잇몸 건강 지표라는데… '블랙 트라이앵글' 뭘까?
전체 맥락을 이해하기 위해서는 본문 보기를 권장합니다.
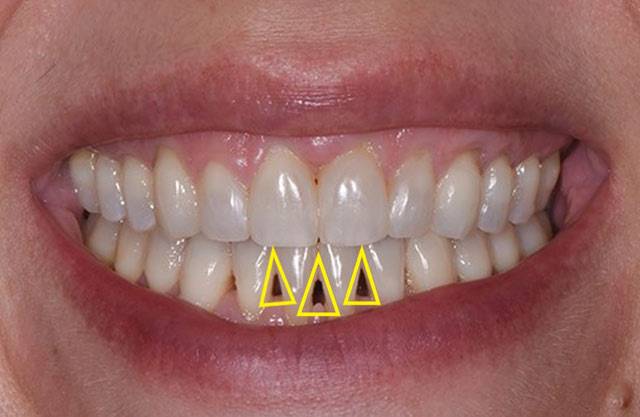
잇몸이 건강한 상태인지 알려면 '블랙 트라이앵글' <사진> 유무를 확인해보는 게 좋다. 사진>
블랙 트라이앵글은 나란히 붙어 있는 두 치아와 잇몸 사이 생긴 공간으로, 하얀 치아나 선홍색 잇몸과 대비돼 검게 보여 이름 붙었다.
잇몸이 치아를 지지하지 못하게 해 블랙 트라이앵글을 만든다.
블랙 트라이앵글이 생겼을 때 잇몸 건강을 지키려면 반드시 치실이나 치간칫솔로 이 사이 놓치기 쉬운 찌꺼기를 제거해야 한다.
이 글자크기로 변경됩니다.
(예시) 가장 빠른 뉴스가 있고 다양한 정보, 쌍방향 소통이 숨쉬는 다음뉴스를 만나보세요. 다음뉴스는 국내외 주요이슈와 실시간 속보, 문화생활 및 다양한 분야의 뉴스를 입체적으로 전달하고 있습니다.

블랙 트라이앵글은 대체로 노화나 잇몸 질환 등으로 잇몸뼈가 소실되고 잇몸이 내려앉으면서 생긴다. 점점 커진다면, 구강 건강이 악화해 잇몸 양이 확연하게 줄어든 것이다. 간혹 구강 건강에 이상이 없어도 존재할 수 있는데, 이땐 시간이 지나도 블랙 트라이앵글이 커지지 않는다. 보통 40대를 기점으로 변화가 나타난다. 치아가 벌어지면 외적인 문제뿐만 아니라 음식물이 끼어 충치나 잇몸질환이 발생하는 이차적인 문제가 생길 수도 있어, 초기에 관리해야 한다.
블랙 트라이앵글이 생기는 대표적인 원인은 ▲잇몸 염증 ▲흡연 ▲너무 힘을 줘 양치하는 습관 등이 있다. 치태나 치석으로 잇몸에 염증이 생기면 잇몸뼈가 사라지고 잇몸이 퇴행·위축되면서 블랙 트라이앵글이 생긴다. 이땐 젊을 때보다 치아가 길어 보이고, 가벼운 양치질에도 잇몸에서 피가 나거나 잇몸이 시리고 붓는 등 증상이 나타난다. 흡연도 잇몸 건강을 악화시킨다. 잇몸이 치아를 지지하지 못하게 해 블랙 트라이앵글을 만든다. 치아를 깨끗하게 닦는다며 힘을 줘 치아 뿌리를 세게 문지르는 습관도 잇몸을 상하게 한다. 이 외에도 충치 치료를 하고 치아를 씌운 크라운이나 보철물이 치아와 맞지 않거나, 시간이 지나 보철물과 치아 사이 빈틈이 생겨 그사이 세균이 번식하면서 잇몸이 손상될 수 있다.
블랙 트라이앵글이 생겼을 때 잇몸 건강을 지키려면 반드시 치실이나 치간칫솔로 이 사이 놓치기 쉬운 찌꺼기를 제거해야 한다. 블랙 트라이앵글에 남은 음식물이 부패하면서 충치와 잇몸질환 등을 유발할 수 있다. 치아 뿌리가 드러났다면 찬물이나 짠 음식에 이가 시리기도 하다. 주기적인 스케일링을 받는 게 좋다. 양치질 후 손을 깨끗이 씻은 뒤 검지로 잇몸을 문지르는 잇몸 마사지를 하면 잇몸 조직을 강화할 수 있다. 흡연은 피해야 한다.
블랙 트라이앵글이 생긴 원인에 따라 이차적인 문제가 생길 수도 있으므로 블랙 트라이앵글이 보이기 시작할 때 치과를 방문해 치료하는 것이 안전하다. 미관상 보완하고 싶다면 공간을 채우거나, 벌어진 치아 사이를 교정하는 수복 치료를 받을 수 있다.
한편, 스케일링 후 블랙 트라이앵글이 보이는 경우도 있다. 이때 잇몸 통증, 시림 등 동반 증상이 없다면 치석으로 생겼던 잇몸 부기가 빠져 드러나는 것으로 정상일 가능성이 크다. 스케일링으로 없던 블랙 트라이앵글이 생기진 않는다.
Copyright © 헬스조선. 무단전재 및 재배포 금지.
- 비싼 임플란트, 오래 사용하려면?
- 임플란트 심었다면 '이 음식' 주의해야
- 임플란트 수술, 정말 계절 중요할까?… 오해와 진실4
- 잇몸 안 좋으면, 심혈관 질환 위험 껑충
- BTS 콘서트 앞두고 ‘이것’ 먹던데… “활력 충전 제대로”
- “다이어트 식품 ‘이것’, 독 될 수도” 영양사 경고… 뭐야?
- “세균 도로 묻는다”… 공중 화장실서 손 씻고 ‘이것’ 쓰지 말라던데?
- 매일 먹기 좋은 ‘가성비’ 건강 식품 7가지… 뭘까?
- ‘57세’ 김정민, “두 시간 콘서트 거뜬”… 비결은?
- 임우일, 냉장고에서 ‘이것’ 한가득 나오던데… “세균 범벅일 것”