"재채기는 참을 수 없다더니"…억지로 참은 남성 목에 생긴 '이것'
전체 맥락을 이해하기 위해서는 본문 보기를 권장합니다.
재채기할 때 코와 입을 막고 참으려고 하면 재채기를 내뱉을 때보다 상기도의 압력이 20배 이상 높아져 위험하다는 경고가 나왔다.
이에 의료진은 "코를 막고 입을 다문 채 재채기를 했을 때 기관지에서 압력이 급격히 높아져 찢어짐이 생겼을 가능성이 높다"며 "재채기를 할 때 입과 코를 막으면 '에취' 하며 재채기를 내뱉을 때보다 상기도의 압력이 20배 이상 높아질 수 있다"라고 설명했다.
이 글자크기로 변경됩니다.
(예시) 가장 빠른 뉴스가 있고 다양한 정보, 쌍방향 소통이 숨쉬는 다음뉴스를 만나보세요. 다음뉴스는 국내외 주요이슈와 실시간 속보, 문화생활 및 다양한 분야의 뉴스를 입체적으로 전달하고 있습니다.
코·입 막고 재채기 참는 행동 위험
재채기할 때 코와 입을 막고 참으려고 하면 재채기를 내뱉을 때보다 상기도의 압력이 20배 이상 높아져 위험하다는 경고가 나왔다.

21일 미국 과학 전문 매체 라이브사이언스는 재채기를 참았다가 기도가 파열된 남성의 사례를 보도했다. 영국 30대 남성 A씨는 목이 부어 움직이기 힘든 상태로 병원 응급실을 찾았다.
앞서 A씨는 운전을 하다가 꽃가루 알레르기 증상으로 재채기가 나오려 하자 코를 쥐고 입을 다물어 재채기를 참으려 했다. 하지만 참지 못하고 그 상태로 재채기를 하게 됐고, 통증이 발생해 응급실을 찾게 된 것이다.
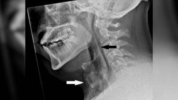
그는 호흡과 삼키기, 말하기에는 문제가 없었다. 다만 의료진이 엑스레이(X-ray)를 촬영하자 피부 아래 가장 깊은 조직층 아래에 공기가 갇히는 질환인 '폐 공기증'의 징후가 발견됐다. CT 스캔 결과 A씨 목의 세 번째와 네 번째 뼈 사이에 찢어짐이 생겨 기도에서 공기가 빠져나와 목 조직과 폐 사이 공간으로 들어간 것으로 확인됐다. 기도에 생긴 구멍의 크기는 지름 2㎜였다.

이에 의료진은 "코를 막고 입을 다문 채 재채기를 했을 때 기관지에서 압력이 급격히 높아져 찢어짐이 생겼을 가능성이 높다"며 "재채기를 할 때 입과 코를 막으면 '에취' 하며 재채기를 내뱉을 때보다 상기도의 압력이 20배 이상 높아질 수 있다"라고 설명했다.
의료진은 A씨 기도의 파열 부위를 복구하기 위한 수술은 필요하지 않다고 판단했으나 이틀 동안 입원하게 해 그의 산소 수치 등을 관찰했다. 첫날에는 경구 음식도 제공하지 않았다. 이후 A씨는 진통제와 꽃가루 알레르기 약을 처방받고 2주간 격렬한 활동을 피하라는 의사의 지시를 받고 퇴원했다. 5주 후 검진에서 CT 촬영한 결과 A씨 목의 찢어진 부분은 완전히 아물었다.
라사즈 미시로브스 박사는 해당 사례를 '영국 의학 저널'에 보고하면서 "재채기는 바이러스와 같은 자극 물질을 몸 밖으로 내보내는 중요한 기능으로, 억지로 참아서는 안 된다"라고 강조했다. 그는 "재채기를 할 땐 얼굴을 손이나 팔꿈치 안쪽으로 가려서 바이러스 같은 자극 물질이 주변 사람에게 퍼지지 않도록 해야 한다"면서도 재채기를 억제해야 할 때는 "재채기가 나올 때 비강 통로를 막지 않고 윗입술 바로 아래를 엄지로 몇 초간 누르는 방법을 사용한다"고 덧붙였다.
A씨의 사례뿐 아니라 재채기를 참으려다 그 압력이 내부로 전달돼 위험에 처한 사례는 종종 보고되고 있다. 고막이 파열된 사례도 있었고 매우 드물지만, 얼굴에 압력이 가해지면서 뇌동맥류가 생긴 사례도 있었다. 또 감기나 독감으로 인해 나오는 재채기를 참을 경우에는 박테리아가 감염된 공기를 중이로 밀어 넣어 중이염에 걸릴 수 있으며, 횡격막에 압력을 가하면서 기흉이 올 수도 있어 주의가 필요하다.
구나리 기자 forsythia26@asiae.co.kr
Copyright © 아시아경제. 무단전재 및 재배포 금지.
- 삼전·하닉에 결혼자금 3억 몰빵 투자한 공무원…결말은? - 아시아경제
- 벌써 '20만 장' 팔렸다…"단돈 8천원에 순금 갖는다" Z세대 '깜짝' 인기 - 아시아경제
- "5시간 갇혀 화장실도 못 가" 야경 보러 간 20명 日 스카이트리서 '날벼락' - 아시아경제
- '약물 사자와 한 컷?' 논란에…노홍철 "낮잠 시간이라 안전" 해명 - 아시아경제
- '운명전쟁49', 순직 경찰·소방관 모독 논란에 결국 "재편집 결정" - 아시아경제
- "아내가 바람 피워" 집에 불지른 男…300채 태운 대형 참사로 - 아시아경제
- "이젠 개도 PT 받는다"…한달 42만원, 상하이에 펫전용 헬스장 등장 - 아시아경제
- "철밥통 옛말됐다" 충주맨 이어 공직사회 번지는 '조기 퇴직' - 아시아경제
- 전원주, 카페 '3인 1잔' 논란에…제작진 "스태프 전원 주문" 해명 - 아시아경제
- 아기 3명 숨졌다…"모유랑 똑같이 만든다더니 '독소' 범벅" 분유 정체 - 아시아경제