몰랐던 잇몸의 '이 증상'… 성병 신호일 수 있다고?
전체 맥락을 이해하기 위해서는 본문 보기를 권장합니다.
성(性)에 대한 인식이 갈수록 개방적으로 바뀌면서 파트너 수가 늘어나고, 성병 확산 위험도 높아지고 있다.
이때 주의해야 할 것이 에이즈로 이어지는 HIV(사람면역결핍바이러스) 감염인데, HIV 감염 증상이 입속에 나타날 수 있어 알아두는 게 좋다.
이 글자크기로 변경됩니다.
(예시) 가장 빠른 뉴스가 있고 다양한 정보, 쌍방향 소통이 숨쉬는 다음뉴스를 만나보세요. 다음뉴스는 국내외 주요이슈와 실시간 속보, 문화생활 및 다양한 분야의 뉴스를 입체적으로 전달하고 있습니다.
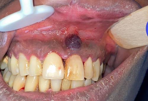
성(性)에 대한 인식이 갈수록 개방적으로 바뀌면서 파트너 수가 늘어나고, 성병 확산 위험도 높아지고 있다. 이때 주의해야 할 것이 에이즈로 이어지는 HIV(사람면역결핍바이러스) 감염인데, HIV 감염 증상이 입속에 나타날 수 있어 알아두는 게 좋다. HIV에 감염되면 '카포시육종'이라는 악성 종양이 생길 수 있는데, 일부는 입안 점막으로 증상이 발현된다. 프랑스 파리 파리시테대학교 피티에살페트리에르병원 치과 의료진이 HIV 감염으로 인해 입안 점막에 카포시육종이 나타난 사례 두 건을 보고했다.


피티에살페트리에르병원 치과 의료진은 "카포시육종은 1872년 처음 보고된 질병으로, HIV 감염 환자에게서 발생했을 때 이미 '에이즈 정의 질환'으로 간주된다"며 "남성과 성관계를 갖는 젊은 남성에게 가장 흔히 나타난다"고 했다. 이어 "붉은색이나 보라색 반점으로 나타나는 경우가 많다"고 했다. 단독으로 병변이 생기면 절제하는 외과적 수술, 방사선 치료 등으로 제거하고 광범위하게 퍼졌을 때는 항암치료 등을 고려한다. 에이즈 상태로 진행됐을 경우 항바이러스 치료제를 써서 면역력이 떨어지지 않도록 유지시킨다.
한편, HIV 감염 예방을 위해서는 성관계 시 콘돔을 사용하는 게 중요하다. 콘돔은 HIV 감염을 70~90%까지 막을 수 있다고 알려졌다.
Copyright © 헬스조선. 무단전재 및 재배포 금지.
- “실신에 성병 위험까지” 연인 간 피해야 하는 성행위는?
- 허리디스크 환자들, 성행위는 독이다?
- 질외사정은 피임 실패율 높다? 콘돔·약보다…
- 9만 개 이상 수입된 ‘태국산 콘돔’서 벌레 나와
- 올림픽 기간 중 콘돔 30만 개 지원… 콘돔으로 못 막는 성병 있을까?
- ‘대장암의 원인’ 염증을 잡아라… ‘이 색깔’ 채소 먹는 게 도움
- “짠 음식과 매운 음식 중 위 건강 더 망치는 것은…” 외과 전문의 경고
- “놀랍도록 혈당 상승 막아” 70kg 감량 박수지, 걷기보다 효과 좋다던데… 뭘까?
- “8년 전에 몸에 넣은 것” 20대 女 손가락에서 발견된 것은?
- 설탕보다 50배 단데, 몸에는 좋은 ‘이것’… 대체 뭐야?