“다리에 울긋불긋 발진이”… 무릎에 ‘이것’ 올려놓고 일했다가, 불상사가?
전체 맥락을 이해하기 위해서는 본문 보기를 권장합니다.
뉴욕의 한 피부과 전문의가 열성홍반을 주의해야 한다고 조언했다.
그는 "열성홍반을 주의해야 한다"며 "열성홍반을 예방하려면 난방기기에서 멀리 떨어져야 한다"고 말했다.
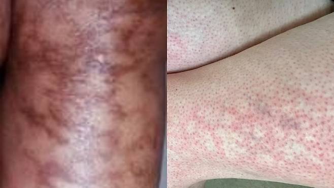
찰스 푸자 박사가 공개한 영상 속에는 열성홍반을 겪고 있는 환자의 다리 사진이 함께 올라왔다.
또 최근에는 IT 기기를 많이 사용하면서 노트북을 장시간 무릎 위에 올려놓고 사용하거나 자동차 히터를 켠 상태에서 장시간 운전하는 경우에도 열성홍반이 발생할 수 있어 주의해야 한다.
이 글자크기로 변경됩니다.
(예시) 가장 빠른 뉴스가 있고 다양한 정보, 쌍방향 소통이 숨쉬는 다음뉴스를 만나보세요. 다음뉴스는 국내외 주요이슈와 실시간 속보, 문화생활 및 다양한 분야의 뉴스를 입체적으로 전달하고 있습니다.

지난 17일(현지시각) 외신 매체 뉴욕포스트에 따르면, 미국 피부과 위원회 인증을 받은 뉴욕 피부과 전문의 찰스 푸자 박사는 자신의 틱톡에 “집이나 사무실에서 사용하는 실내 난방기는 발진을 일으키면서 피부를 더럽힐 수 있다”는 글과 함께 영상을 게재했다. 그는 “열성홍반을 주의해야 한다”며 “열성홍반을 예방하려면 난방기기에서 멀리 떨어져야 한다”고 말했다. 찰스 푸자 박사가 공개한 영상 속에는 열성홍반을 겪고 있는 환자의 다리 사진이 함께 올라왔다. 사진 속 환자의 다리는 울긋불긋 발진과 함께 적갈색의 심한 색소침착이 생긴 모습이다. 열성홍반은 본래 장기간 벽난로와 같은 열원에 노출되는 요리사나 제빵사들 사이에서 나타나는 질환이었지만, 최근에는 더 많은 사람들에게서 나타나고 있다. 열성홍반의 증상과 예방법에 대해 알아봤다.
먼저, 열성홍반은 피부가 화상을 입지 앓을 정도의 43~47도 강한 열에 지속적으로 노출되어 홍반과 색소침착 현상이 나타나는 것이다. 열에 노출된 부위에 붉은 반점 모양 병변이 나타나고, 점차 고리 모양이나 나선 모양으로 홍반이 진행되며, 혈관 확장은 물론 갈색의 심한 색소침착이 생긴다. 주로 여성들에게 많이 생기며, 다리 부위에 나타나기 쉽다.
집에서 흔히 사용하는 전기매트를 고온으로 켜두고 장시간 사용하거나 핫팩, 온찜질팩을 한 부위에 장시간 올려두는 경우, 난로 등에 발생할 수 있다. 또 최근에는 IT 기기를 많이 사용하면서 노트북을 장시간 무릎 위에 올려놓고 사용하거나 자동차 히터를 켠 상태에서 장시간 운전하는 경우에도 열성홍반이 발생할 수 있어 주의해야 한다.
열성홍반은 초기에는 열에 대한 노출을 피하면 자연스레 사라지지만, 갈색의 색소침착으로 발전할 경우 치료가 까다롭다. 혈관 확장도 마찬가지다. 한 번 늘어난 혈관을 되돌리기는 매우 어렵기 때문이다. 따라서 난로를 사용할 때는 1m 정도 거리를 두고 사용하는 것이 좋고, 핫팩은 장시간 붙이지 않는 것이 좋다. 전기매트를 고온으로 사용하는 것도 피하도록 한다.
Copyright © 헬스조선. 무단전재 및 재배포 금지.