담배 안 피우는 엄마들도 걸린다, 사망 1위 폐암 뜻밖의 원인

긴 설 연휴, 오랜만에 가족들이 모여 앉아 이야기를 나눌 때 빠지지 않는 주제가 ‘건강’입니다. 특히 건강에서 빼놓을 수 없는 문제가 바로 사망 원인 1위인 ‘암(癌)’입니다. 영유아기부터 노인기까지, 생애 전반에 걸쳐 내 건강을 위협하는 불청객이자 최대 관심사이기도 합니다. 중앙일보가 서울아산병원 의료진 도움말을 받아 명절 기간 살펴볼 5개 암의 예방·치료법 등을 연재합니다. 세번째는 윤재광 서울아산병원 흉부외과 교수가 말하는 폐암입니다.

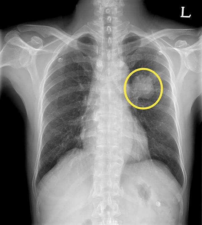
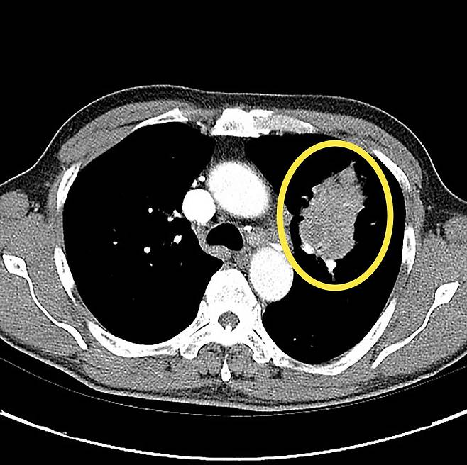
56세 여성 이모 씨는 평소 담배를 피운 적이 없고 기침, 흉통과 같은 호흡기 증상도 없었다. 어느 날 소화가 잘 되지 않고, 상복부 불편감이 지속돼 병원을 찾아 복부 CT 검사를 받았다.
검사 결과 위나 간에 큰 이상이 없었지만 영상 판독 과정에서 폐 하부에 작은 결절이 우연히 발견됐다. 의료진은 추가로 흉부 CT 검사를 시행했고, 정밀 검사 결과 초기 폐암이 의심돼 수술을 진행했다. 다행히 암이 초기 단계에서 발견돼 최소 침습 수술만으로 제거할 수 있었고 현재는 항암치료 없이 정기 추적 관찰을 받고 있다.
폐암은 2015년 이후 줄곧 국내 암 사망 원인 1위를 기록하고 있다. 특히 65세 이상 남녀 전체에서 가장 많이 발생해 고령층에게 가장 위협적인 암이기도 하다. 갑상선암, 전립선암, 유방암은 90% 이상의 높은 생존율을 보이는 것과 달리 폐암의 5년 생존율은 42.5%로 상대적으로 낮은 편이다.
최근에는 정기 건강검진이 활성화되면서 조기 진단 사례가 증가하며 생존율이 꾸준히 개선되고 있다. 수술 기법과 치료 전략도 발전해 수술로 완치를 기대할 수 있는 환자들도 점차 늘어나고 있다. 폐암의 5년 생존율 역시 꾸준히 향상되고 있어 조기 발견과 적극적인 치료의 중요성이 더욱 강조되고 있다.

━
폐암은 왜 발생할까
여러 원인이 복합적으로 작용하지만, 그중에서 가장 중요한 원인은 흡연이다. 흡연이 폐암 발생에서 차지하는 비율은 약 70~80%로 보고될 정도로 흡연이 차지하는 비율이 높다. 특히 담배를 시작한 시기가 빠르고 같은 시기라도 더 많이 피울수록 흡연 시기가 어릴수록 폐암 발생률은 더 높아진다. 간접흡연 역시 최근 중요한 원인으로 주목받고 있다.
하지만 흡연만이 폐암의 원인은 아니다. 최근 아시아권에서 젊은 여성 비흡연자에서 폐암 발생률이 높아지는 추세다. 많은 여성 환자가 비흡연자임에도 불구하고 왜 걸리게 되는지 묻는데, 이러한 비흡연자의 폐암은 흡연자에 의한 폐암과 양상이 조금 다르다.
최근 발생이 늘고 있는 선암은 비흡연자에서도 많이 발생한다. 또 대기오염과 미세먼지, 라돈, 석면이나 비소, 니켈 등 직업적인 발암 물질의 노출 등이 원인이 될 수 있다. 열악한 조리 시설 환경도 폐암 발생률을 높인다고 보고되고 있어 국가에서 조리 시설 근무자들을 위한 건강검진을 시행하고 있다.
만성 폐쇄성 폐질환 같은 기저 폐질환도 폐암의 원인이 될 수 있다. 유전적 요인도 무시할 수 없는데, 부모가 폐암으로 사망하면 정상인보다 2배에서 3배 정도 발생률이 높다고 알려져 있다.
폐암은 어떤 증상을 보일까
폐암은 증상 만으로 의심하기가 쉽지 않다. 피가 섞여 나오는 객혈, 기침, 호흡곤란, 체중 감소 등은 다른 암이나 호흡기 질환에서도 나타나는 증상이기 때문이다. 식욕 감소, 피로, 연하(삼킴)곤란 등도 우리가 피곤할 때 나타날 수 있는 증상이기 때문에 이러한 증상만으로 폐암이라고 진단하기는 어렵다.
실제로 증상이 있어서 폐암이 진단되는 경우는 이미 암이 진행된 경우가 많다. 폐에는 통증을 느끼는 신경이 적어 폐 내부가 많이 손상돼도 환자는 통증을 느끼지 못하는 경우가 많기 때문이다. 대다수 환자가 증상이 나타난 이후에 진단되는데 이는 암이 이미 진행된 상태임을 의미한다.
폐암이 상당히 진행되면 다른 장기로 전이되면서 특정 증상이 나타날 수 있다. 뇌로 전이되면 두통, 어지럼증, 걸음걸이 이상 등이 나타날 수 있고 뼈로 전이되면 해당 부위에 심한 통증이 발생한다. 척추로 전이되어 마비가 생기면 하지마비가 나타날 수도 있다. 이러한 증상이 나타나는 경우는 폐암이 상당히 진행된 상태이기 때문에 예후가 좋지 않은 경우가 많다.
폐암은 수술로 완치할 수 있을까
폐암은 먼저 수술을 할 수 있는지 없는지 구분하는 것이 중요하다. 폐암은 크게 비소세포성 폐암과 소세포성 폐암으로 나뉜다.
비소세포성 폐암은 선암, 편평세포암, 대세포암 등 여러 암종이 있으며, 대부분의 폐암 수술은 비소세포성 폐암에서 이루어진다. 초기 폐암인 1기와 2기는 수술로 완치까지 될 수 있으며 그 이상의 병기에서는 항암이나 방사선 치료가 동반되어야 하는 경우가 많다.
소세포성 폐암은 일반적으로 수술이 크게 도움 되지 않는 암으로 알려져 있다. 물론 처음 진단받았을 때 폐의 일부분에만 국소적으로 국한되어 있다면 수술적 치료를 할 수도 있지만 이런 경우에도 항암치료를 병행해야 한다. 그리고 많은 소세포성 폐암 환자들이 수술이 도움 되지 않는 진행성 단계에서 발견되는 편이다.
폐암의 병기는 1기부터 4기까지 나뉜다. 1기 폐암은 폐에 국소적으로 존재하며 다른 곳에 병변이 발견되지 않는 경우다. 2기는 폐 주변 림프절에서 암이 발견되는 경우, 3기는 폐 중심부나 반대쪽 림프절까지 침범한 경우, 4기는 다른 장기로 전이된 상태를 말한다. 4기 폐암은 다른 암들과 마찬가지로 수술적 치료가 도움이 되지 않는다.
폐암의 수술 방법은
폐암을 치료하는 방법은 수술, 항암치료, 방사선 치료가 있으며, 병기와 전신 상태, 나이, 동반 질환 등을 고려해 치료법을 결정한다. 폐암은 다른 암과 마찬가지로 수술로 암을 절제해 내는 것이 근본적인 치료법이다. 폐암 수술은 절제 범위에 따라 여러 종류가 있다. 폐엽 절제술이 표준 치료이지만 폐 부분절제술이나 폐 구역절제술과 같이 더 작은 단위로 수술할 수도 있고, 반대로 폐 2엽 절제술이나 전폐 절제술처럼 더 큰 범위를 절제해야 할 수도 있다.
수술 방법은 크게 개흉술과 최소 침습 수술로 나뉜다. 개흉술은 15~20cm 정도의 절개를 하고 갈비뼈 하나를 절단하여 진행하는 수술로, 넓은 시야를 확보할 수 있고 다양한 기구를 제한 없이 사용할 수 있다는 장점이 있다. 수술 중 예상치 못한 대량 출혈 같은 문제가 발생했을 때도 신속하게 대처할 수 있다. 하지만 흉터가 크고 갈비뼈를 절단하기 때문에 수술 후 통증이 상당히 크다. 6개월에서 1년이 지나도 통증이 지속되는 경우가 있어 일상생활에 불편함을 겪을 수 있다.
최소 침습 수술은 1~2cm의 구멍을 3~4개 정도 뚫고 카메라와 수술 기구를 넣어서 진행하는 수술이다. 흉터가 작고 통증이 적으며 회복이 빠르고 일상생활 복귀도 빠르다. 추후 재발이나 새로운 폐암이 생겼을 때도 재수술이 더 용이하다. 과거에는 초기 폐암에서 주로 시행되었지만, 최근에는 수술 경험과 장비 발전으로 적용 범위가 점차 확대되고 있다. 로봇수술 역시 최소 침습 수술의 한 형태로 점점 활용이 늘고 있다.
폐암 수술 후 예후는 병기에 따라 크게 달라진다. 1기부터 3기로 갈수록 5년 생존율이 계단식으로 떨어진다. 5년 후 재발률은 1기에서 약 10%, 2기에서 30%, 3기에서 약 50% 정도다. 따라서 1기 환자는 수술 후 추가 치료 없이 정기 검진만 받지만, 2기와 3기 환자는 재발률이 높아 수술 후 항암제 치료를 받아야 하며, 3기부터는 보조 방사선 치료까지 필요할 수 있다.

폐암의 예방법은
폐암은 흡연과 깊이 관련돼 있기 때문에 금연을 하는 것이 폐암 예방에 가장 중요하다. 흔히 20년 정도 금연해야 폐암 유병률이 정상인 수준으로 떨어진다고 알려져 있다. 상당히 긴 기간이라고 생각할 수 있지만 금연을 빨리할수록 폐암 발생 위험도는 더욱 떨어진다. 또한 간접흡연 피해를 일으키기 때문에 지금이라도 금연을 당장 하는 것이 중요하다.
최근 대한폐암학회가 발표한 연구에 따르면 환기가 잘되지 않는 곳에서 요리하는 여성이 그렇지 않은 여성보다 폐암이 발생할 확률이 높은 것으로 나타났다. 요리하면서 나오는 연기도 폐암의 원인이 될 수 있기 때문에, 밀폐된 곳에서 요리하더라도 창문을 열거나 환풍기를 사용하는 것이 좋다.
폐암의 치료 성적을 높이기 위해서는 조기 발견이 무엇보다 중요하며 검진이 필수적이다. 만 54세~74세, 30갑년 이상의 흡연력을 가진 흡연자는 국가암검진사업을 통해 2년마다 폐암 검진을 받을 수 있다. 직계가족 가운데 폐암에 걸린 경우가 있다면 자주 검진을 하는 것을 권한다.

이에스더 기자 etoile@joongang.co.kr
Copyright © 중앙일보. 무단전재 및 재배포 금지.
- "尹이 사랑꾼? 그게 사랑이야?"…악쓰는 김건희 반전 목격담 | 중앙일보
- "흙탕물에 밥 말아먹어"…청량리 집창촌 뒷골목, 女의사의 충격 | 중앙일보
- 챗GPT·제미나이 이렇게 써라…직장서 살아남을 'AI 사용법' | 중앙일보
- 미성년 성폭행한 교회 교사…"자아 붕괴" 판사도 놀란 일기장 내용 | 중앙일보
- 청담 명품거리 한복판서 시신…베일 속 '사라킴' 쓰린 추적극 | 중앙일보
- 김상겸 4년전 올림픽 탈락의 눈물…아내는 그때 결혼 결심했다 | 중앙일보
- 기계체조 국대 충격…여중생에 "키스보다 심한 것 해줄게" | 중앙일보
- "부모님이 쓸까봐" 세뱃돈으로 금 사들인 10살 소녀, 수익률 깜짝 | 중앙일보
- “비행기 값은 비슷해졌다”…LCC들의 진검 승부처는 ‘라면’ | 중앙일보
- 눈뜨고 코 베이징 사라져서? 中 밀라노서 9일째 노골드 | 중앙일보