필라테스 ‘이 자세’ 하다가, 뇌경막 파열… 40대 女 두통으로 알아차려, 무슨 일?

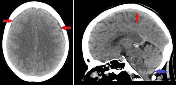
영국 킹스 칼리지대 의대 병원 의료진에 따르면 영국의 40대 여성 A씨는 필라테스를 하면서 목을 젖히고 머리를 뒤로 눕히는 자세를 취했다. 이때 왼쪽 목에서 ‘펑’하는 소리가 난 후 두통을 느꼈다. 그 후 며칠 동안 두통이 지속됐고 병원을 찾아 물리치료를 받았다. 하지만 두통은 4주 동안 계속돼 A씨는 더 큰 병원을 찾아 CT(컴퓨터 단층 촬영)와 MRI(자기 공명 영상) 검사를 받았다. 그 결과, 뇌척수액(뇌와 척수를 보호하고 순환을 돕는 맑은 액체)이 누출돼 고여 있는 것이 확인됐다. 의료진은 “목을 젖히는 자세를 하면서 척수가 압박받아 경막이 파열돼 뇌척수액이 샌 것 같다”며 “뇌척수액 누출과 축적으로 인해 두통이 발생할 수 있으며, 이 두통은 똑바로 앉아 있을 때 더 심해진다”고 말했다. A씨는 병원에 입원해 ‘절대 침상 안정’과 ‘카페인 복용’ 치료를 받았다. 절대 침상 안정은 휴식 치료라고도 하며, 주로 침대에 누워서 보내는 의료 치료법이다. 또한 카페인은 뇌척수액 생성을 증가시키고, 혈관을 수축시켜 뇌 혈류를 감소시켜 두통 완화에 효과적이다. A씨는 2주 동안 치료받은 뒤 퇴원했다. 한 달 후 추적관찰에서 A씨 상태는 정상으로 나타났다. 의료진은 “필라테스 자세와 뇌척수액 누출의 연관성에 관한 최초의 사례다”며 “이런 부상이 드물긴 하지만, 필라테스 자세를 취할 때 주의를 기울여야 한다”고 말했다.
뇌척수액 누출은 뇌와 척수를 둘러싸고 있는 뇌척수액이 경막의 구멍이나 찢어짐으로 인해 외부로 흘러나오는 것을 말한다. 주요 원인은 다음과 같다. ▲뇌나 척수에 외상이 가해진 경우 ▲뇌나 척수 주변에 종양이 발생해 경막이 손상을 입은 경우 ▲특별한 원인 없이 경막이 약해진 경우 등이 있다. 뇌척수액 누출에는 ▲두통 ▲목 통증 ▲어지럼증 ▲시야 변화 ▲이명 등의 증상이 나타난다.
뇌척수액 누출을 진단하기 위해선 먼저 CT나 MRI 촬영을 통해 뇌척수액이 고여있는지 확인한다. 또한 ▲뇌압이 60mmHg 이하인지 측정하고 ▲뇌척수액이 외부로 누출되는 것을 확인하는 뇌조영술과 ▲뇌척수액 누출 부위를 확인하는 척수조영술을 시행한다.
뇌척수액 누출을 멈추기 위해서는 환자는 입원 치료받아야 한다. 이때 머리를 약간 높여 주고, 강하게 코를 풀거나 입으로 부는 행위를 삼간다. 코를 풀면 코에서 얼굴 또는 머리의 다른 부분으로 공기가 확산하기 때문이다. 이 과정에서 항생제를 투여해 각종 감염을 예방한다. 뇌척수액이 계속 누출되면 등 아래에 바늘을 삽입해 체액을 배출하기도 한다. 체액이 계속 누출되면 누출 부위를 봉합한다. 심한 출혈이 있으면 손상된 혈관을 제거하는 수술을 한다.
이 사례는 ‘BMC-Part of Springer Nature(의학 사례 보고 저널)’에 게재됐다.
Copyright © 헬스조선. 무단전재 및 재배포 금지.
- “혈당 잡아준다”… 영양사가 추천하는 아침 메뉴 ‘환상 조합’
- “아침 공복에 먹지 마라”… 채정안 경고한 ‘이것’, 대체 뭐야?
- “아침 식사로 즐기는데”… 알고 보니 ‘위 자극’했던 8가지 음식
- 대장내시경 중 발견된 ‘살아있는 바퀴벌레’… 어떻게 된 일?
- 당뇨 전단계에 ‘두 가지 과일’ 먹었더니… 놀라운 변화
- 탈모, ‘장-두피 축’의 문제로 접근해야
- 탄력 있는 ‘동안’ 만들어주는 식품 7가지… “매일 먹어야겠네”
- 러닝 인구 1000만 시대… 통증 무시하다간 골절로 이어진다
- 임플란트했다가 신경 손상… 1500만 원 배상받은 남성
- 카페인 안 맞는데 피로는 몰려오고… 커피 대신 ‘이것’ 먹어라