[시니어그룹] 96세 아버지의 임플란트, 어떻게 가능했냐면요
【오마이뉴스의 모토는 '모든 시민은 기자다'입니다. 시민 개인의 일상을 소재로 한 '사는 이야기'도 뉴스로 싣고 있습니다. 당신의 살아가는 이야기가 오마이뉴스에 오면 뉴스가 됩니다. 당신의 이야기를 들려주세요.】
[이혁진 기자]
한달 전 96세 아버지의 윗니 하나가 갑자기 빠졌다. 그간 거의 힘 없는 치아로 식사를 하시다가 본인도 모르게 이가 빠진 것이다. 치아가 없는 아버지의 인상은 전혀 달라 보였다. 아버지도 어색한지 입을 의식적으로 다무셨다. 이를 자식으로서 보고만 있을 수 없었다.
그 다음 날 동네 치과를 찾았다. 병원은 이가 빠지는 게 당연한 듯 크게 놀라지 않았다. 나이가 들면 잇몸이 약해지면서 그럴 수 있다는 것이다. 진찰에 들어갔다. 간호사는 빠진 이를 되살릴 수는 없는 상태이므로 '임플란트' 이외 다른 대안이 없다는 의사 진단을 전해주었다.
문제는 연세가 많다는 것. 특히 임플란트는 무엇보다 본인과 보호자의 의사가 중요하다고 했다. 나는 가능하다면 시술 하자는 입장이었다. 마침 아버지도 그런 의지가 강해 보였다. 우리 부자는 현장에서 임플란트를 하기로 결정했다.
|
|
| ▲ 윗니 빠지신 아버지와 치과를 갔다. |
| ⓒ dentistozkanguner on Unsplash |
또한 고혈압과 당뇨병 등 기저 질환이 있어 출혈을 동반하는 치과 치료에 대한 내과 주치의의 소견이 있어야 한다고 했다. 이처럼 임플란트 전에는 고혈압과 심근경색 등 심혈관계 질환의 약물 중단 여부 확인이 필요했다. 특히 고령자들은 보통 한두 가지 지병이 있어 다니시는 병원에 확인 절차를 거치고 있다고 한다.
며칠 후 서울의 한 대학병원 노년 내과 주치의를 찾아갔다. 다행히 의사는 그간의 경과를 볼 때 아버지께서 아스피린 복용을 잠시 중지해도 치과 치료에 위험 부담이 적다고 말했다. 당뇨와 혈압도 문제 시 하지 않았다. 이때부터 아버지는 일주일 간 아스피린을 복용하지 않았다. 임플란트를 할 수 있다는 기대감에 아버지는 고무됐다. 치료를 할 수 있다는 것만으로도 기쁘다는 표정이셨다.
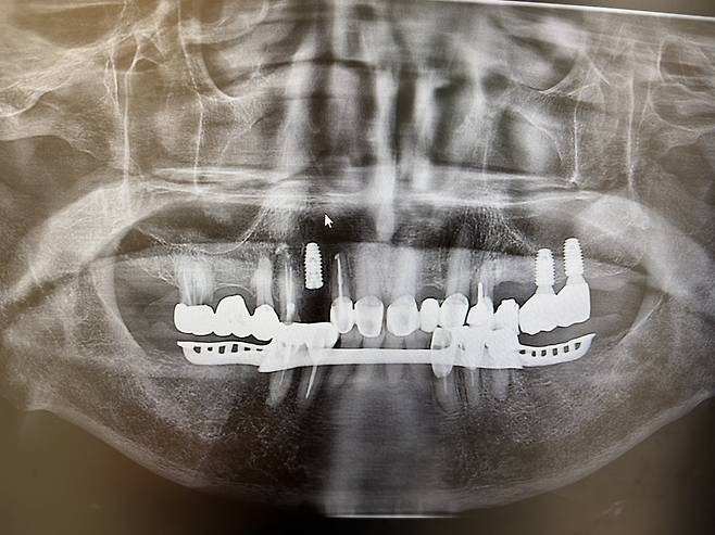
|
|
| ▲ 아버지의 임플란트 영상사진, 왼쪽에 윗니부분에 선명한 것이 임플란트 |
| ⓒ 이혁진 |
아버지 연배에는 임플란트 대신 치아가 없는 상태로 지내는 분들도 많다고 한다. 상태에 따라 구강 건강은 물론 영양 상태가 나빠질 우려가 있다고 한다. 그렇다고 임플란트를 아무나 할 수 있는 것도 아니다. 나이와 잇몸 상태 등 신체 건강이 고려돼야 한다. 젊은데도 임플란트를 할 수 없어 다른 보철 치료를 선택하는 환자가 의외로 많다고 한다.
치과의사 말로는 아무리 돈 많은 부자라도 잇몸이 녹았거나 부실하면 임플란트를 해드리고 싶어도 안타깝지만 해드릴 수 없다고 했다. 아버지는 고령임에도 잇몸이 그나마 건재해 시술이 가능했다. 행운이다. 시술 예후도 낙관적이었다.
2주 후 다시 치과를 방문했다. 임플란트 이후 잇몸 상태와 염증 등 부작용을 체크했다. 여기서도 좋은 결과를 얻었다. 심은 나사를 엑스레이로 확인해보니 잘 뿌리내리고 있었다. 이제는 3개월 후 임플란트 상황을 더 지켜보고 괜찮으면 나사 위에 치아를 덮는 소위 '크라운' 보철만 남았다.
치과에서도 처음에는 시술에 우려를 표했다. 그러나 아버지의 잇몸이 좋은 상태고 본인 의지도 강해 시술을 결정했다고 한다. 이 병원에서 90세 이상 임플란트 환자는 아버지가 처음이라고 귀띔하기도 했다.
고령자들의 임플란트는 특히 가족과 보호자의 관심이 중요하다고 한다. 떨어져 사는 부모의 경우 자식들에게 잇몸 질환을 숨기는 경우가 있다. 식사와 소화는 어떤지, 이가 없어 음식을 흘리는지 등등 '저작 활동'과 구강 상태를 유심히 살펴야 한다.
|
|
| ▲ 96세 아버지는 임플란트를 결심했다. 임플란트는 구강건강 뿐 아니라 심리적 안정에도 중요하다. |
| ⓒ 이혁진 |
Copyright © 오마이뉴스. 무단전재 및 재배포 금지.
- "그럴거면 국힘과 민주당 합당하자" 파격 제안한 이 사람
- 암기 지옥 한국사 시험, 진짜 고비는 따로 있습니다
- 항일로드 50여 곳 중 딱 한 곳만 꼽으라면 바로 여기
- '8개 국어 능통' 전교 1등 한국인이 세계를 돌며 외친 말
- '구멍가게' PD 채용에 176명 몰려 깜짝 놀랐습니다
- '쎄했던' 첫 면접, 하마터면 월급 날릴 뻔
- 버스에서 딸, 아들이 있었다면 기겁했을 일
- '10만 신천지 국힘 당원 가입설'에 조경태 "당무감사 필요"
- 외환+격노, 전방위 압수수색... '윤건희' 점점 조여가는 3특검
- 박찬대 "지귀연을 내란재판서 배제하라"... 룸살롱 의혹 제보 과정도 공개


