30대女 왼쪽 무릎 저려 병원 떠돌다 '기겁'

배지영 2011. 9. 19. 05:32
번역beta Translated by kaka i
글자크기 설정 파란원을 좌우로 움직이시면 글자크기가 변경 됩니다.

이 글자크기로 변경됩니다.

(예시) 가장 빠른 뉴스가 있고 다양한 정보, 쌍방향 소통이 숨쉬는 다음뉴스를 만나보세요. 다음뉴스는 국내외 주요이슈와 실시간 속보, 문화생활 및 다양한 분야의 뉴스를 입체적으로 전달하고 있습니다.

비염·성기능 장애·생리불순 .. 알고 보니 나쁜 자세 탓 스마트폰·게임에 열중하는 어린 세대 자세가 더 심각척추 틀어지면 키 안 크고 코·폐·위장·생식기에도 문제가족이 모두 척추 안좋은 건 유전이 아닌 생활습관의 영향

[중앙일보 배지영]

#공무원 시험을 준비하는 윤소영(30·여·경기도 구리시)씨는 몇 개월 전부터 왼쪽 무릎이 저릿했다. 추석 때 차를 오래 타고 고향을 다녀온 뒤 증상은 더 심해졌다. X선 사진을 찍으니 무릎에는 문제가 없었다. 한의원에 가 침을 맞아도 그때뿐이었다. 병원을 떠돌다 척추가 잘못된 것 같다는 진단을 받았다. 척추가 20도나 휘어 있었다. 오랜 고시원 생활로 자세가 망가졌고, 왼쪽 다리에만 힘이 집중돼 걸을 때마다 아팠던 것이다.

#경기도 분당에 사는 조지현(36·여)씨는 초등학교 5학년인 아들 문제로 고민이다. 책상에만 앉으면 어깨·허리 통증을 호소했고, 머리까지 아파 공부에 집중할 수 없다고 떼를 썼다. 현기증이 자주 나고 숨쉬기도 어려워했다. 아이의 구부정한 자세가 원인이었다. 근육이 뭉친 것은 물론 폐가 눌려 호흡량이 줄어 있었고, 심장과 뇌에 혈류 공급도 원활하지 않았다. 조씨의 아들은 현재 하루 1시간 주 5회씩 전문 트레이너에게 척추를 펴는 운동을 배우고 있다.

강남세브란스병원의 한 여직원이 책상에 앉아 컴퓨터 작업을 하고 있다. 이런 자세는 ▶모니터 높이가 눈 높이 보다 훨씬 아래에 있어 거북목이 되기 쉽고 ▶의자와 책상 거리가 넓어 허리가 앞으로 굽어지며 ▶다리를 꼬아 골반과 척추가 휘어지며 ▶팔꿈치가 공중에 떠 있어 손목에 무리가 가기 쉽다. [강남세브란스 제공]

자세가 나쁜 사람이 크게 늘고 있다. 대한재활의학회 강성웅 이사장(강남세브란스병원 재활의학과)은 "컴퓨터·TV·스마트폰 사용자가 늘면서 자세가 점점 나빠지고 있는 것 같다"며 "하루 종일 공부하다 여가시간에는 게임과 스마트폰에 빠져 사는 어린 세대가 더 심각하다"고 말했다.

 덩달아 척추질환도 급격히 늘고 있다. 대한바른자세협회 전영순 회장(대한재활의학과개원의협의회장·지안메디포츠 원장)은 "환자 실태에 대한 정확한 조사자료는 없다. 하지만 2007년 부산시에서 어린이 4만3000명을 조사한 결과 10명 중 1명꼴로 척추측만증이 나타났다"고 말했다. 척추측만증이란 척추가 좌·우로 10도 이상 휜 상태를 말한다. 전 원장은 "척추측만증은 아니더라도 척추가 삐뚤어져 고생하는 어린이는 최소 10명 중 7~8명은 될 것"이라고 말했다.

 바르지 않은 척추는 만병(萬病)의 '불씨'다.

 우선 아이의 키 성장을 방해한다. 전영순 원장은 "척추가 틀어지면 양쪽 다리의 길이도 달라지고 성장판 자극도 줄어든다. 우리 몸은 키를 안정적으로 유지하려는 경향이 있어 양쪽 다리 중 더 짧은 쪽에 맞춰 성장판이 일찍 닫힌다"고 말했다.

 뇌로 가는 혈류(血流)량도 준다. 그만큼 두뇌회전도 잘 안 된다. 전 원장은 "척추가 바르지 않으면 주변 근육이 제대로 움직일 수 없어 굳는다"며 "근육에 포함된 혈관도 탄력을 잃어 전체적으로 혈액순환이 저하되고 뇌로 가는 혈류량도 준다"고 말했다.

영양성분 전달·수분 배출 기능도 약화돼 몸이 약해지고 잘 붓는다.

뭉친 근육에서 통증이 생기는 것은 당연하다. 강성웅 교수는 "특히 목·어깨·허리에 많은 통증을 호소한다"고 말했다.

 노화도 빨라진다. 척추 뼈는 매일 새 세포가 낡은 세포를 대체해야 골격이 유지되는데, 척추가 휘면 이런 과정이 활발하지 않아 골다공증이 빨리 온다.

 전혀 생각지도 않은 질병의 원인이 되기도 한다. 호흡기 질환이 대표적이다.

 강성웅 교수는 "척추는 크게 경추(목)·흉추(가슴)·요추(허리)로 나뉜다. 그런데 컴퓨터 작업을 많이 해서 일명 '거북 목'이 되면 경추가 비정상적인 일(一)자 목이 된다. 그러면 주변 장기와 신경이 눌려 두통·불면증·현기증이 나타날 수 있다. 눈·코·입과 관련된 신경도 이곳에 몰려 있어 코 염증과 눈·귀에 이상을 일으킬 수 있다"고 말했다. 흉추가 삐뚤어지면 폐와 심장을 압박한다. 척추가 휜 아이는 조금만 뛰어도 숨이 차거나 현기증을 자주 느낀다. 속쓰림·소화불량 등 위장질환을 일으킨다.

 생식기(生殖器) 장애도 생긴다. 요추 신경은 난소·고환·자궁을 관리하는 신경과 연결돼 있다. 이 부분에 문제가 생기면 성기능장애나 배뇨장애가 생길 수 있다. 특히 자궁은 요추와 맞닿아 있어 생리통·생리불순의 원인이 된다. 요추 신경은 무릎까지도 연결돼 있어 척추가 휘면 다리가 저릴 수 있다.

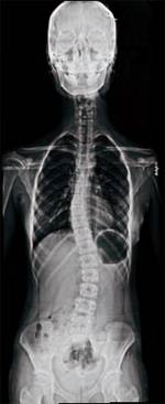
나쁜 자세를 오래 유지하다 보니 척추가 S자 모양으로 휘어 장기를 압박하고 있다. 골반·어깨도 한쪽으로 기울었다. [바른자세협회제공]

강성웅 교수는 "스마트폰이나 휴대용 오락기가 2~3년 사이 어린이의 필수품으로 자리 잡았다. 길을 가면서도 목을 길게 빼고 게임에 집중한다. 길게 나온 목은 일자로 굳고, 등은 자연스레 굽어져 척추가 휜다"고 말했다.  

체육시간 없이 교실에 오래 앉아있는 것도 문제다. 전 원장은 "일본은 워낙 바르게 앉는 문화가 확립돼 있고, 미국이나 유럽은 체육 시간이 많아 어릴 때부터 자세가 바르다. 한국 아이들의 자세가 가장 나쁠 것"이라고 말했다.

 그렇다고 무작정 운동을 시켜도 안된다. 강성웅 교수는 "어릴 때부터 프로 선수로 키우기 위해 야구·골프·테니스 등 한가지 운동만 계속 하는 아이들이 있다. 이런 운동은 몸의 한쪽만 쓰게 돼 척추를 한쪽으로 기울게 할 수 있다"고 말했다.

 강 교수는 "대를 이어 척추가 좋지 않다면 유전이 아니라 생활습관 때문"이라며 "좌식(坐式)위주의 주거환경이나 부모의 나쁜 자세·버릇이 대물림 되면 척추질환도 대물림 될 수 있다"고 말했다.

 재활의학과 전문의 단체, 체육인 등이 함께 만든 대한바른자세협회가 발족돼 지자체 보건소와 함께 바른 자세에 대한 홍보와 교육을 하고 있다. 예전에 하던 '국민체조' 대신 재미있게 따라 할 수 있는 '바른 자세 체조'도 만들어 보급할 예정이다. 전영순 원장은 "척추질환을 막으려면 매일 아침·저녁 전신 거울을 보면 효과적이다. 자신의 몸매와 척추가 얼마나 휘었는지 확인하면 의외로 쉽게 자세를 고친다"고 말했다.

배지영 기자 < jybaejoongang.co.kr >

척추를 괴롭히는 자세들

● 가방 한쪽으로 매기

● 엉덩이를 쭉 빼고 앉는 자세

● 한쪽으로만 다리를 꼬는 자세

● 과도하게 몸을 숙이고 공부하는 자세

● 무릎을 꿇고 한쪽으로 다리를 모으는 자세

● 엎드려 자는 자세(척추가 비틀림)

● 팔을 한쪽으로 괴고 TV를 보는 자세

● 무릎을 굽히지 않고 물건을 드는 자세

● 지갑을 한쪽으로 넣고 앉는 자세

● 하이힐을 신고 있는 자세

※자료=강남세브란스병원 제공

내 척추는 휘어 있을까?

● 배낭·가방끈이 자꾸 한쪽으로 흘러내린다.

● 유난히 잘 넘어진다.

● 신발 뒤꿈치 바닥이 고르게 닳지 않는다.

● 바지나 치마가 자꾸 한쪽으로 돌아간다.

● 골반의 왼쪽과 오른쪽의 높이가 같지 않다.

● 어깨의 왼쪽과 오른쪽의 높이가 같지 않다.

※자료=『척추학교(중앙m & b)』

▶의 블로그 http://blog.joinsmsn.com/o1soleil/

가수 인순이 거액 탈세, 추징 당했다

北 열병식서 여군들이 앉은 무기, 알고보니…

70대 노인이 10대 소녀 수년간 상습 성폭행

"나가 놀라" 7세女 네일건 위협하다…

"머뭇 거렸다간…" MB, 정전 3일만에 속전속결 왜?

'집권세력 매도' 안철수, 알고보니 '대통령 직속'

75세 이탈리아 총리 "하룻밤 여성 8명과…더는 못 해"

Copyright © 중앙일보. 무단전재 및 재배포 금지.