의료기기 국제협력연구·해외임상지원 우수성과 낸 5가지는?
전체 맥락을 이해하기 위해서는 본문 보기를 권장합니다.
혁신적 국산 의료기기의 글로벌 경쟁력 강화를 목적으로 지원해 온 '국제협력연구 및 해외임상 지원과제' 사업을 통해 달성된 대표적인 우수성과 5선이 선정됐다.
보건복지부(장관 조규홍)와 한국보건산업진흥원(원장 차순도, 아래 보산진)은 14일 이같이 '국제협력연구 및 해외임상 지원과제' 사업의 대표 우수성과 5선을 알리면서 "사업을 통해 달성된 성과를 분석해 사업목적과의 연관성, 성과의 중요도 및 차별성, 파급효과, 혁신성 등을 중점적으로 검토하여 평가위원회의 엄정한 심사를 거쳐 최종 5선을 우수성과로 선정했다"고 밝혔다.
이 글자크기로 변경됩니다.
(예시) 가장 빠른 뉴스가 있고 다양한 정보, 쌍방향 소통이 숨쉬는 다음뉴스를 만나보세요. 다음뉴스는 국내외 주요이슈와 실시간 속보, 문화생활 및 다양한 분야의 뉴스를 입체적으로 전달하고 있습니다.
[유창재 기자]
|
|
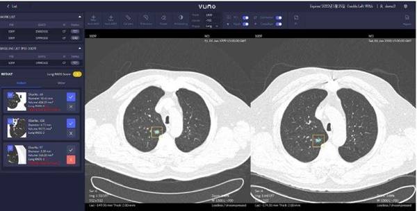
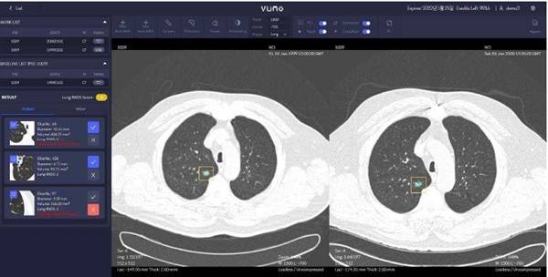
| ▲ 주식회사 뷰노의 흉부 CT 영상으로 폐결절 탐지에서 악성도 평가까지 가능한 기술로 미국 임상 검증 사례 |
| ⓒ 한국보건산업진흥원 제공 |
국제협력연구에서 ▲흉부 CT영상 활용 폐암 조기 진단 인공지능 소프트웨어 ▲소화기관 조기 암질환 대상 복부 최소침습 수술로봇 ▲혈중 내 바이오마커 활용 대장암 선별 체외진단 의료기기 ▲갑상선 기능이상 및 안병증 소프트웨어 의료기기 등 4건의 기술과 해외임상지원에서 ▲ 흉부 CT영상 활용 심폐질환 진단 인공지능 소프트웨어 1건이 그것이다.
보건복지부(장관 조규홍)와 한국보건산업진흥원(원장 차순도, 아래 보산진)은 14일 이같이 '국제협력연구 및 해외임상 지원과제' 사업의 대표 우수성과 5선을 알리면서 "사업을 통해 달성된 성과를 분석해 사업목적과의 연관성, 성과의 중요도 및 차별성, 파급효과, 혁신성 등을 중점적으로 검토하여 평가위원회의 엄정한 심사를 거쳐 최종 5선을 우수성과로 선정했다"고 밝혔다.
앞서 보산진은 지난 3년간 국외기관과의 협력 연구를 통해 우수 기술을 확보하고 조기 제품화를 위한 국제협력연구, 제품의 임상 근거 창출을 위한 시판 전·후 해외임상시험을 지원해왔다.
|
|
| ▲ ㈜엔도로보틱스의 고굴절 유연 수술 로봇 플랫폼 국내외 임상시험 및 상용화 사례. |
| ⓒ 한국보건산업진흥원 제공 |
|
|
| ▲ 우수성과 5선(국제협력연구 4선, 해외임상시험지원 1선)으로 선정된 유망 기술 |
| ⓒ 한국보건산업진흥원 |
|
|
| ▲ 주식회사 이노제닉스의 ONCOCHECKTM Colorectal Cancer 제품화 및 서비스 사례. |
| ⓒ 한국보건산업진흥원 제공 |
|
|
| ▲ 타이로스코프의 갑상선안병증 디지털 모니터링 솔루션 제품개발 및 글로벌 상용화 사례 |
| ⓒ 한국보건산업진흥원 제공 |
|
|
| ▲ ㈜코어라인소프트의 심폐질환 진단을 위한 AI 기반 소프트웨어의 해외 임상 검증 및 FDA 인증 사례 |
| ⓒ 한국보건산업진흥원 제공 |
Copyright © 오마이뉴스. 무단전재 및 재배포 금지.
- 발등 불 떨어진 한국... 미국 경제 전문가들 예측 틀렸다
- 김부겸 "내가 회색분자? 타협·공존 인기 없지만 국민 평가 받겠다"
- [단독] LG가 맏딸 구연경 대표, 미공개 정보 주식 '이날' 샀다
- 국힘 계엄 후 언론중재 5배 급증...추경호 보도 41%
- '서강대교 넘지말라' 지시한 군인 "고민 필요했던 시간이었다"
- 오후 4시 16분 "10년 10개월만에 세월호 아이들 고향으로"
- 딥시크 '쇼크'의 진짜 이유 "비법노트 공개했기 때문"
- '하늘이법' 추진에도 당국 대처가 안타까운 이유
- 도전 앞에 망설이고 있다면 이 전시를 보세요
- 국정원장 미국 간 줄 알았다? 조태용도 부인





