김준 고대 교수팀·하엘, 차세대 항진균 기술 美 특허 등록
전체 맥락을 이해하기 위해서는 본문 보기를 권장합니다.
김준 고려대 교수팀과 바이오 헬스케어 전문기업 하엘이 공동 연구 개발한 '카바졸 화합물을 유효성분으로 포함하는 항진균 조성물'이 이달 14일 미국 특허 등록을 최종 완료했다.
김 교수팀이 특허를 획득한 항진균 조성물은 진균 감염병 중 치사율 1위인 캔디다 질염을 1차 타겟으로 개발됐다.
이 글자크기로 변경됩니다.
(예시) 가장 빠른 뉴스가 있고 다양한 정보, 쌍방향 소통이 숨쉬는 다음뉴스를 만나보세요. 다음뉴스는 국내외 주요이슈와 실시간 속보, 문화생활 및 다양한 분야의 뉴스를 입체적으로 전달하고 있습니다.
[한국경제TV 전효성 기자]

김준 고려대 교수팀과 바이오 헬스케어 전문기업 하엘이 공동 연구 개발한 '카바졸 화합물을 유효성분으로 포함하는 항진균 조성물'이 이달 14일 미국 특허 등록을 최종 완료했다.
이번 미국 특허는 중국 특허와 유럽 특허에 이은 세 번째 국제 특허다. 김준 교수팀과 하엘은 6개월 만에 주요 거대 거점 시장 3곳의 글로벌 특허를 모두 확보하는 성과를 거뒀다. 향진균 조성물이란 곰팡이(진균)에 의해 발생하는 질병을 치료하거나 증식을 막기 위해 여러 성분을 섞어 만든 물질이다.
김 교수팀이 특허를 획득한 항진균 조성물은 진균 감염병 중 치사율 1위인 캔디다 질염을 1차 타겟으로 개발됐다. 한국 여성의 75%가 감염 경험이 있고 반복 감염에 취약한 '캔디다 알비칸스'에 효과적으로 작용해 항진균제 상용화를 앞당길 것이라는게 김 교수팀의 설명이다.
이 조성물은 각종 항진균제 개발은 물론 여성 청결제·화장품·비듬 샴푸·생활용품·진균 방부제 개발 등에도 적용될 수 있어 글로벌 시장에 큰 파급을 줄 것으로 전망된다.
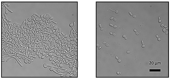
이번 성과는 단순히 곰팡이를 직접 사멸시키는 기존 방식에서 벗어나 병원성의 핵심 기전인 '균사 형성'을 억제하는 새로운 전략을 제시했는데, 균사 형성은 곰팡이가 주변 조직으로 파고들기 위해 실 모양의 뿌리를 뻗어 나가는 과정을 말한다. 이 뿌리가 생기면 독성이 강해지는 것으로 알려져 있다.
진균의 생존을 억제하기보다 감염력과 침투력을 결정짓는 균사 형성 과정을 차단함으로써 병원성을 약화시키는 방식을 찾아낸 셈이다.
김준 교수는 "30년 이상 진균·항진균제 연구 개발에 매진해 왔다"며 "대부분의 항진균제가 곰팡이 세포벽 합성에 집중되어 있으나 이번 특허는 그 제약점들을 극복한 세계 첫 '균사 형성 제어를 1차 타겟으로 하는 항진균제 개발 원천 기술'을 확보했다는 점에 의의가 있다"고 밝혔다.
그러면서 "동물 실험에서 주사제와 구강 투여를 통해 기존 항진균제 내성이 있는 균주에도 효과적으로 작용함을 확인했다"며 "피페라진을 포함하는 신종 화합물이 캔디다균뿐 아니라 비듬균과 같은 다른 진균에 대해서도 생장 억제와 병원성 상쇄 효과를 가지는 등 우수한 항진균 효과를 나타냈다"고 말했다.
전효성기자 zeon@wowtv.co.kr
Copyright © 한국경제TV. 무단전재 및 재배포 금지.