검게 변한 치아, 충치 아닌 다른 원인은…
전체 맥락을 이해하기 위해서는 본문 보기를 권장합니다.
치아 색은 치아를 구성하는 '법랑질'과 '상아질'의 두께에 따라 달라진다.
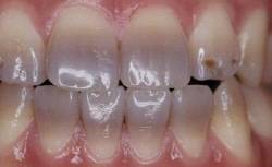
치아가 흰색, 노란색도 아닌 검은색을 띠는 경우도 있다.
넘어지거나 단단한 물체에 부딪혀 치아 속 혈관이 터지거나 신경·세포가 손상되면 치아가 검은색으로 변한다.
테트라사이클린 계열 항생제, 클로르헥시딘 치태 억제제 등을 장기간 사용했을 때 치아 변색 등과 같은 부작용이 확인되곤 한다.
이 글자크기로 변경됩니다.
(예시) 가장 빠른 뉴스가 있고 다양한 정보, 쌍방향 소통이 숨쉬는 다음뉴스를 만나보세요. 다음뉴스는 국내외 주요이슈와 실시간 속보, 문화생활 및 다양한 분야의 뉴스를 입체적으로 전달하고 있습니다.

치아가 흰색, 노란색도 아닌 검은색을 띠는 경우도 있다. 충치가 생겼을 때가 대표적이다. 충치가 발생하면 초기에는 하얀 반점이 나타나며, 점차 잇몸이 부어오르고 염증이 동반된다. 검은 반점과 함께 날카로운 통증이 느껴진다면 즉시 충치 치료를 받는 것이 좋다.
치아가 검게 변하는 데는 충치 외에도 여러 원인이 있다. 앞니 또는 특정 치아만 검게 변했다면 물리적 충격이 원인일 수 있다. 넘어지거나 단단한 물체에 부딪혀 치아 속 혈관이 터지거나 신경·세포가 손상되면 치아가 검은색으로 변한다. 이 경우 시간이 지나면 색이 정상적으로 돌아올 수 있다. 오랜 시간 지속되면 신경치료를 고려해야 한다. 검게 죽은 신경조직을 제거하는 것으로, 치아를 하얗게 만드는 약제를 사용하기도 한다.
약 복용 후 치아가 검게 변하는 경우도 있다. 테트라사이클린 계열 항생제, 클로르헥시딘 치태 억제제 등을 장기간 사용했을 때 치아 변색 등과 같은 부작용이 확인되곤 한다. 테트라사이클린 계열 항생제는 여드름이나 눈병 등을 치료할 때 사용되는 항생제로, 치아에 검은 줄이 생기거나 치아가 갈색을 띨 수 있다.
이외에도 평소 즐겨먹는 식품이 원인이 될 수 있다. 커피, 콜라 등 색소가 들어 있는 음료를 오랜 시간 자주 마시면 치아가 검은색까진 아니어도 짙은 누런색, 갈색으로 착색될 수 있다. 흡연자의 경우 담배를 오래 피우면 니코틴이 치아를 착색시켜 치아가 짙은 갈색으로 변하기도 한다.
Copyright © 헬스조선. 무단전재 및 재배포 금지.
- "미세침 패치, 기미 없애는 피부 미백에 효과" - 당신의 건강가이드 헬스조선
- 노인성 황니 왜 미백 효과 못보나 했더니 - 당신의 건강가이드 헬스조선
- 잠 도무지 안 올 때 빠르게 잠드는 방법 5
- “비만약 아냐” 53kg 뺀 40대 女… 주 5회 ‘이것’ 했다
- “성관계 후 심장 혈관 찢어졌다”… 40대 女, 대체 무슨 일?
- 아기들 ‘이것’ 입에 넣다가… 뇌에 문제 생길 수도
- 체중 ‘53kg→29kg’ 30대 여성… 알고 보니 ‘이 병’이었다
- 우울증인 줄 알았는데… 피로·무기력 시달리던 40대 男, ‘이것’ 진단
- 뚱뚱한 사람이 ‘비만약’ 사용했더니… ‘이런 효과’까지
- 식후에 ‘이 디저트’ 먹으면 혈당 급등… 아이스크림보다 위험한 건?