사랑니, 아플까봐 안 뽑으면… 치아에 ‘이런 문제’ 생겨
전체 맥락을 이해하기 위해서는 본문 보기를 권장합니다.
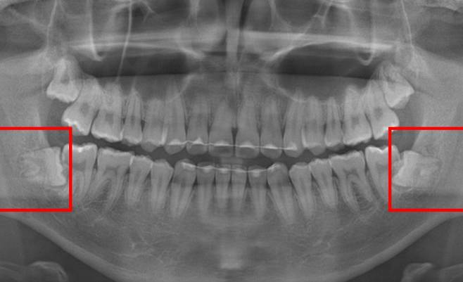
사랑니는 똑바로 자라지 않고 옆으로 비스듬히 나는 경우가 많다.
사랑니가 수평 방향으로 맹출하면 인접치 표면이 침식되는 치아 우식이나 치주염 등이 발생할 위험이 있으며, 치아 머리 주변으로 염증이 생기는 치관주위염의 원인이 되기도 한다.
서미현 교수는 "매복된 사랑니 중에는 낭종이나 양성 종양과 연관된 경우도 있기 때문에 예방 차원에서 제거해야 할 수도 있다"고 말했다.
이 글자크기로 변경됩니다.
(예시) 가장 빠른 뉴스가 있고 다양한 정보, 쌍방향 소통이 숨쉬는 다음뉴스를 만나보세요. 다음뉴스는 국내외 주요이슈와 실시간 속보, 문화생활 및 다양한 분야의 뉴스를 입체적으로 전달하고 있습니다.

이처럼 비스듬히 자란 사랑니는 주변 치아에도 영향을 미친다. 사랑니가 수평 방향으로 맹출하면 인접치 표면이 침식되는 치아 우식이나 치주염 등이 발생할 위험이 있으며, 치아 머리 주변으로 염증이 생기는 치관주위염의 원인이 되기도 한다. 치관주위염은 사랑니 주변 부기, 통증과 함께 개구(開口) 장애 등을 유발한다.
문제는 발치에 대한 두려움 때문에 통증, 불편함이 있어도 사랑니를 방치하는 사람들이 적지 않다는 점이다. 그러나 인접치가 손상되거나 치관주위염이 발생했을 때, 물혹, 종양이 생겼을 때는 적극적으로 발치를 고려해야 한다. 서울대치과병원 서미현 교수는 “발치 후 불가피하게 통증이 나타날 수 있다”며 “통증이 우려된다면 마취가 풀리기 전에 처방받은 약을 복용하고, 그래도 통증이 심하면 담당 치과의사와 상의해 진통소염제를 추가 복용할 수도 있다”고 말했다.
사랑니 발치는 대부분 국소 마취 하에 이뤄진다. 다만 환자의 시술에 대한 두려움이나 시술 중 통증 조절, 매복 깊이, 발치 난이도에 따라서는 다른 마취 방법을 고려할 수도 있다.
첫 번째는 의식이 있는 상태로 진행되는 ‘의식하 진정 마취’다. 진정 마취는 보통 ▲사랑니의 매복 깊이가 깊을 때 ▲환자가 시술에 대한 공포심이 클 때 ▲난이도가 높고 통증이 예상될 때 시행한다. 진정 마취는 국소 마취 때보다 시술 시간을 늘릴 수 있기 때문에 한 번에 많은 치료를 원하는 경우에도 적용할 수 있다.
두 번째는 ‘전신마취’다. 전신 마취는 마찬가지로 환자가 수술에 대한 공포심이 크거나 치아 매복 깊이가 깊을 때, 또는 낭종, 종양 등이 동반됐을 때 고려할 수 있다. 서미현 교수는 “매복된 사랑니 중에는 낭종이나 양성 종양과 연관된 경우도 있기 때문에 예방 차원에서 제거해야 할 수도 있다”고 말했다.
사랑니는 관리가 어렵고 실제 기능하지 않는 경우가 많다. 인접 치아 관리를 위해서는 발치가 필요하다. 서 교수는 “사랑니로 인한 증상과 통증이 없다고 해서 문제가 없는 것은 아니다”며 “구강악안면외과 전문의와 상담하거나 주기적인 검진이 꼭 필요하다”고 했다.
Copyright © 헬스조선. 무단전재 및 재배포 금지.
- 칫솔로 닦기 어려운 사랑니, 깨끗하게 관리하려면?
- 사랑니 뺐는데 턱 뼈가 두 동강… 조심해야 할 사람은?
- 사랑니 뽑았다면, 주의사항은?
- 유재석, “‘이것’ 많이 마신 사람, 40대부터 티 난다”… 뭐길래?
- 한다감, “대장암 신호일까 걱정”… 겪은 일 봤더니?
- “거대하지만 뚱뚱하지 않은 몸” 만들려… 정지훈 7kg 벌크업 비결은?
- 삼성서울병원, ‘궤도형 죽종절제술’ 국내 최초 성공
- 위하준, 7kg 감량 비결 공개… “‘이것’ 먹고 혈당 관리했다”
- 매일 운동해도 우울한 이유, ‘이것’ 함께 챙겨야…
- 성시경, 파스타에 ‘이것’ 넣던데… 사실은 당류·나트륨 폭탄