“자칫하다간 식도 관통”… 생각보다 위험한 ‘이 반찬’, 정체는?

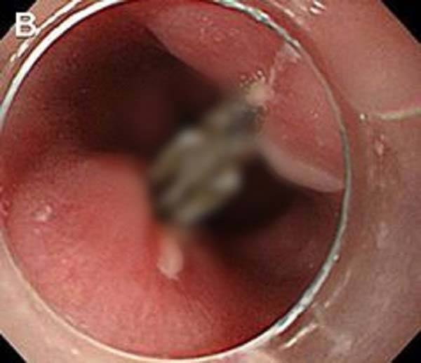
제주대학교 의과대학 내과 의료진의 조사 결과에 따르면, 성인의 식도 이물질의 가장 흔한 원인이 생선뼈다. 섭취된 이물질은 대부분 식도를 통과하지만, 생선뼈와 같은 날카로운 이물질이 식도에 박히는 경우가 있다. 실제로 의료진은 생선뼈가 식도 양쪽을 관통한 사례를 공개했다. 구체적인 신원은 밝히지 않았지만, 내시경 검사를 통해 환자의 식도에 이물질이 박혀 있는 것을 확인했고, 이후 제거된 이물질이 4cm 크기의 생선뼈였던 것으로 밝혀졌다.
의료진은 “식도 이물질은 걸린 위치, 종류와 크기 등에 따라 합병증 유무가 달라질 수 있다”며 “일반적으로 이물감, 연하곤란, 구토 등의 증상이 나타날 수 있다”고 말했다. 이어 “국내 한 기관의 분석에 따르면, 식도 이물이 진단된 196명 중 9%인 18명에서 식도 천공이 발생했는데, 생선뼈가 72%로 가장 많았다”며 “자칫하다가 식도에 천공이 발생하면 흉통 등이 발생할 수 있고, 감염으로 인한 합병증으로 전신 염증 반응이 동반될 수 있다”고 말했다.
의료진이 공개한 사례 외에 생선뼈를 잘못 삼킨 후 각종 후유증을 앓은 사례는 많이 보고됐다. 60대 남성이 생선뼈를 섭취한 후 복통과 팽만감, 구토 등의 증상으로 병원을 찾은 후, 회장 쪽에서 5mm 천공이 발생한 것을 발견했다. 또, 인도의 한 40대 남성이 생선뼈를 모르고 섭취했다가 간에 농양(고름집)이 발생한 사건도 발생했다.
한편, 생선뼈가 목에 걸렸을 때 식초와 물을 희석한 용액을 마셔 가시를 녹이는 민간요법은 염증을 유발할 수 있어 삼간다. 목을 움직이다 생선뼈가 더 깊게 박혀버릴 위험도 있다. 또한, 소아는 음식을 먹다가 이물질을 삼켜도 별다른 이상 증상을 보이지 않는 경우가 많다. 증상이 있더라도 울며 보채거나, 침을 흘리거나, 음식을 더 먹기를 거부하거나, 토하는 게 전부다. 목에 이물질이 걸린 게 아니더라도 소아라면 흔히 보이는 증상이라 알아차리기 어려우니, 보호자의 각별한 주의가 요구된다.
생선뼈가 목에 살짝 박혔을 때는 우선 따뜻한 물을 마셔보도록 한다. 깊게 박히지 않았다면 물이 내려가면서 뼈가 빠질 수 있다. 이후에도 뭔가 걸린 듯한 느낌이 있다면 가급적 빨리 병원에 가야 한다. 병원에서는 의료용 라이트로 혀 아래 또는 편도 주위를 비추면서 뼈를 빼낸다.
이 사례는 ‘대한위장벽학회지’에 게재됐다.
Copyright © 헬스조선. 무단전재 및 재배포 금지.
- [의학칼럼] 갑자기 심해진 빛번짐, 단순 피로 아닌 ‘백내장’ 초기 신호일 수도
- 관절염 가장 심하게 닳은 부위, AI가 찾아낸다
- 전립선암치료제 '뉴베카'·뇌전증약 '브리베타', 약평위 조건부 통과
- ‘13kg 감량’ 배윤정, “살 빼려면 ‘이것’ 시작해라” 추천… 뭐지?
- 의협 "설탕부담금 적극 찬성… 비만은 질병으로 관리해야"
- “통증에 잡아먹힌 삶”… 척수염 환자의 ‘조력 존엄사’ 헌법소원 [간병리포트]
- 우울증·치매 말고도… 외로운 사람, 암 조심해야
- 건강 효능도 가지가지… ‘가지 덮밥’ 어때요?[밀당365]
- 충남권역암생존자통합지지센터, ‘수기 공모전’ 개최 外 [아미랑]
- 셀레나 고메즈, ‘양극성 장애’ 있다던데… 남편이 전한 상황 들어보니?