발뒤꿈치·발바닥 아픈 족저근막염… 내시경 유리술로 치료 부담 줄어 [장철영의 관절 BEST]
전체 맥락을 이해하기 위해서는 본문 보기를 권장합니다.
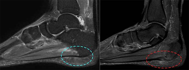
<정상 족저근막(좌) 및 손상되어 두꺼워진 족저근막(우) 자료제공:의정부 연세베스트병원 장철영 병원장> 날이 추워지는 겨울철에는 낮아진 기온으로 인해 발바닥 근육과 인대가 쉽게 굳어져 족저근막염 발병률이 높아진다. 정상>
족저근막염은 걸을 때는 통증이 발생하다가 발을 쉬어주면 증상이 완화되는 경향을 보여 방치하는 경우가 많은데, 방치하게 되면 발바닥 통증으로 인해 걸음걸이에 영향을 끼치게 되어, 보행 불균형으로 인한 발목, 무릎, 허리, 고관절 등에 영향을 줄 수 있어 빠른 치료가 중요하다.
이 글자크기로 변경됩니다.
(예시) 가장 빠른 뉴스가 있고 다양한 정보, 쌍방향 소통이 숨쉬는 다음뉴스를 만나보세요. 다음뉴스는 국내외 주요이슈와 실시간 속보, 문화생활 및 다양한 분야의 뉴스를 입체적으로 전달하고 있습니다.

날이 추워지는 겨울철에는 낮아진 기온으로 인해 발바닥 근육과 인대가 쉽게 굳어져 족저근막염 발병률이 높아진다.
족저근막염이란 발뒤꿈치뼈에서 시작하여 발바닥 앞쪽에 붙은 두껍고 강한 섬유띠인 족저근막이 뼈의 부착부위에서 찢어지며 생기는 질병으로, 압통 및 발바닥에 뻣뻣한 증상이 발생하거나 발가락을 발등 쪽으로 구부릴 때 통증이 심해지기도 한다. 특히 발바닥 뒤꿈치 안쪽 통증 및 아침에 일어나 첫발을 내디딜 때, 찢어지는 느낌이 있으면 족저근막염을 의심해야 한다.
족저근막염의 주요 발생 원인으로는 발의 무리한 사용이 있는데, 선천적으로 발바닥의 아치가 정상보다 낮은 평발이나 아치가 정상보다 높은 요족 변형이 있는 경우에 발생 위험이 높다.
족저근막염은 걸을 때는 통증이 발생하다가 발을 쉬어주면 증상이 완화되는 경향을 보여 방치하는 경우가 많은데, 방치하게 되면 발바닥 통증으로 인해 걸음걸이에 영향을 끼치게 되어, 보행 불균형으로 인한 발목, 무릎, 허리, 고관절 등에 영향을 줄 수 있어 빠른 치료가 중요하다.
초기 치료로는 발바닥의 피로를 줄이는 뒤꿈치 패드나 맞춤 깔창 등의 보조기구들과 함께 진통소염제, 체외충격파 치료 등 보존적 치료를 시행한다. 간혹 스테로이드 주사를 사용하기도 하는데, 반복된 스테로이드 주사는 오히려 퇴행성 변화를 가속화시키므로 주의가 필요하다. 6개월 이상의 보존적 치료에도 효과가 없거나, 초음파 또는 MRI 검사에서 근막의 두께가 4mm 이상 두꺼워진 경우에는 수술적 치료를 고려해야 한다.
족저근막염 수술은 초창기만 해도 피부를 4~5cm 절개하고, 비후된 근막을 부분 절제하거나 늘려주는 절개형 유리술로 진행하였다. 때문에 절개로 인한 통증 및 출혈, 감염 등의 위험이 높았기에 회복 기간이 길어지고, 환자의 회복 부담이 컸었다.
하지만 최근 술식의 개선과 의료기술의 발전으로 절개 없이 2mm 초소형 관절내시경을 이용한 관절내시경 유리술이 가능해져 치료 부담이 크게 적어졌다. 2mm 초소형 관절내시경 유리술은 피부에 2mm 내외의 내시경 포털을 내어, 관절내시경을 통해 주변조직 침범 없이 병변에 직접 도달하여 비후된 근막을 부분절개하거나 늘려주는 유리술을 진행한다. 평균적으로 10분 내외의 짧은 수술시간과 깁스, 부목 없이 당일 수술·퇴원의 원스톱 치료가 가능하기 때문에 환자분들의 부담이 크게 줄어들었다.
족저근막염은 치료가 늦어지면 통증으로 인해 보행이 어려워지고, 삶의 질이 크게 떨어지게 된다. 발전된 술식으로 치료 부담이 줄어든 만큼 병원을 내원하여 정확한 진단과 맞춤형 치료계획을 통한 건강한 발걸음을 되찾기를 바란다.
/기고자: 연세베스트병원 장철영 병원장
Copyright © 헬스조선. 무단전재 및 재배포 금지.
- 발과 발목을 진료하는 의사도 발바닥 고통을 겪게 만든 ‘족저근막염’
- 족저근막염, 스트레칭이 가장 중요
- 발뒤꿈치 통증 ‘족저근막염’, 내시경유리술로 치료부담 적어져
- 족저근막염, 간단한 치료 방법은?
- 생활 습관 개선만으로도 치료 가능한 족저근막염
- 손발톱 검은 줄, 모두 암? 한국인은 ‘이런 상태’일 때 더 의심
- 얼굴 확 달라진 황재근, ‘이 시술’ 때문일까?
- “생리통 심하다 했더니 10년 만에 진단”… 美 26세 여성, 무슨 병?
- 노인 외로움 완화에… 사회 활동보다 효과 큰 ‘이것’
- “모르고 신었다간 관절 망가져” 재활의학과 의사가 알려준 ‘신발 고르는 꿀팁’