육안 의존하는 국가 구강검진 '조기발견 의지 있나'

10명 중 7명이 걸려있는 치아우식증. 그러나 유명무실한 국가검진으로 효과적인 조기발견이 안된다는 지적이 나오고 있다. 구강검진 수검률은 2000년에 34.5%에서 2010년 20%대로 낮아졌다. 또 이 같은 수치는 일반검진 수검률과 비교했을 때 절반 수준에 그치는 것으로 나타났다. 전문가들은 국민 구강건강을 위해 도입된 구강검진제도가 시행 10년이 넘도록 자리 잡지 못한 채 겉돌고 있는 원인으로 현실성 없는 검진방법을 꼽았다.
현재 국내 영유아 건강검진과 초·중·고교에서 실시하는 학생검진 그리고 40세와 66세 두 차례의 생애전환기 건강검진을 통해 무료로 구강검진를 받을 수 있다. 전 생애에 걸쳐 구강검진을 받을 수 있는 셈인데, 만족도는 높지 않다. 한 조사에 의하면 좋지 않는 구강상태로 삶의 질 저하를 경험한다고 답한 국민의 비율이 독일과 캐나다에 비해 월등히 높았다.
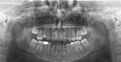
치과계는 수검자의 만족도를 높이고 낮은 수검률 문제를 근본적으로 해결하려면 현재 시행 중인 국가 구강검진 항목에 파노라마 방사선 촬영이 추가돼야 한다고 주장한다. 현재 구강검진에는 치과의사가 맨 눈으로 수검자의 치아 상태를 관찰하는 시진(視診)이 전부라 질병의 조기발견 능력이 떨어질 수밖에 없다는 것이다. 직장인 김모씨는 “직장인건강검진의 일환으로 치과병원을 가도 충치 몇 개 발견하는 게 전부라 매번 가야한다는 필요성을 느끼지 못한다”고 말했다. 현홍근 서울대치과병원 소아치과 교수는 “진료실에서 파노라마 촬영이 기본적으로 이뤄진다. 가장 일반적인 검사방법이 국가 구강검진에는 빠져있어 치아우식증, 치주병, 치아손실, 구강암, 물혹 등을 발견하기 어렵다”고 말했다.
치과에서 사용 중인 파노라마 방사선기기는 1차 개원병원에 98% 보급돼 있을 만큼 진료를 위해서는 기본적으로 행해지는 검사방법이다.
그러나 국가 구강검진에는 시진만 하도록 돼있어 심한 충치를 발견하는 데 그친다는 지적이 나온다.
허민석 서울대치과병원 영상치의학과 교수는 “눈으로 봐서 보이는 질환과 파노라마방사선촬영을 통해 보이는 질환의 수 차이가 크다. 치아와 치아가 맞닿은 부위에 발생하는 인접면 치아우식증은 파노라마방사선촬영이 아니라면 발견하기 어렵다”고 말했다. 허 교수는 “육안으로는 건강한 치아상태를 보이신 어르신이 어느 날 치아가 뽑혀왔다”며 “겉으로는 멀쩡해보여도 속으로는 잇몸뼈가 녹고 있었던 것이다. 노인에서 흔한 증상이지만 이는 파노라마 촬영이 아니라면 알기 어렵다”고 지적했다.
치과계는 파노라마엑스레이 촬영을 국가 구강검진 안에 포함시켜 줄 것을 보건당국에 요구하고 있다. 하지만 파노라마 촬영에 따른 방사선피폭을 우려하고 있다.
현홍근 교수는 “파노라마 촬영으로 피폭되는 방사선량은 3∼24 나노시버트에 불과하다. 이는 흉부엑스레이 촬영과 견줘 상당히 낮은 수치지만 이를 통해 확인할 수 있는 치주질환의 수가 많다”며 “매복치, 과잉치를 앓는 소아환자의 수를 감안한다면 예방이 가능한 효과적인 검진방법의 도입이 절실하다”고 반박했다.
또한 이삼선 서울대치과병원 영상치의학 교수는 “1000명 중 1명 있을까 말까하는 결핵을 알아보기 위해 때마다 흉부 엑스레이 촬영을 하는데 이에 반해 국민 10명 중 7∼8명이 치아우식증을 앓고 있음에도 이를 제대로 평가할 검진방법을 제공하지 않고 시진만 하게 하는 건 논리상 맞지 않다”고 지적했다. 김단비 기자
GoodNews paper ⓒ 국민일보(www.kmib.co.kr), 무단전재 및 재배포금지
[뉴스 미란다 원칙] 취재원과 독자에게는 국민일보에 자유로이 접근할 권리와 반론·정정·추후 보도를 청구할 권리가 있습니다. 고충처리인(gochung@kmib.co.kr)/전화:02-781-9711
Copyright © 국민일보. 무단전재 및 재배포 금지.
- "밀양 성폭행범 감싼 여경 파면해라" 시그널로 의령경찰서 항의 쇄도
- [영상] 구걸하다 아우디 타고 퇴근한 노숙자 "딱 걸렸네"
- '너 성매매했다며 실망이야' 댓글테러당한 연예인 SNS
- [영상] 아이가 대형 트럭 밑으로 끌려갔다..아찔한 순간
- [영상] 야릇한 남자의 손길, 과감한 애정 표현에 '주먹 불끈'
- 셀린 송 감독 “‘기생충’ 덕분에 한국적 영화 전세계에 받아들여져”
- “태아 살리는 일은 모두의 몫, 생명 존중 문화부터”
- ‘2024 설 가정예배’ 키워드는 ‘믿음의 가정과 감사’
- 내년 의대 정원 2천명 늘린다…27년 만에 이뤄진 증원
- “엄마, 설은 혼자 쇠세요”… 해외여행 100만명 우르르