충치 치료, 아말감과 인레이의 차이
[오마이뉴스 이승훈 기자]
오늘은 각각의 수복재가 어떤 특징을 갖는지 아주 간략하게 알아볼 계획이다. 많은 분들의 질문이 있었지만 원래 이 부분은 다루지 않고 넘어갈 계획이었다. 너무 많은 경우의 수를 가지고 있기 때문에 명확하게 한정 지어서 얘기할 수 없고, 재료의 좋고 나쁨 외에도 술자의 선호도, 환자의 경제적 상황 같은 복잡한 요인 역시 작용하기 때문이다.
어떤 재료로 수복하는 것이 적절한지 판단하는 것은 치과의사의 진단권에 속하는 일이다. 기자가 하는 이야기는 진료할 치과의사와 의논하기 전에 알아두는 상식 정도로만 이해하고 수복재의 결정은 진료할 의사와 상의해서 결정하기 바란다. 절대로 이 글을 토대로 자가 진단을 내리는 일이 없었으면 하는 바람이다.
충치를 긁어내고 난 자리를 대처해 주는 인공물인 수복재. 좋은 수복재의 조건은 다음과 같다.
1. 치아 삭제량이 적어야 한다.
2. 심미적이어야 한다.
3. 치아와 닳는 속도가 비슷해야 한다.
4. 치아와 잘 달라 붙어서 미세누출이 없어야 한다.(적합성이 좋아야 한다.)
5. 인접치와 접하는 부분이 단단하게 붙어서 음식물이 끼지 않아야 한다.
6. 저렴해야 한다.
위의 6가지 기준을 가지고 아말감, 레진, 골드 인레이, 레진 인레이 4가지 재료의 특징을 살펴 보자.
[치아 수복재 - 아말감] '경차' 수복재... 최대 장점은 '저렴함'
|
|
||||
|
||||
제일 먼저 살펴볼 아말감의 최대 장점은 역시 저렴함에 있다고 얘기하겠다. 그 밖의 장점으로는 치아의 상아질과 강도가 비슷해서 닳는 속도가 흡사하다는 점, 부식 시 발생하는 부산물에 의해 치면과의 사이가 잘 막혀서 미세누출이 적다는 점, 상대적으로 술자의 실력이나 환경의 영향을 적게 받는 점 등이다.
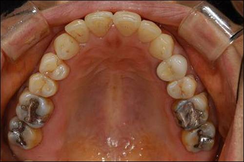
아말감의 단점은 일단 치아를 깎아야 하기 때문에 치질의 삭제가 많다. 실제로 환자의 치아는 위의 사진 모양으로만 썩은 것이 아니다. 아말감의 강도를 위해서는 썩지 않은 부분까지 삭제해서 위 사진과 같은 모양으로 형성을 해줘야만 한다.
다음으로 아말감 자체의 색이 좋지 않고 수복재 주변 치아를 변색시키기 때문에 비심미적이라는 단점 역시 가지고 있다. 마지막으로 인접치와 닿은 부분에서는 그 성능이 현저하게 떨어진다.
|
|
||||
|
||||
왼쪽의 사진처럼 치질이 앞뒤 좌우가 다 막혀 있지 못하고 한쪽 면이 열려 있는 경우에 아말감은 제 기능을 못할 때가 잦다.
한쪽 면이 열린 충치(이하 2급 와동)의 경우 아말감으로 수복할 경우 치아끼리 맞닿는 부분을 정확하게 형성하기 어렵기 때문에 끝 부분이 허물어지거나 음식물이 끼는 경우가 많다. 끼인 음식물을 방치할 경우 해당 부위의 이와 잇몸은 빠른 속도로 파괴된다.
좋은 장기 예후를 위해서는 꾸준한 연마가 필요한 것 역시 아말감의 단점이다. 아말감은 낮은 가격에 비해 비교적 양호한 성능을 보이는 재료이지만 어떤 케이스에서도 1등이 될 수는 없다. 자동차에 비유하면 가격 대비 성능이 뛰어난 경차쯤으로 생각하면 이해가 빠를 것이다.
[치아 수복재 - 레진] 여성이 선호... 큰 장점은 '심미적'
|
|
||||
|
||||
다음은 여성 분들이 좋아하는 레진이다. 레진의 가장 큰 장점은 심미적이라는데 있다.
왼쪽 사진을 보지 않는다면 오른쪽 사진에서 원래 충치가 있던 부분을 찾기는 쉽지 않을 것이다.
또 다른 레진의 장점으로는 치아의 삭제량이 적다는 점이다. 레진은 접착제를 이용해서 붙이기 때문에 특정한 모양으로 깎을 필요 없이 충치가 생긴 부위만 제거해내면 된다. 그래서 건전한 치질의 손실이 적다는 점이 레진의 장점이다.
레진의 단점으로는 술식 자체가 매우 어렵다는 점이다. 중합 이전의 레진에 수분이 닿으면 그 강도가 현저하게 떨어지므로 방습에 주의를 기울여야 한다. 또 정확한 모양 재현을 위해 술식의 원칙을 철저히 따르는 노력이 필요하다. 그래서 레진은 술자의 기술에 따라 성능의 차이가 크다.
다음으로 중합 과정에서 수축을 하기 때문에 미세누출이 있을 가능성이 높다는 것 역시 단점이다. 마지막으로 레진 역시 아말감과 마찬가지로 한쪽면이 터진 곳에서는 제 기능을 발휘하지 못하고 음식물이 잘 끼는 양상을 보이기도 한다.
레진의 강도는 아직은 약하기 때문에 전치부의 심미용 외에 구치부(어금니)에서 너무 큰 교합력이 걸리는 부위를 수복하는 것은 금기다. 하지만 치과의 모든 재료 중에 개선과 개량의 여지가 가장 많은 재료이기에 언젠가는 단점을 극복할 수 있을 것으로 보인다. 자연 치질을 최대한 보호할 수 있다는 레진만의 장점을 생각한다면 특히 초기 충치에 잘 맞는 재료라 하겠다.
[치아 수복재 - 골드 인레이]
장기 예후면에서 가장 유리
|
|
||||
|
||||
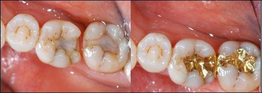
골드 인레이는 정확한 치면과의 접촉과 접착제를 이용한 부착으로 미세 누출이 적기 때문에 장기 예후면에서 가장 유리하다.
금이 장기간 치아 수복물로 애용되는 가장 큰 이유는 귀금속이라 부식이 적고 치아의 법랑질과 강도가 매우 흡사해 닳는 속도가 비슷하기 때문이다. 거기에 구강 밖에서 만들어지기 때문에 치아끼리 맞닿는 부분의 형태를 정확히 재현해 낼 수 있기에 음식물이 끼는 현상 역시 가장 적다.
골드 인레이의 단점은 우선 엄청난 고가에 있다. 다음으로 모든 재료 중 가장 많은 치아 삭제량과 비심미적이라는 단점 역시 가지고 있다.
환자가 경제적인 여유가 된다면 일반적으로 구치부 수복에서 가장 좋은 재료는 골드 인레이이다.
[치아 수복재 - 레진 인레이] 방송인이 선호... 고가란 단점 있어
|
|
||||
|
||||
레진 인레이는 골드 인레이와 레진의 단점을 보완한 술식이다. 골드 인레이의 비심미성과 레진의 약한 강도, 인접치와 닿는 부위의 형태 수복의 어려움을 해결했다.
레진 인레이는 골드 인레이와 마찬가지로 치아삭제량이 많다는 것과 고가라는 단점을 가지고 있다. 여기에 구강 내 환경에 가장 잘 맞는 재료인 금이 아닌 레진을 사용했기 때문에 치아와 닳는 속도가 비슷하다는 골드의 장점을 잃어버렸다는 단점 역시 가지고 있다.
늘어나는 성질이 있는 금은 보철물과 치아의 삭제 부위가 약간 차이가 나더라도 힘을 가해서 맞출 수 있지만 단단한 레진은 이것이 불가능하기에 치과의사와 기공사 모두 상당한 기술이 요구된다.
요즘은 레진이 아니라 도자기와 비슷한 재료인 포세린(세라믹) 인레이를 주로 하지만 장단점 면에서는 큰 차이가 없다고 본다. 플라스틱 재질인 레진은 치아보다 약하기 때문에 빨리 닳고 도자기 재질인 포세린은 치아보다 강하기 때문에 주위 치아보다 늦게 닳는 차이만 있다고 생각하면 큰 무리가 없을 듯하다.
레진이나 포세린 인레이의 경우 어금니까지 치아색을 유지하고 싶은 심미에 까다로운 환자에게 많이 추천하고 있다. 특히 연예인, 아나운서 같은 방송인이 선호한다.
수복재 선택은 여러 사항 고려해서 해야... 치과마다 진료비 천차만별
이상 4가지 재료의 전반적인 특징을 살펴봤다.
하나의 재료에 대해 모든 것을 터득하는데 만도 오랜 시간이 걸린다고 할 만큼 재료의 장점을 극대화하는 진료는 어려운 것이다. 따라서 수복재의 선택은 술자의 실력, 선호도, 환자의 구강 환경, 관리 능력, 경제 상태 등 여러 가지 사항을 고려해야 하는 과정이다.
따라서 기자가 제공하는 정보는 어디까지나 참고 사항 정도로만 이용하기를 다시 한번 부탁드린다. 같은 증상을 가지고도 의사에 따라 다른 수복재를 선택하는 것 역시 치과마다 진료비가 천차만별인 주요 원인 중 하나이다.
- Copyrights ⓒ 오마이뉴스, 무단 전재 및 재배포 금지 -
Copyright © 오마이뉴스. 무단전재 및 재배포 금지.




