밝고 깨끗한 인상을 주는 하얀 치아미인의 비결

상대방에게 호감을 주는 밝고 깨끗한 인상에 환한 미소는 큰 역할을 하는데 치아가 가지런하지 못하거나 누런 이의 콤플렉스를 가진 경우에는 미소조차 옅어지게 마련이다. 이는 소극적 인상으로 보이는 오해를 낳는 원인이 되기도 한다.
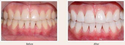
치아는 선천성 혹은 노인성 치아의 변색 또는 커피, 홍차, 콜라, 담배 등의 착색을 유발하는 음식물의 섭취와 외상, 신경퇴화, 오래된 보철물 등에 의해 변색된다.
이와 같이 변색된 치아의 색을 원래의 색조로 회복시키거나 더 희게 하는 치료방법이 바로 치아미백이다.
환한 치아의 자신감을 되찾는 치아미백에 대해 청담동 보스톤허브치과의 정상재원장의 자문을 얻어 알아본다.
치아미백은 치아미백제를 치아표면에 바르고 미백광선을 조사하면 치아표면에 산소입자가 발생되어 치아에 착색 된 색소가 빠져나가는 원리로 치아 표면에 있는 미세한 구멍으로 약제가 스며들어가 분자량이 큰 착색물질을 분해하여 분자량을 작게 만듦으로써 빛의 산란 및 반사량을 조절하여 치아를 밝게 하는 술식이다.
치아미백을 시술할 때 사람마다 맞는 미백제의 선택이 중요하다.
보스톤허브 치과에서 사용하는 미백제는 미국과 한국 식약청에서 허가를 맡아 안전하며 특히 미백제의 농도와 흐름성 또한 안전하게 처리되어 치아에 손상을 주지 않는다 .또한 미백 전문가에 의해 약물처치와 광선치료를 병행하여 치료를 받으며 병원의 집중적인 관리를 받을 수 있다.
내원을 통한 미백치료가 조금더 필요한 경우에는 치과병원의 지도하에 집이나 사무실 등 일상생활 도중 시행하는 방법인 자가미백이 있다. 미리 제작한 치아틀에 미백제를 주입하여 하루에 2∼4시간씩 집에서 시술하는 방법이다.
또한 바쁜 현대인에게 있어 중요한 일정 및 급한 스케줄을 앞둔 경우라면 단 한번의 내원을 통한 One Day미백으로 빠르게 하얀 치아를 만들 수 있다. 이는 특수 광선을 이용하여 1시간 정도 집중 미백치료를 받는 것으로 효과는 일반 전문미백과 다르지 않다.
보통 치아미백의 효과는 1∼2년 정도 지속되는데, 매번 같은 방법의 반복 없이 6개월에서 1년에 한번씩 touch up을 받음으로써 항상 밝은 치아를 유지할 수 있다.
효과의 증대를 위해서는 되도록 착색을 유발할 수 있는 커피, 홍차, 카레 등의 색소가 진한 음식은 피하는 것이 좋으며, 섭취하더라도 곧바로 양치질을 하는 것이 좋다. 더욱이 미백 직후에는 더욱 음식에 있어 주의가 필요하다.
도움말: 청담동 보스톤허브치과 정상재 원장
(끝)
출처 : 보스톤허브치과
본 콘텐츠는 해당기관의 보도자료임을 밝혀드립니다.
Copyright © 연합뉴스 보도자료. 무단전재 및 재배포 금지.
- '조작기소' 여야 충돌 2라운드…특검법안 與발의에 국힘 반발(종합) | 연합뉴스
- 李대통령 "노조도 책임의식 필요…'나만살자' 과도한 요구 안돼"(종합) | 연합뉴스
- 靑 "현재 한미 간 주한미군 감축·철수 논의 전혀 없어" | 연합뉴스
- '고유가 지원금' 내일부터 연매출 30억 초과 주유소도 사용 가능 | 연합뉴스
- 사회적대화협의체, '촉법소년 연령기준 유지' 권고안 의결 | 연합뉴스
- 올해 노벨평화상 총 287 후보…'계엄저지' 韓시민·트럼프 등 추정(종합) | 연합뉴스
- 백화점서 점포 직원이 다른 직원에 흉기…"전 연인관계" 주장(종합2보) | 연합뉴스
- 첫 공휴일 노동절, 맑고 낮 최고 26도…'오존'은 짙어 | 연합뉴스
- 세월호 참사 당일 靑 문서 목록엔…대통령 일정에 상황보고까지(종합) | 연합뉴스
- 이란 최고지도자 "호르무즈 새 질서"…핵·미사일 기술 보호 천명(종합) | 연합뉴스