눈에 튄 '손소독제' 방치했다가.. 각막혼탁, 시력 손상까지
전체 맥락을 이해하기 위해서는 본문 보기를 권장합니다.
눈에 입는 화상인 '각막화상'은 주로 일터에서 사고로 발생하곤 하지만, 일상생활에서도 각막화상을 입을 수 있다.
이외에도 각막화상은 생활 속에서 입을 수 있는 청소 시 사용하는 락스나 요리할 때 사용하는 뜨거운 기름이 눈에 튀면 발생할 수 있어 평상시에도 주의가 필요하다.
손소독제로 손을 소독한 직후에 콘택트렌즈를 착용하면, 각막화상까지는 아니더라도 눈시림 등 증상을 유발할 수 있다.
이 글자크기로 변경됩니다.
(예시) 가장 빠른 뉴스가 있고 다양한 정보, 쌍방향 소통이 숨쉬는 다음뉴스를 만나보세요. 다음뉴스는 국내외 주요이슈와 실시간 속보, 문화생활 및 다양한 분야의 뉴스를 입체적으로 전달하고 있습니다.

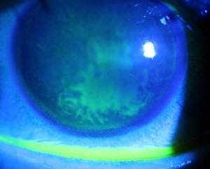
눈에 입는 화상인 '각막화상'은 주로 일터에서 사고로 발생하곤 하지만, 일상생활에서도 각막화상을 입을 수 있다. 특히 최근에 흔히 볼 수 있는 손소독제의 오용이나 추운 겨울 찾게 되는 고온의 찜질방에서 오래 머물 경우 주의가 필요하다.
각막화상이란 눈의 가장 앞에 있는 각막 상피세포가 벗겨지면서 이물감, 통증, 충혈, 눈물, 눈부심 등의 증상을 나타내는 질환이다. 종류는 고온 노출에 의한 열화상과 화학물질 노출에 의한 화학적 화상으로 구분할 수 있다. 가벼운 화상이라면 각막상피가 천천히 재생되지만, 더 깊숙한 '기질층'까지 손상되면 각막혼탁 등 후유증이 남는다. 가벼운 화상이라도 치료를 미루면 세균감염에 의한 각막염, 각막궤양으로 이어져 시력저하를 초래할 수 있다.
지난해 엘리베이터 있던 손소독제로 5세 아이가 각막에 화학적 화상을 입으면서 손소독제가 눈에 미치는 위험성이 널리 알려졌다. 이외에도 손소독제의 오용으로 인해 각막에 손상을 입은 사례가 늘고 이다. 콘택트렌즈 착용 시 손소독제로 렌즈를 닦고 착용해 각막화상을 입은 경우도 있으며, 눈에 이물질이 들어간 것 같아 우연히 화장실에 있는 손소독제로 눈을 닦았다가 계속 눈물이 나서 각막화상으로 진단받은 환자도 있다.
손소독제의 알코올 농도는 60~80%로, 짧은 시간 각막에 노출 되도 충분한 손상이 가능성이 있다. 각막 손상을 입었다면 되도록 빨리 식염수로 눈을 세척하고 병원을 찾아야 한다. 식염수가 없다면 생수나 흐르는 수돗물을 사용한다. 사용한 손소독제의 이름, 산성, 알칼리성 유무를 확인하면 더욱 효과적인 치료가 가능하다. 병원에 가는 동안 통증, 눈물 등 증상이 지속되면 인공눈물을 투약해 일시적으로 증상을 완화할 수 있다. 오래된 점안약은 2차 감염을 부를 수 있어 사용하지 않는다.
찜질방에서도 각막화상을 주의해야 한다. 65도 이상 고온의 찜질방에서 눈을 다 감지 않은 채 잠들었다가 화상을 입는 사례가 종종 있다. 선천적으로 불완전 눈깜빡임 증상을 가지고 있는 경우나 쌍꺼풀 수술이나 안검하수 수술 후 토안으로 눈이 다 감기지 않거나 실눈을 뜨고 잠드는 경우다. 찜질방에서는 되도록 10~20분 정도만 머무르며, 특히 토안이 있다면 수면은 자제한다. 찜질방에서 오래 머문 후 눈에 이물감, 눈시림, 따가움 등이 느껴진다면 바로 병원을 찾아야 한다.
이외에도 각막화상은 생활 속에서 입을 수 있는 청소 시 사용하는 락스나 요리할 때 사용하는 뜨거운 기름이 눈에 튀면 발생할 수 있어 평상시에도 주의가 필요하다. 손소독제로 손을 소독한 직후에 콘택트렌즈를 착용하면, 각막화상까지는 아니더라도 눈시림 등 증상을 유발할 수 있다. 손을 충분히 건조해 알코올 성분이 날아간 후에 렌즈를 착용해야 한다.
김안과병원 각막센터 김국영 전문의는 “최근 손소독제 사용이 증가하면서 각막화상 사례가 늘고 있지만, 본인도 인지하지 못하는 경우가 많다”며 “각막은 매우 얇아 외부자극에 손상되기 쉬우므로 이물감, 눈부심, 눈물흘림 등 증상이 나타난다면 안과를 찾아 적절한 치료를 받아야 한다”고 말했다.
- Copyrights 헬스조선 & HEALTHCHOSUN.COM, 무단 전재 및 재배포 금지 -
Copyright © 헬스조선. 무단전재 및 재배포 금지.
- 감염병 전문의들, 솔선수범해 손씻기 독려 - 당신의 건강가이드 헬스조선
- 감염병 막는 손씻기 방법 - 당신의 건강가이드 헬스조선
- 독감 예방, 효과적인 방법은 손 씻기와 '이것' - 당신의 건강가이드 헬스조선
- 인체에 위험한 살균·소독제, '손소독제'인 것처럼 판매 - 당신의 건강가이드 헬스조선
- 손 소독제 효과 제대로 누리려면‥ - 당신의 건강가이드 헬스조선
- 바이러스 예방, 손 소독제 vs 물로 손 씻기… 승자는? - 당신의 건강가이드 헬스조선
- '손 씻기'만 잘해도 독감 등 호흡기 질환 21% 줄여 - 당신의 건강가이드 헬스조선
- 세계 손 씻기의 날, '잘' 씻는 방법 따로 있다? - 당신의 건강가이드 헬스조선
- “주방 찬장에 있는 ‘이것’ 당장 치워라”… 의사 경고, 대체 뭐야?
- “제미나이가 내 아들을 죽였다” 소송 제기… 무슨 사연?