70세까지 운동 한번 안 했다, 30대 몸 돌아간 93세 비밀
■ 추천! 더중플- 불로장생의 꿈: 바이오 혁명
「 " 회춘의 법칙 "
불로장생을 꿈꾸던 진시황은 49세에 죽었다. 그는 생전, 불로초에 집착했다. 하지만 불로는 커녕 장생도 누리지 못했다.
2010년대 들어 항노화 물질에 대한 임상이 폭발적으로 증가했다. 조만간 인류는 ‘노화 방지약’이라는 타이틀을 단 약을 볼 수 있을지 모른다. 현시점에서 가장 선두에 있는 건 ‘메트포르민(metformin)이다.
지금도 당뇨 환자에게 흔히 처방되는 값싼 약이다. 여러 동물 실험에서 수명 연장 효과를 보였다. 인간을 대상으로 한 임상 시험에서도 노화 관련 질병을 늦추는 것으로 나타났다.
메트포르민은 유럽 들판에 자라는 약초 ’프랑스 라일락‘의 성분인 구아니딘을 가공한 약이다. 진시황이 유럽까지 샅샅이 뒤졌다면 이 약초를 찾아내 더 오래 살게 됐을까. 그렇진 않을 것이다. 구아니딘 자체는 독성이 강해 약으로 쓰기 부적합하다. 실험실에서 가공해 탄생한 게 메트포르민이라는 약이다.
메트포르민의 특징은 우리 몸에 원래 내재한 메커니즘을 그대로 베껴 노화를 늦추고 장수로 이끈다는 점이다. 즉 이런 약이 없어도 건강하게 오래 살 방법이 몸 안에 갖춰져 있다는 말이다.
더중앙플러스 ‘불로장생의 꿈: 바이오 혁명(https://www.joongang.co.kr/plus/series/152)’에선 우리 몸에 젊음을 가져다주는 여러 방법을 전한다. 노화가 가속화되는 중년에 오히려 이를 역전할 방법과 노년에 이르러서도 몸에 젊음을 돌이키는 비법을 공개한다. 의외로 간단한 방법들이다. 하느냐, 하지 않느냐는 당신에게 달렸다.
※‘The JoongAng Plus(더중앙플러스)’는 지혜롭고 지적인 독자들을 위해 중앙일보의 역량을 모아 마련한 지식 구독 서비스입니다. 더 자세한 내용은 더중앙플러스 구독 후 보실 수 있습니다.
」
① 폭삭 늙던 중년의 뇌가 젊어진다

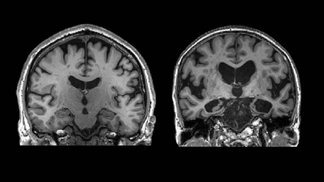
최근 중년의 잠재력에 과학자들이 주목하고 있다. 중년이 뇌 건강의 갈림길이자 전환기라는 사실이 밝혀지면서다. 우리는 일생 똑같은 속도로 늙어간다고 생각하지만, 중년에 접어들면 개인차가 극심해진다. 누군가는 짧은 중년 뒤 바로 노년에 진입하고 노쇠의 징후를 보인다. 하지만 다른 이는 중년 시기에 노화 속도를 최소화하고 활력 넘치는 노년을 즐긴다.
중년에 접어들면 대뇌 백질과 해마의 퇴화가 시작된다. 백질은 우리 뇌의 네트워크를 이뤄 복잡한 작업을 수행하게 해주는 부위다. 해마는 기억, 감정, 학습을 담당하며 우리의 정체성을 이루는 핵심 부위다.
여성은 중년에 폐경이라는 급격한 전환기를 맞이한다. 폐경은 일반적으로 40대 후반에 시작되는데, 해마 부피가 줄고 백질의 부담이 커진다.
하지만 절망할 필요 없다. 뇌의 능력은 전환기인 중년에 이르러 개인차가 증폭된다. 노화의 궤적은 중년을 기점으로 사람마다 확연히 달라진다.
중년의 뇌 건강을 지키는 데 가장 좋은 건 ‘인지 예비능’을 키워놓는 것이다. 익숙한 것 말고 새로운 일을 하고, 신체 활동량을 늘리고, 사회적 관계를 활발히 할수록 인지 예비능이 커진다. 또 하나 추가하자면 반드시 잠을 푹 자야 한다.
유산소 운동의 중요성을 빼놓을 수 없다. 유산소 운동은 중년부터 쪼그라드는 해마나 백질의 부피를 유지하고 기능을 개선하는 데 큰 도움을 준다.
과학은 분명히 중년이 뇌 건강의 위기라는 걸 보여주고 있다. 하지만 동시에 반전의 기회란 것도 알려준다. 중년을 어떻게 보내느냐에 따라 우리는 노화를 앞당길 수도 있고, 지연시킬 수도 있다.
■ 중년의 뇌를 회춘시키는 방법
「 더 자세한 내용을 보시려면 기사 링크를 복사해 주소창에 붙여넣으세요.
폭삭 늙던 뇌가 젊어진다, 40대에 꼭 해야 할 2가지
https://www.joongang.co.kr/article/25255058
」
② ‘30대의 몸’ 지닌 90대

인류의 조상은 생존하기 위해 움직여야 했다. 이젠 몸을 움직이지 않아도 식량을 얻을 수 있는 시대가 됐다. 하지만 인간은 움직이지 않으면 쉽게 늙고 죽어가도록 진화했다.
진화가 만든 패러독스가 현대인에겐 난제다. 먹을 걸 구하기 위해서가 아니라 살기 위해 움직여야 한다. 그걸 지금은 운동이라고 부른다.
인간의 건강은 ‘체력’이라는 한 단어로 치환이 가능하다. 체력은 현대 과학에서 최대산소섭취량, VO₂Max라는 수치로 나타낼 수 있다. 이 수치가 높을수록 건강해지고 수명도 길어진다.
VO₂Max는 건강 연금이다. 미리 저축해 놓으면 편한 노후를 즐길 수 있다. 하지만 바닥을 드러내면 나이 드는 게 비참해진다. VO₂Max를 높이는 가장 좋은 운동법은 무엇일까.
아일랜드계 미국인 리처드 모건은 올해 93세다. 겉보기엔 노쇠하지만 체력은 30대 남성과 비슷하다. 실내 로잉머신 대회에서 같은 연령대 세계 챔피언을 네 번이나 차지했다.
그는 70대 전엔 운동을 해 본 적도 없다고 한다. 73세에 손자를 따라갔다가 운동을 배우게 됐다. 지금은 로잉 머신으로 매일 40분 동안 운동한다. 운동 시간 중 70%는 숨이 차지 않고 대화를 나눌 수 있는 정도로 한다. 20%는 어렵지만 견딜 수 있는 정도, 마지막 10%는 못 버틸 정도로 힘들게 한다. 일주일 이틀 근력 운동을 하고, 고단백질 식단을 유지한다. 그는 이런 생활 패턴을 20년간 꾸준히 지켜왔다.
일반인들이 흔히 하는 착각 중 하나가 숨이 헉헉댈 정도로 달려야 체력이 올라간다는 생각이다. 물론 최대심박수의 90%에 이르는 고강도로 짧은 시간 운동하고 휴식하는 고강도 인터벌 트레이닝(High-Intensity Interval Training)는 매우 좋은 운동이다.
하지만 이를 버티며 할 만한 체력이 없다면 저강도로 오래 운동하는 존 2 트레이닝이 좋다. 자기 심박수의 60~70%를 유지하며 오랜 시간 운동하는 것이다. 뛰든, 자전거를 타든, 로잉 머신을 하든 말이다. 심박수 계산이 어렵다면 정상적인 대화가 가능하고, 입을 다문 채 숨을 쉬어도 힘들지 않는 정도라고 보면 된다.
이런 운동은 우리 몸에 스트레스 반응을 이끈다. 활성산소도 더 많이 생긴다. 하지만 운동이 촉발한 스트레스와 활성산소는 우리 몸에 긍정적으로 작용한다. 여러 연구에서도 적절한 스트레스와 활성산소가 오히려 건강에 이롭고 수명을 늘려주는 것으로 나타난다.
■ 신체 나이 60년 젊게 사는 법
「 더 자세한 내용을 보시려면 기사 링크를 복사해 주소창에 붙여넣으세요.
70세까지 운동 한번 안 했다, 30대 몸 돌아간 93세 비밀
https://www.joongang.co.kr/article/25260075
」
③ 뇌 속 노폐물 콸콸 배출하는 수면법

렘(REMㆍRapid Eye Movement) 수면은 독특한 성격 덕에 다른 수면 주기에 비해 인지도가 높다. 렘 수면에선 뇌파가 깨어 있을 때와 비슷하다. 그래서 생생한 꿈을 꾸게 된다. 또 감정을 처리하고 기억을 형성한다.
그런데 최근 들어 치매 연구자들은 ‘서파(徐波) 수면’이라 불리는 수면 주기에 관심을 더 기울이고 있다. 서파 수면은 렘과 달리 깊은 잠에 빠져 뇌파도 축 늘어진 상태를 말한다.
이때 뇌에선 놀라운 일이 벌어진다. 하수구가 열려 오폐수가 쏟아지듯 뇌 노폐물이 뇌척수액의 흐름을 타고 밖으로 콸콸 배출된다. 평소보다 수십배 많은 찌꺼기가 씻겨나간다.
잠을 절반으로 나눈다면 서파 수면은 전반전에 주로 일어난다. 이때 깊은 잠을 어떻게 자느냐가 매우 중요해진다. 따라서 잠에 빨리, 깊게 빠져드는 게 중요하다.
잠을 설친다면 인지행동 치료를 고려해 볼만 하다. 불면증이 만성이 되기 전에 환자의 머릿속을 맴도는 생각을 쫓아내고, 이를 통해 행동을 바꾸고 나아가 증상을 없애는 치료다.
이 치료를 받은 사람 70% 이상이 수면을 개선하고 40%는 불면증에서 벗어났다는 기록도 있다.
■ 서파수면의 과학
「 더 자세한 내용을 보시려면 기사 링크를 복사해 주소창에 붙여넣으세요.
기억력 평균 3배 늘려준다…치매 막는 ‘뇌 청소’ 수면법
https://www.joongang.co.kr/article/25220203
」
④ 여든에 마흔 살의 뇌를 가진 사람들

여든 살이 돼도 마흔 살 정도의 정신을 유지하는 사람이 있다. 이런 이들을 ‘슈퍼에이저(Super-Ager)’라고 한다. 인구 10명 중 1명의 비율로 나온다.
이들은 마치 치매의 침투를 막는 방어막을 뇌에 두른 듯하다. 뇌 기능 퇴화를 겪지 않을 뿐만 아니라 신체 기능도 더 뛰어나다.
슈퍼에이저와 별개로 뇌에 병리가 쌓여도 또렷한 정신 상태를 유지하는 사람도 있다. 뇌 영상을 찍으면 분명 치매에 접어들어야 하는데 증상이 안 나타난다. 이들 역시 치매에 강한 저항력을 가진 것처럼 보인다.
병리학자들은 이를 ‘인지 예비능(cognitive reserve)’이라는 개념으로 설명한다. 뇌에 나타나는 병적 변화를 더 잘 견디고 기능을 유지하게 해주는 뇌의 ‘예비적인 능력’을 일컫는 말이다. 마치 뇌가 보조 배터리를 지닌 것과 비슷하다.
김건하 이대목동병원 신경과 교수는 인지 예비능을 높이는 방법에 대해 이렇게 설명한다. “고령인데 우수한 기억력을 가진 사람에겐 큰 생활 습관 특징이 세 가지 있었다. 하나는 일단 굉장히 다양한 새로운 것을 많이 시도하는 습관이 있다. 악기를 배운다든가, 외국어를 배운다든가 뇌를 자극하는 많은 활동을 하고 있는 게 첫 번째 특징이다. 두 번째는 확실히 신체 활동량이 그냥 일반 정상 노인하고 비교했을 때도 훨씬 더 높은 것을 알 수 있다. 그리고 세 번째는 사회활동이다.”
스페인에선 64명의 슈퍼에이저와 55명의 일반 노인을 비교하기도 했다. 89가지 특성을 분석해 가장 중요한 11가지를 추렸다. 여기서 나온 특징도 앞서 김건하 교수가 설명한 것들과 일맥상통한다.
최근의 신경과학은 약물의 도움 없이도 뇌를 지킬 수 있는 방법들을 많이 찾아 놨다. 의료적 개입 없이 스스로 건강을 지킬 방법은 여전히 많이 있다.
■ 슈퍼에이저의 비결
「 더 자세한 내용을 보시려면 기사 링크를 복사해 주소창에 붙여넣으세요.
80대에 40대 뇌 가진 사람들…간단한 습관 세 가지의 기적
https://www.joongang.co.kr/article/25210144
」
〈헬스+ 불로장생의 비밀〉 더 많은 건강정보는 더중플에서!
노인 냄새, 그는 절대 안난다…101세 ‘태권 꽃할배’ 비밀 병기
https://www.joongang.co.kr/article/25355145
비아그라가 불로초였다고? ‘수명 40% 연장’ 실험의 비밀
https://www.joongang.co.kr/article/25354563
무정자증에 암·치매도 덮친다…‘Y의 저주’ 걸린 남자 공통점
https://www.joongang.co.kr/article/25352829
‘뇌의 노화’ 4.8년 막아줬다…흔해빠진 이 영양제 뭐길래
https://www.joongang.co.kr/article/25345572
이정봉 기자 mole@joongang.co.kr
Copyright © 중앙일보. 무단전재 및 재배포 금지.
- 이런 집주인, 어디 또 없다…120채 '강남 아파트왕' 정체 | 중앙일보
- 오은영과 달랐다…"애 좌절시켜라" 30년 전문가의 훈육 | 중앙일보
- 룸살롱 접대부에 3억 뜯겼다…'공사' 당한 유부남의 복수 | 중앙일보
- 동료 직원 신체 불법 촬영 혐의…부국제 직원 법정 구속 | 중앙일보
- 차에 12세 아이 둘 태우더니…"가학적·변태적 행위" 40대 충격 | 중앙일보
- 제주 해수욕장에 둥둥…"곰팡인 줄" 휴가객들 경악하게 한 이 것 | 중앙일보
- 고 서희원 묘소 앞 구준엽 모습…보는 사람 가슴도 찢어진다 | 중앙일보
- 소비쿠폰 결제 뒤 '현금 환불'…이런 손님에 소상공인들 운다 | 중앙일보
- 땡볕에 '90도 찜통' 되는 차 내부…이것 뒀다간 '폭탄' 된다 | 중앙일보
- "여성 여러명과 사생아 낳았다"…소림사 주지의 '두 얼굴' 충격 | 중앙일보