매일 ‘분노의 양치질’ 한다면? 치아 이렇게 변합니다
전체 맥락을 이해하기 위해서는 본문 보기를 권장합니다.
20대 여성 A씨는 치아가 시려 치과에 갔다가 평소 양치질을 좌우로 세게 하냐는 질문을 받았다.
치아와 잇몸의 경계 부분이 심하게 패였기 때문이다.
A씨는 이가 시리면 충치가 생겼다고 생각해 더 세게 양치를 하는 일명 '분노의 양치질'을 해왔는데, 오히려 치아 건강을 악화시키고 있던 것이다.
◇강한 가로 양치질, 치경부마모증 유발해치경부마모증이란 치아와 잇몸이 만나는 경계 부분인 치아의 목 부분, 즉 치경부가 마모돼 패인 것을 말한다.
이 글자크기로 변경됩니다.
(예시) 가장 빠른 뉴스가 있고 다양한 정보, 쌍방향 소통이 숨쉬는 다음뉴스를 만나보세요. 다음뉴스는 국내외 주요이슈와 실시간 속보, 문화생활 및 다양한 분야의 뉴스를 입체적으로 전달하고 있습니다.

◇강한 가로 양치질, 치경부마모증 유발해
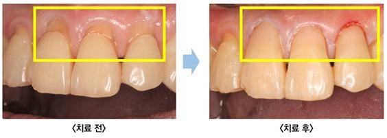
치경부마모증이란 치아와 잇몸이 만나는 경계 부분인 치아의 목 부분, 즉 치경부가 마모돼 패인 것을 말한다. 특히 ‘분노의 양치질’처럼 강한 힘을 주면서 좌우로 왕복 운동을 크게 하며 칫솔질을 하는 사람에게서 흔히 나타난다. 이런 양치질은 치경부를 빨리 마모시킬 뿐만 아니라, 정작 치아와 잇몸 사이, 치아와 치아 사이는 잘 닦이지도 않는다. 치아를 거울로 비춰보았을 때 치아 뿌리 부분이 마치 도끼로 나무를 찍은 자국처럼 패여 있으면 치경부마모증일 가능성이 높다.
치경부마모증이 생기면 찬물이나 찬바람에 치아가 닿을 때 시린 증상이 나타난다. 상아질까지 마모되기 시작하면 마모 속도가 7배로 빨라지고, 치아 내부의 신경조직과 가까워지면서 치아가 더욱 시리게 된다. 치경부마모증은 잘못된 양치 습관 외에도 ▲이를 악무는 습관이 있거나 ▲잘 때 이를 갈거나 ▲질기고 딱딱한 음식을 자주 먹는 사람에게도 많이 발생한다. 초기엔 패인 부분을 레진으로 메우는 치료를 하지만 치아가 많이 닳아 신경이 노출되면 신경치료와 보철치료가 필요할 수 있다.

따라서 양치질을 할 때 좌우로 세게 닦는 것은 금물이다. 적은 힘으로도 올바르게 이를 닦으면 잇몸과 구강에 자극을 줄이면서 치아를 깨끗이 닦아낼 수 있다. 칫솔질은 수평으로 치아 표면을 문지르며 닦는 느낌보다는, 수직으로 사이사이 홈에 끼어있는 이물질을 빼낸다는 느낌으로 닦는 게 좋다. 즉, 윗니는 위에서 아래로, 아랫니는 아래에서 위로 쓸 듯이 닦고 앞니 안쪽은 칫솔모를 세워 닦아주면 된다. 이때 칫솔은 끝이 부드럽고 크기가 크지 않은 미세모를 사용하는 게 좋다. 또 칫솔로는 이물질을 다 제거하지 못하기 때문에 치실이나 치간 칫솔을 사용하는 것을 추천한다.
한편, 혀도 지나치게 세게 닦는 사람들이 있는데, 좋지 않다. 치과 전문의들은 설유두가 분포한 혀 가운데는 약간 흰 게 정상인데, 이마저 백태로 착각해 칫솔이나 혀 클리너로 심하게 긁어내면 상처가 날 수 있다고 말한다. 그럼 삼출액(진물)이 나오고, 침이 오염돼 오히려 입 냄새가 심해질 수 있다. 혀를 닦을 땐 패스트푸드점에서 쓰는 종이 숟가락이 혀를 스친다는 느낌으로 부드럽게 닦아주면 충분하다. 양치 마무리 단계에서 혀 안쪽에서 바깥 방향으로 3~4회 쓸어내리면 된다.
Copyright © 헬스조선. 무단전재 및 재배포 금지.
- 임플란트 수술, 정말 계절 중요할까?… 오해와 진실4
- '이런 치약' 쓰면 이 시림 심해질 수도
- 잠드는 시각 들쑥날쑥인 사람, 심혈관 조심해라
- ‘12kg 감량’ 다영, ‘이것’으로 유지 중… “하루 7분이면 충분”
- 후각 저하·변비 왔을 때 빨리 병원 찾아라… 파킨슨병 신호
- 언제는 많이 마시라며… ‘이것’ 과다 섭취, 의식 저하 유발
- “수영·달리기 아니다”… 수명 10년 늘린 ‘이 운동’, 정체는?
- “뇌 노폐물 빠져 나간다”… 치매 예방하려면 ‘이 자세’로 자라
- 달걀 ‘여기’에 두면 세균 번식 위험
- 내가 그동안 피곤했던 이유… ‘체력 갉아먹는’ 습관 4가지