"배 너무 아파" 6살 여아 복통 원인은 'OOOO'
전체 맥락을 이해하기 위해서는 본문 보기를 권장합니다.
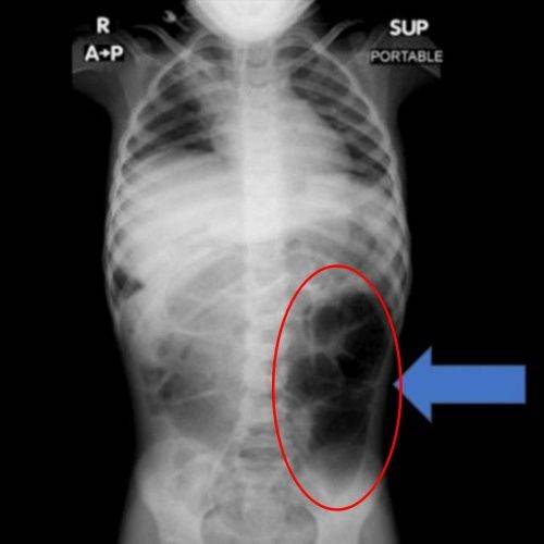
머리카락 뭉치로 인한 복통으로 인해 병원을 찾은 6살 여자아이의 사례가 보고됐다.
23일 의학 저널 '큐레우스'에 따르면 최근 사우디아라비아에 사는 6살 여아 A양은 복통과 소화 장애 증상이 지속되자 병원에 방문해 정밀 검사를 받게 됐다.
의료진은 "소아 환자에게 반복적인 복통이나 구토, 식욕 저하 증상이 장기간 지속될 경우 위장관 내 이물질 가능성을 염두에 둬야 한다"며 "영상 검사를 통한 조기 진단과 신속한 치료가 중요하다"고 설명했다.
이 글자크기로 변경됩니다.
(예시) 가장 빠른 뉴스가 있고 다양한 정보, 쌍방향 소통이 숨쉬는 다음뉴스를 만나보세요. 다음뉴스는 국내외 주요이슈와 실시간 속보, 문화생활 및 다양한 분야의 뉴스를 입체적으로 전달하고 있습니다.
머리카락 뭉치로 인한 복통으로 인해 병원을 찾은 6살 여자아이의 사례가 보고됐다.
23일 의학 저널 '큐레우스'에 따르면 최근 사우디아라비아에 사는 6살 여아 A양은 복통과 소화 장애 증상이 지속되자 병원에 방문해 정밀 검사를 받게 됐다.

검사 결과 A양의 위 내부에서는 비정상적으로 큰 이물질이 발견됐으며, 의료진은 수술을 통해 이를 제거했다. 해당 이물질은 다량의 머리카락이 엉켜 형성된 덩어리로, 위에 머무는 데 그치지 않고 소장의 일부까지 길게 이어진 상태였던 것으로 확인됐다.
의료진은 "소아 환자에게 반복적인 복통이나 구토, 식욕 저하 증상이 장기간 지속될 경우 위장관 내 이물질 가능성을 염두에 둬야 한다"며 "영상 검사를 통한 조기 진단과 신속한 치료가 중요하다"고 설명했다.
위장에서 머리카락이 발견되는 사례는 이전에도 꾸준히 보고돼 왔다. 지난 2019년에는 미국에서 18살 여성의 위장에 약 4.5kg 상당의 머리카락 덩어리가 발견돼 큰 충격을 줬다.

'라푼젤 증후군' 무엇?
라푼젤 증후군은 머리카락을 뽑아 먹는 습관(발모식증·모발섭식증)으로 인해 위 안에 머리카락 덩어리가 생기고, 이 덩어리가 소장까지 길게 이어지는 매우 드문 질환이다.
동화 속 라푼젤처럼 길게 늘어진 머리카락 형태가 위에서 장으로 이어진 모습과 닮아 이 같은 이름이 붙여지게 됐다.
주로 청소년과 젊은 여성에게서 나타나며, 불안·강박·스트레스 등 심리적 요인과 동반되는 경우가 많다. 주요 증상으로는 복통·복부 팽만을 비롯해 구토·소화불량·체중 감소·식욕 부진 등의 증상이 일어나며, 심하면 장 폐색·출혈·천공까지 나타나게 된다.
치료는 대부분 수술을 통해 머리카락 덩어리를 제거하는 방식으로 이뤄지며, 재발 방지를 위해 이후 정신건강 치료를 병행하는 것이 권장된다.
Copyright © 데일리안. 무단전재 및 재배포 금지.
- '8일간의 단식' 장동혁…얻은 것과 잃은 것은 등 [1/23(금) 데일리안 출근길 뉴스]
- '8일간의 단식' 장동혁…얻은 것과 잃은 것은
- '재심 청구 종료' 눈앞에도 미동 없는 한동훈…정치적 해법·미래 '안갯속'
- '3% 지지율' 위기 속 '합당' 동아줄…조국, 제안 수락하나 [여권발 정계개편 ②]
- 5000피로 뜨거운 주식시장…채권시장은 '꽁꽁'
- 기후부 장관 "봉투 판매 제한" vs 李 "제한X"…장동혁 "말 다르니 가관"
- [중동 전쟁] 이란, 걸프 美빅테크 인프라 잇따라 공습…“테크기업 겨냥 첫 조치”
- 배현진 "국면 전환 방법은 '국민의힘 선거 간판 교체'"…장동혁 지도부 사퇴 촉구
- 버터떡 지나 이젠 창억떡…음식은 어떻게 트렌드가 되나 [유행 vs 스테디③]
- ‘삼천리 전성시대’ 김해림 코치가 점찍은 우승자는?