치를 통해서 사랑니를 뽑을 경우 환자 부담금과 공단 부담금을 합친 수가는 6만~8만 원 정도이다. 일반적으로 30분 전후로 발치가 끝나는 경우가 많지만 처음 예상과 다르게 내부 상황이 복잡하다면 3시간 이상 걸리는 경우도 흔하다.
거기에 수술 전에 위생사가 수술 준비하고 수술 후 피가 묻은 기구를 일일이 손으로 닦고 소독하는 시간과 노동까지 생각하면 터무니 없이 적은 금액이다. 준비 시간이나 위험 부담이 거의 없는 스켈링의 수가가 6만 원 전후인 것을 감안하면 더욱 그렇다.
또 대부분의 치과가 보철, 교정 등의 비보험 진료를 중심으로 병원을 유지하는 현실에서 3시간 넘게 발치를 하는 동안 비보험 진료를 상담하기 위해 찾아왔던 환자가 기다림에 지쳐 다른 병원으로 간다면 병원 입장에서는 큰 손해를 본 셈이 되는 것이다.
일선 치과에서 하는 시술 중 가장 사고 위험이 높고 시간이 오래 걸리며 경제적으로도 메리트가 없는 술식. 여기에 더해 시술 상에 문제가 없더라도 확률적으로 3000만 원 이상을 보상해 줄 위험성까지 생기는 이상, 합리적인 사람이라면 사랑니 발치를 회피하는 것은 너무 당연하다.
사랑니는 안 뽑아요?... 의사들이 이해가는 이유
실제로 해당 판결 이후 그나마 사랑니 발치를 시술하던 일선 병원들 중에도 시술을 중단한 곳이 많다. 일선 병원들이 대부분의 사랑니 발치 환자를 대학 병원으로 리퍼(어려운 케이스를 상위 병원으로 의뢰하는 것)하기 때문에 당장 아픈 사랑니의 예약이 2달 후로 잡히는 상황이 벌어지고 있다. 환자를 위한다는 명목으로 시행 중인 저수가 정책이 그대로 환자의 발목을 잡은 셈이다.
현재의 고교생은 과거의 고교생들보다 한문을 모른다. 대학 입시에 한문이 없기 때문이다. 대학 입시는 수험생 간의 경쟁틀이기도 하지만 교육의 방향을 제시하는 역할도 하고 있다. '학생의 본분' 운운하면서 입시를 치르지 않는 과목에 소홀한 학생을 비난하는 것은 공허한 이상론에 불과하다.
마찬가지로 '의사의 사명감'을 이유로 경제적으로 불합리한 결정을 강요하는 것 역시 잘못된 일이다. 대입이 교육의 방향을 제시한다면 건강보험의 수가는 의료 시술의 방향을 제시하는 것인데 의사로 하여금 경제적 손실을 보도록 시스템을 만들고 문제가 생겼을 때는 가혹한 책임까지 묻는 시스템은 '시술하지 말라'는 방향의 제시로 봐야 하기 때문이다.
의사의 사명감은 물론 중요하다. 하지만 모든 의사가 슈바이처가 되기를 기대하기 보다는 한사람의 의사가 경제적으로 합리적이고 상식적인 결정을 내리는 것이 환자에게도 이익이 되는 시스템을 갖춘 사회를 지향하는 것이 훨씬 더 현실적이다. 적어도 사랑니 문제에 관해서 만큼은 치과의사의 사명감 없음을 비판하기 보다는 현 건강보험제도와 의료사고 보상 문제의 합리적인 개선을 통해 문제 해결을 도모해야 한다.
- Copyrights ⓒ 오마이뉴스, 무단 전재 및 재배포 금지 -
Copyright © 오마이뉴스. 무단전재 및 재배포 금지.



