[Health] 걷는 것조차 힘든 발바닥 통증 '족저근막염' 갑작스런 운동 후 발병..'플랫슈즈' 피해야

족저근막은 발뒤꿈치뼈(종골)에서 시작해 발바닥 앞쪽까지 붙어 이어져 있는 두껍고 강한 섬유띠다. 발아치 형태를 유지하고 충격을 흡수하며 체중이 실린 상태에서 발을 들어 올리는 데 도움을 준다. 족저근막염은 족저근막이 반복적으로 미세 손상을 입어, 근막을 구성하는 콜라겐이 변성되고 염증이 발생한 상태를 말한다.
발병 원인은 발의 과부하다. 평소 운동을 하지 않던 사람이 갑자기 과격한 운동을 하고 난 다음 에 걸릴 가능성이 높다. 특히 바닥이 딱딱한 장소에서의 운동은 발바닥에 더 큰 충격을 줄 수 있어 주의해야 한다. 장시간 서 있는 일이 많거나 과체중인 사람 중 환자가 많은 것도 마찬가지 이유에서다.
정세희 서울대 보라매병원 재활의학과 교수는 “아침에 통증을 느끼는 사람이 많다. 밤새 수축했던 족저근막에 갑자기 체중이 실리면서 압박을 받기 때문이다. 아킬레스건과 종아리 근육 신축성이 떨어져 있는 사람은 발병 확률이 더 높다. 밑창이 너무 딱딱하거나 굽이 없는 신발을 많이 신을 경우 증상이 나타나기도 한다”고 설명했다.
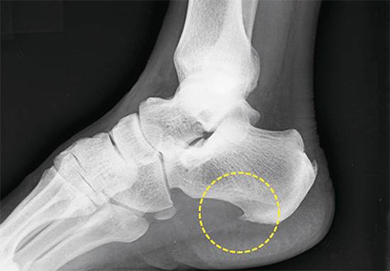
통증은 주로 발꿈치 안쪽에서 생긴다. 발가락을 발등 쪽으로 구부리면 고통이 심해지기도 한다. 가만히 있을 때는 괜찮지만 움직이면 통증이 발생하고 다시 일정 시간이 지나면 고통이 완화되는 것도 대표적인 증상이다. 통증이 가라앉았다고 해서 방심하다가는 병을 더 키울 수 있는 만큼 주의해야 한다. 족저근막 손상이 심해지면 발에 ‘골극’(사진)이 발생한다. 뼈에 붙어 있는 근막 장력 때문에 종골 부위에 뼈가 가시처럼 돋아나게 된 것. 이 경우 제거 수술까지 받아야 하기 때문에 초기 관리와 치료가 중요하다.
정 교수는 “발이 편한 신발 착용이 중요하다. 특히 부드러운 깔창을 끼는 걸 권한다. 굽이 없는 ‘플랫슈즈’는 족저근막염에 치명적이다. 등산·달리기·골프 등 체중이 발에 실리는 운동은 줄이는 게 낫다. 체중 감량도 권유한다”고 말했다.
발병 초기엔 시간을 조금만 투자하면 충분히 자가 치료가 가능하다. 우선 꾸준한 스트레칭이 필수다. 방법도 간단하다. 발가락 부위를 손으로 감아쥐고 몸쪽으로 당긴 후 반대쪽 손으로 스트레칭된 족저근막을 눌러주면 된다. 한 번 스트레칭 시 15~20초간 유지하고, 15차례 정도 반복해주는 편이 좋다. 테니스 공이나 마사지볼, 물병 등 둥그런 물체를 발바닥으로 굴려주는 것도 방법이다. ‘체외충격파’를 손상 부위에 쐬는 방식도 점차 보편화되고 있다. 중증 환자의 경우 별도 치료가 필요하다.
스테로이드성 주사를 맞는 것도 방법이지만, 이 경우엔 부작용이 있다. 정 교수는 “스테로이드 주사는 다른 치료가 효과를 보지 못한 환자에 한해 투여한다. 발뒤꿈치 지방층을 위축시켜 충격 흡수에 오히려 나쁘게 작용할 수도 있기 때문이다. 족저근막 파열 가능성도 높아지는 것으로 알려져 있다”고 주의했다.
[나건웅 기자 wasabi@mk.co.kr]
[본 기사는 매경이코노미 제1936호 (2017.12.06~12.12일자) 기사입니다]
[ⓒ 매일경제 & mk.co.kr, 무단전재 및 재배포 금지]
Copyright © 매경이코노미. 무단전재 및 재배포 금지.