타석증의 올바른 치료 [천병준원장의 두경부 질환 이야기]
전체 맥락을 이해하기 위해서는 본문 보기를 권장합니다.
음식을 먹을 때 턱밑이 부어오르거나 혀 밑이 부어오르고 통증을 느낀다면 타석증을 의심해야 합니다.
타석증이란 침샘에서 침이 분비되어 나오는 침샘관에 돌이 생기는 질환입니다.
대부분의 타석증은 턱밑샘(80%)에 생기고 귀밑샘(19%)이나 다른 침샘(1-2%)에 생기는 경우는 비교적 드뭅니다.
대개 식사 후에 턱밑이 부어오르면서 통증이 반복적으로 생기고 심한 경우에는 침샘관으로 농이 배출되는 경우도 있습니다.
이 글자크기로 변경됩니다.
(예시) 가장 빠른 뉴스가 있고 다양한 정보, 쌍방향 소통이 숨쉬는 다음뉴스를 만나보세요. 다음뉴스는 국내외 주요이슈와 실시간 속보, 문화생활 및 다양한 분야의 뉴스를 입체적으로 전달하고 있습니다.
음식을 먹을 때 턱밑이 부어오르거나 혀 밑이 부어오르고 통증을 느낀다면 타석증을 의심해야 합니다. 타석증이란 침샘에서 침이 분비되어 나오는 침샘관에 돌이 생기는 질환입니다. 침이 나와야 하는 길목을 돌이 막고 있기 때문에 침샘내에 침이 정체되어 분비가 안되어 침샘 부위가 붓고 염증이 생깁니다. 대개 침샘염을 유발하는 가장 흔한 원인으로 타석증을 들 수 있습니다.
정확한 원인은 알 수 없지만 침의 분비가 정체되고, 침샘관 내의 상피의 염증 등으로 인해 침 성분에 포함되어 있는 칼슘염의 침착으로 발생합니다. 대부분의 타석증은 턱밑샘(80%)에 생기고 귀밑샘(19%)이나 다른 침샘(1-2%)에 생기는 경우는 비교적 드뭅니다.
대개 식사 후에 턱밑이 부어오르면서 통증이 반복적으로 생기고 심한 경우에는 침샘관으로 농이 배출되는 경우도 있습니다. 이러한 반복되는 침샘염으로 침샘이 위축되고 침샘관이 협착을 초래하여 만성 침샘염을 유발하기도 합니다.

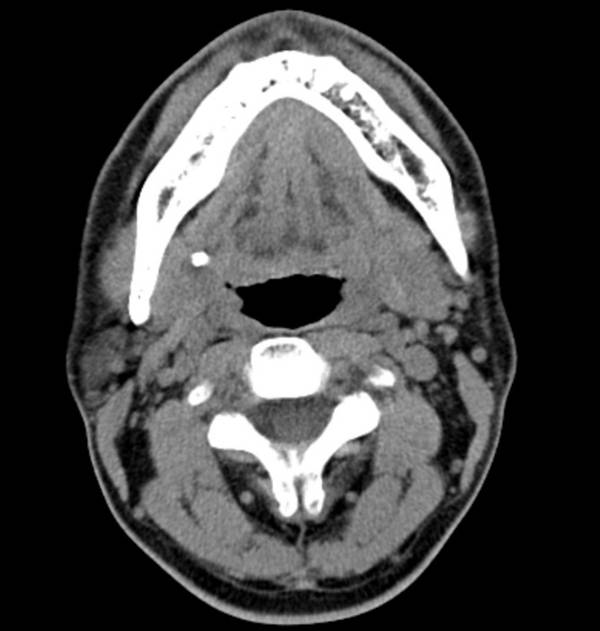
▲턱밑샘 타석증 CT 소견

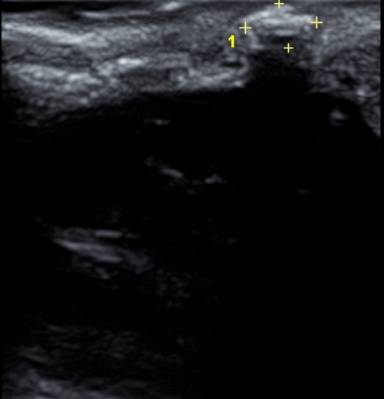
▲타석증의 초음파 소견
/기고자: 땡큐서울이비인후과의원 천병준 원장
Copyright © 헬스조선. 무단전재 및 재배포 금지.
- 병원에서 염증 수치가 높다며 항생제를 주는데… 염증 수치가 뭐죠? - 당신의 건강가이드 헬스조
- 침을 만드는 침샘에도 암이 생깁니다 - 당신의 건강가이드 헬스조선
- 눈꺼풀염증 카타르 각막궤양 - 당신의 건강가이드 헬스조선
- 구강암, 조기 진단이 어려운 이유 - 당신의 건강가이드 헬스조선
- 구강 건강 위한 사랑니 발치, 정확한 진단으로 안전하게! - 당신의 건강가이드 헬스조선
- 내 엉덩이가 기억을 잃으면 생기는 ‘무서운 일’
- “단백질 보충에 최고” 김민경, ‘최강록 레시피’ 추천… 라면에 뭘 넣은 거야?
- 연예인 자녀들 쓴다는 ‘두상 교정 헬멧’… 우리 애도 맞춰야 하나?
- 국내 발생 증가하는 남성 유방암… 생존율·치료 격차 규명
- 동탄제일병원 자궁경부무력증센터, 고위험임신 연구 성과 국제학술지 게재