찢어진 발목 인대 그냥 두면 '관절염'
━
[더,오래] 유재욱의 심야병원(19)
얼마 전 TV에 개그맨 지상렬 씨가 나와 “저도 이제 오순(五旬)이에요” 하는데 빵 터졌다. 역시 언어의 마술사다. ‘안습’이라는 국어대사전에 새로 등재된 신조어도 지상렬 씨가 만들어낸 것이라고 한다.
그가 나랑 동갑이니까 이제 나도 오순(五旬)이다. 벗들과 한잔하면서 김광석의 ‘서른 즈음에’를 부르던 때가 엊그제인데, 어느덧 세월이 흘러 이제는 책임져야 할 사람과 일들이 너무 많아져 버렸다.
물론 과거의 추억 속에 사로잡혀 있기보다는 현재를 충실하게 살아가는 것이 정답이겠지만, 오늘 같은 따뜻한 봄날에는 그래도 한 번쯤은 모든 걱정을 내려놓고 김광석의 ‘서른 즈음에’를 목 놓아 부르며 추억에 잠겨보고 싶다.
오랫동안 알고 지냈던 형이 오랜만에 병원을 방문했다. 그는 창업컬설팅 전문가로 전국을 누비면서 강연을 하고 다닌다. 나에게는 항상 진취적인 영감을 주는 고마운 형이다.
내가 예전부터 발목이 안 좋았잖아. 좀 쉬어주면 될 텐데, 요즘 강의가 많아서 계속 서 있어서 그런지 발목이 다시 아프고 무릎까지 조금 아프려고 그러네.
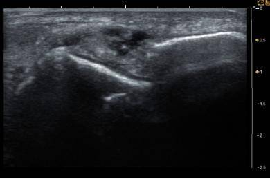
![발목인대손상 초음파소견. [사진 유재욱]](https://img3.daumcdn.net/thumb/R658x0.q70/?fname=https://t1.daumcdn.net/news/201806/21/joongang/20180621172508470niss.jpg)
"발목인대가 다쳐있는데다 쉬어줘야 하는데 계속 무리해서 써서 그래요. 좀 어떻게 변했는지 초음파로 한번 봅시다. 어휴, 이것봐. 발목인대가 파열되고 염증이 생겼잖아. 이러면 발목이 아플 뿐만 아니라, 발목의 안정성이 떨어져서 발목이 흔들리게 되거든. 이렇게 발목 불안정성이 계속되면 나중에는 발목관절까지도 상할 수가 있어요. 발목관절까지 안 좋아지면 수술을 해야 할 정도로 진행할 수도 있으니 지금 정신 차리고 관리를 잘해야 해요."
"강의하다 보면 긴장해서 그때는 안 아프거든. 그런데 조금만 무리하면 끝나고 나서 발목이 아프단 말이야. 사실 일을 안 하면 관리를 할 수 있을 텐데. 말이 쉽지 너나 나나 일을 안 하고 살 수는 없으니 어쩌겠어."
"그래도 너무 무리하면 안 돼요. 치료해드릴 테니 당분간 굉장히 조심해야 해요. 이런 문제는 의사가 해주는 것이 30%, 본인이 노력해야 하는 게 70%라니까요. 다른 궁금한 것은 없으세요?"
━
보조기 2~3주 착용후 재활치료
많지~ 그럼 지금부터 한 가지씩 물어볼게. 발목이 좋아지기 위해서 내가 뭘 해야 하지?
"뭘 하려고 들지 말고 뭘 안 해야 나아요. 지금은 뭘 한다고 해서 좋아질 것은 없어요. 오히려 발목을 고정해 쉬게 만들어야 해요. 먼저 보조기를 좀 차고 다니세요. 부기가 가라앉고 염증이 줄어들 때까지는 일단 발목을 고정하고 안정을 취해야 해요.한 2~3주 정도 차면 부기가 가라앉고 통증이 줄어들면 그때 재활치료를 하면 돼요.
그리고 강의를 할 때 가능하면 30분에 1분씩이라도 잠시 앉을 수 있으면 좋겠어요. 강의 중간중간 조금만 휴식시간이 있어도 증상이 좋아지거든요. 안 아픈 다리에 체중을 싣고 서 있는 것도 방법이에요. 하지만 한 자세로 가만히 있으면 반대편 발목과 무릎에도 무리가 가니까. 한 자세로 있지 말고 계속 몸을 움직이면서 강의하세요."
내가 피해야 하는 운동이 있나?
"일단 심하게 뛰는 운동은 피하는 게 좋아요. 특히 농구처럼 방향전환을 많이 해야 하는 운동은 재발의 위험성이 있어요. 골프 칠 때 왼쪽 발목이 축이 되기 때문에 왼쪽 발목이 문제인 경우에는 피하는 것이 좋아요. 수영도 오리발을 끼고 수영하는 것은 발목에 무리가 가니까 조심하고요."
![자전거나 피트니스처럼 발목에 무리가 가지 않는 운동을 하는 것이 좋다. [사진 뉴스1]](https://img4.daumcdn.net/thumb/R658x0.q70/?fname=https://t1.daumcdn.net/news/201806/21/joongang/20180621172508899egld.jpg)
"일단 발목이 아프지 않은 한도에서 천천히 걷는 것이 좋고요. 만약에 걷는데도 발목이 아프다면 30분씩 나눠 걸어보세요. 그럼 아마도 괜찮을 거예요. 자전거 타는 것은 발목과 상관없으니 타도 되고, 피트니스클럽에서 운동하는 것도 큰 문제는 없어요. 운동을 선택하는 것은 발목의 증상을 관찰하면 쉬워요. 운동을 멈추고 나서도 30분 이상 불편감이 남아 있다면 그 운동은 무리가 가는 것으로 생각하고 운동량을 줄이는 것이 좋아요."
━
족욕하면서 종아리까지 마사지
혹시 집에서 발목이 좋아지는 방법은 없어?
![저녁마다 족욕을 하면 혈액순환이 축진되어 발목 통증 치유에 도움이 된다. [중앙포토]](https://img4.daumcdn.net/thumb/R658x0.q70/?fname=https://t1.daumcdn.net/news/201806/21/joongang/20180621172509075bmdj.jpg)
"저녁마다 족욕을 해보세요. 혈액순환이 촉진돼서 치유에 도움이 될 거예요. 족욕을 할 때 그냥 담그고 있지만 말고 발과 발목 주변을 잘 마사지하세요. 특히 외측 복숭아뼈 위쪽 힘줄과 근육을 종아리까지 풀어주는 것이 중요해요. 이 근육의 이름이 비골근(腓骨肌)이라고 하는데, 발목인대가 다치면 이 근육이 대신 일을 해주느라 무리가 많이 가거든요. 그쪽을 잘 풀어주시면 좀 더 편해질 거에요."
신발은 뭘 신어야 하지?
"가장 좋은 것은 발과 발목을 잘 보호하는 신발이에요. 운동화 중에서도 발목이 높은 농구화도 좋고, 트레킹화처럼 발목을 잡아주는 신발도 좋아요. 피해야 할 신발은 하이힐인데 형은 신을 일이 없을 것이고, 발 밑창이 둥그런 기능성 신발도 발목이 불안정하기 때문에 피하는 것이 좋아요. 슬리퍼나 밑창이 얇은 로퍼나 실내화 같은 것도 발목에 충격을 주기 때문에 피하는 것이 좋고요."
약은 안 먹어도 돼?
"이런 증상에 쓰는 약은 대부분 진통소염제인데, 증상은 좋아지지만 손상된 인대가 낫는 것은 아니거든요. 오히려 약을 먹으면 안 아프니까 더 무리하게 돼서 나중에 더 안 좋을 수도 있으니 증상이 심하지 않으면 일단 지켜보자고요. 어쨌든 발목인대손상은 워낙 흔해서 별거 아니겠지 하고 무시하고 지나가는 경우가 많은데, 가볍게 생각하다가 큰코다치는 경우가 있기 때문에 조심해야 해요. 그럼 이렇게 지내보고 불편하면 다시 연락주세요."
유재욱 재활의학과 의사 artsmed@naver.com

Copyright © 중앙일보. 무단전재 및 재배포 금지.