한국 첫 코로나 백신 사망자…22세 남자 심장서 발견된 것
「 부검으로 본 코로나 백신 사망 」
‘코로나 백신 피해보상’ 특별법이 지난달 국회를 통과했다. 올 10월 말 시행된다. 기존 감염병 보상 체계보다 범위를 확대하는 게 골자다. 코로나 팬데믹을 특수 상황으로 봤다.
홍콩에선 지난 4주간(5월 17일 기준) 코로나19 사망자 30명이 발생했다. 사태 종식 이후 월별 최대치다. 긴장한 홍콩 당국은 소아·고령층 백신 재접종에 나섰다. 코로나의 ‘그림자’가 지금도 어른거린다.

코로나 백신은 안전한가. 질문은 여전히 유효하다. 현재도 고위험군을 대상으로 코로나 백신 접종이 이루어지고 있다. 접종 피해를 주장하는 이들은 여의도 국회의사당 앞에서 항의 중이다. 미국에선 ‘백신 회의론자’인 로버트 케니디 주니어가 보건부 장관이 됐다. 이런 백신 안전성 논란은 결국 백신 접종으로 사망에 이를 수 있는가의 문제로 수렴한다.
코로나 백신과 사망의 인과성을 추적했다. 우리나라에서 백신 접종으로 사망했다고 신고한 사람 중 실제 백신 사망으로 인정된 사람은 몇 명인가. 백신이 죽음을 불러왔을까. 해답은 ‘부검’에 있다.
우리나라 첫 백신 사망자 부검

백신이 나온 건 코로나바이러스가 퍼진 지 1년 가까이 지나서다. 2020년 12월 화이자-바이오엔텍(Pfizer-BioNTech) 백신과 모더나(Moderna) 백신이 미국 식품의약국(FDA) 긴급 사용 승인을 받았다. mRNA 백신(유전물질을 통해 몸이 스스로 항체를 만들도록 유도)이다. 영국에서 개발된 아스트라제네카(AstraZeneca) 백신도 같은 시기 유럽의약품청(EMA)의 조건부 사용 승인을 받았다. 2021년 2월 우리나라에서 화이자, 모더나, 아스트라제네카, 얀센 등 여섯 종류의 백신 접종이 시작됐다. 코로나 백신과 사망의 인과성이 인정된 첫 사망은 그해 6월 발생했다.
사망 경과
A씨는 22세 남성이다. 2021년 6월 8일 화이자 백신 1차 접종을 했다. 닷새 뒤 흉부 통증이 왔다. 6월 13일 새벽 1시 동료에게 가슴이 아프다고 했고, 이날 오전 8시 자신의 침대에서 의식을 잃은 채 발견됐다. 응급실로 이송됐다. 심전도 검사에서 심실세동(심장이 빠르고 불규칙하게 뛰는 부정맥 상황)이 확인됐다. 2시간 동안 심폐소생술을 했지만 끝내 사망했다.
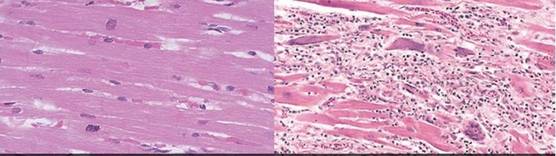
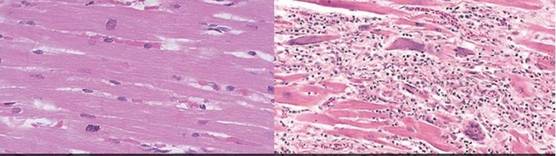
부검 결과
다음 날 곧바로 부검이 실시됐다. 신체 외부에 눈에 띄는 외상은 없었다. 뇌, 폐, 간, 신장, 비장, 췌장에서 사인으로 의심할 만한 부위도 발견되지 않았다. 심장은 균일한 적갈색이었고 심근(심장 근육)에 괴사 부위는 보이지 않았다.
심근염, 백신 접종으로 인한 이상 반응

이상 증세는 현미경을 통한 조직검사에서 드러났다. 떼어낸 35개 심장 검체 중 9개에서 심근염 징후가 발견됐다. A씨는 사망 17개월 전 혈압이 상승(156/94mmHg)한 병원 기록을 제외하면 다른 특이점이 없었다. 조직 검사 결과는 세 가지로 요약된다.
첫째, 심방벽에서 심근염이 확인되었고 염증 주위에서 백혈구 중 하나인 호중구(neutrophil)가 많이 관찰됐다.
둘째, 염증이 없는데도 심근 개별 세포가 떨어져 죽는 현상(단세포 괴사)이 나타났다.
셋째, 좌심실을 중심으로 광범위한 수축띠괴사(심근세포 내 수축띠를 보이는 괴사) 현상이 발견됐다.
(계속)
사인은 심근염으로 판명됐다. 백신과는 어떤 관계가 있는 것일까.
백신 사망자의 경우 접종 이후, 장기는 멀쩡했지만 '이 증상'이 반복해서 나타났다고 하는데 무엇이었을까.
부검이 밝혀낸 백신과 사망의 인과성, 아래 링크에서 확인할 수 있습니다.
https://www.joongang.co.kr/article/25337427
‘부검의 세계: 죽은 자의 증언’ 또 다른 이야기가 궁금하시다면?
“신해철 심낭에 ‘깨’ 떠다녔다” 30년 부검의도 경악한 그 의사
https://www.joongang.co.kr/article/25333859
노무현 서거 때 부검 안 했다…상처 없던 손바닥의 비밀
https://www.joongang.co.kr/article/25327068
"뱃속에 뇌 일부 넣어놨다"…'최덕근 요원' 죽음 숨긴 러시아
https://www.joongang.co.kr/article/25330501
유병언 목 졸려 살해 당했다? 부검이 찾아낸 ‘목뿔뼈’ 반전
https://www.joongang.co.kr/article/25325263
남편 시신엔 뇌 빠져있었다…"자연사" 멕시코 충격 부검
https://www.joongang.co.kr/article/25328719
Copyright © 중앙일보. 무단전재 및 재배포 금지.
- 흉기 피습 그때, 이재명 말했다…"윤석열 계엄령 대비하세요" [대선주자 탐구] | 중앙일보
- 전두환 "노태우 귀싸대기 맞는다"…6공 실세 집합시킨 까닭 | 중앙일보
- 폐가서 시신 17구 쏟아졌다…"납치·실종자 추정" 멕시코 발칵 | 중앙일보
- "눈 뜨자마자 나왔다"…'사전투표율 최저' 대구도 북적 | 중앙일보
- '입양 딸 성폭행' 징역 378년 받은 미국 아빠…16년 만에 무죄, 왜 | 중앙일보
- 동생 죽은 집에서 "찾았다!"…돈에 미친 가족의 보물찾기 | 중앙일보
- "각본에 없던 강간 장면 반복 촬영"…유명 배우 소송당했다, 무슨 일 | 중앙일보
- 北 스마트폰 '오빠' '자기야' 치면…뜨는 '경고 메시지'보니 | 중앙일보
- '데블스 플랜2' 정현규 "불편함 죄송"…우승 소감 대신 사과, 왜 | 중앙일보
- "20대 여성 출입금지, 황당하지 않나"…'안경 앵커' 임현주 소신 발언 왜 | 중앙일보