기생충 수백 마리… 덜 익힌 ‘이것’ 먹으면 생기는 일
전체 맥락을 이해하기 위해서는 본문 보기를 권장합니다.
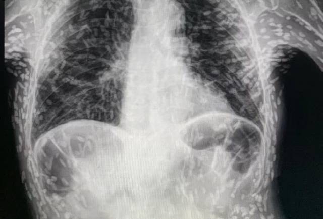
지속적인 기침과 복통으로 병원을 찾은 한 브라질 환자의 몸속에서 수백 마리의 기생충이 발견됐다.
최근 영국 일간지 데일리메일은 브라질의 한 의사가 자신의 소셜 미디어에 수백 개의 점 형상을 이루고 있는 엑스레이 사진과 관련된 소식을 보도했다.
육류를 덜 익히면 기생충이 사람에게 들어와 소장에 기생한다.
한편 해당 사진을 공개한 의료진은 해당 환자가 특별한 치료를 받지는 않았다고 밝혔다.
이 글자크기로 변경됩니다.
(예시) 가장 빠른 뉴스가 있고 다양한 정보, 쌍방향 소통이 숨쉬는 다음뉴스를 만나보세요. 다음뉴스는 국내외 주요이슈와 실시간 속보, 문화생활 및 다양한 분야의 뉴스를 입체적으로 전달하고 있습니다.

유구낭미충증은 돼지고기나 소고기 등 육류를 제대로 익혀 먹지 않았을 때 사람의 몸속에 침투하는 유구조충의 유충인 유구낭미충에 의해 발현된다. 육류를 덜 익히면 기생충이 사람에게 들어와 소장에 기생한다. 기생충 알이 소장 벽을 뚫고 혈액으로 침입, 뇌의 중추신경계까지 감염시킨다. 이로 인해 두통, 복통, 심한 기침, 발작, 시력 저하 등 문제를 일으킨다.
세계보건기구(WHO)는 유충 낭종으로 인해 뇌에 생기는 낭종이 뇌전증 유발의 주원인이 된다고 설명한다. 매년 250만명이 유구조충에 감염되고 있으며, 대부분의 경우가 아시아, 남미, 동유럽 지역에 몰려 있다.
해당 유충에 감염되지 않으려면 소고기는 중심 온도가 66도 이상, 돼지고기는 77도 이상에서 충분히 익혀 먹여야 한다. 속까지 완전히 익혀 기생충이 완전히 죽도록 하는 게 안전하다. 1년에 한 번씩 알벤다졸이나 플루벤다졸 성분 구충제를 복용하는 것도 좋다. 알벤다졸·플루벤다졸은 몸속 기생충이 포도당과 같은 체내 영양소를 흡수하는 것을 막아 사멸시킨다. 공복에 먹으면 기생충 사멸 효과가 높다.
한편 해당 사진을 공개한 의료진은 해당 환자가 특별한 치료를 받지는 않았다고 밝혔다. 의료진은 “머리, 척수, 눈에 이상이 생긴 것이 아니라면 치료를 받을 필요가 없다”며 “해당 물체들은 석회화되었기 때문에 생존 가능한 유충이 아니다. 불편함을 느끼지만 않는다면, 특별한 조치가 필요하지는 않다”고 밝혔다. 다만 남아있는 낭종이 뇌나 눈에서 발생할 경우 문제가 될 수 있으므로, 환자는 뇌의 낭종 위치를 확인하기 위해 MRI 검사를 기다리고 있다.
Copyright © 헬스조선. 무단전재 및 재배포 금지.
- 제철 맞은 방어, 맛있지만 기생충 걱정이 된다면…
- 생간 너무 즐기다간… 알아둬야 할 기생충 감염 의심 증상
- “구충제는 기생충 치료 약...잘못된 정보에 현혹되지 마세요” - 당신의 건강가이드 헬스조선
- 유기농 채소 즐기거나 반려동물 키우면, 年 1회 구충제 필수 - 당신의 건강가이드 헬스조선
- 구충제로 쓰는 타르… 폐포 손상시키고 암세포 키워 - 당신의 건강가이드 헬스조선
- ‘16kg 감량’ 김윤지, “야식 먹고 ‘이것’ 하니 부기 빠져”… 방법은?
- 김석훈, “동굴 촬영 중 원인 모를 두통 겪어”… 이유 대체 뭐였을까?
- “다행히 안구 적출 면했다”… 눈에 생긴 ‘암’ 잡아낸 증상은?
- ‘스트레스가 없는 스트레스’도 우울증을 부른다
- “흔한 백내장 수술 받았다가 시각장애 판정” 대체 무슨 일?