“여태 잘못했네”… 치아 모양 따라 적합한 양치법 따로 있어
전체 맥락을 이해하기 위해서는 본문 보기를 권장합니다.
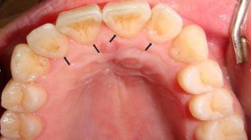
앞니를 혀로 더듬어보자.
혹시 안쪽이 움푹 파여있진 않은가? 이런 치아를 삽처럼 생겼다고 해서 '삽 모양 앞니'라고 부르는데, 전 세계적으로 나타나지만 주로 아시아인에게 많이 나타나는 특징이다.
오히려 삽모양 치아가 더 견고한 것으로 알려졌다.
또 이누이트 같은 극지방에서는 구강 내 열 손실을 줄이기 위해 삽모양 치아가 나타나는 것으로 보인다는 학설이 있다.
이 글자크기로 변경됩니다.
(예시) 가장 빠른 뉴스가 있고 다양한 정보, 쌍방향 소통이 숨쉬는 다음뉴스를 만나보세요. 다음뉴스는 국내외 주요이슈와 실시간 속보, 문화생활 및 다양한 분야의 뉴스를 입체적으로 전달하고 있습니다.

1990년대부터 이미 삽모양 앞니는 유전 형질에 따라 달라지는 것으로 연구돼 왔다. 대한치과의사협회 황우진 홍보이사는 "유독 한국인에게만 많이 나타나는 특징은 아니고, 다른 인종에서도 찾아볼 순 있다"며 "충치에 취약하진 않다"고 했다.
오히려 삽모양 치아가 더 견고한 것으로 알려졌다. 능선이 있는 구조가 씹는 힘을 잘 견뎌, 질긴 음식을 먹기 유리해 진화적으로 채택했을 수 있다는 가설이 있다. 또 이누이트 같은 극지방에서는 구강 내 열 손실을 줄이기 위해 삽모양 치아가 나타나는 것으로 보인다는 학설이 있다.
다만, 치아 뒷면 전체에 걸쳐 파이지 않고, 국소적으로 깊게 함몰되거나 작고 깊은 홈이 있다면 '절치 설면 소와'로 구조 이상일 수 있다. 황우진 홍보이사는 "절치 설면 소와일 때는 음식물이 끼기 쉬워, 충치 위험이 크다"고 했다. 이땐 치과에서 메우는 치료를 하기도 한다.
삽모양이 매우 깊어도 음식물이나 플라크가 남기 쉬운 환경일 수 있다. 황우진 홍보이사는 "음식물이 치아에 붙어있는 시간이 길수록 충치 생길 가능성이 커진다"며 "산도가 높은 음식을 먹지 않았다면 식사 후 바로 양치를 하고, 양치하기 어려운 상황이라면 입이라도 헹구는 게 좋다"고 했다. 삽모양이 깊은 치아는 양치할 때 치아 뒷쪽까지 부드럽게 꼼꼼히 닦아야 한다.
Copyright © 헬스조선. 무단전재 및 재배포 금지.
- 탈모, ‘장-두피 축’의 문제로 접근해야
- 탄력 있는 ‘동안’ 만들어주는 식품 7가지… “매일 먹어야겠네”
- 러닝 인구 1000만 시대… 통증 무시하다간 골절로 이어진다
- 임플란트했다가 신경 손상… 1500만 원 배상받은 남성
- 카페인 안 맞는데 피로는 몰려오고… 커피 대신 ‘이것’ 먹어라
- “몸속 염증 없애는 쉬운 방법” 끓는 물에 ‘이것’ 10분만 우려 마셔라
- “내가 무식하다고 느껴질 때 있어” 메시, ‘이것’ 콤플렉스 고백
- 몸 쭉~ 늘이는 것만으로 ‘혈당 안정’… 방법은?
- '암 잡아내는' 위내시경, 아무 데서나 받기 겁날 때… '이것' 확인하세요
- 봄 꽃가루… 지금부터 ‘이 준비’해야 알레르기 증상 막는다