세라믹교정, 철이빨의 시대는 안녕!

세라믹교정으로 티내지 않고 교정하는 방법
현대 사회가 경쟁의 시대라고 할 정도로 자신을 타인보다 돋보이게 하는 능력들이 매우 중요한 시기이다. 능력에는 여러 가지가 있지만 크게 학력, 자격증, 프로필 등과 외모 또한 그 사람의 평가 할 수 있는 중요한 부분으로 여겨 지고 있다. 자신을 꾸밀 줄 아는 사람일수록 일뿐만 아니라 뭐든 잘 해 낸다는 인식이 있어 외모를 가꾸거나 단점을 보완하기 위한 노력이 부쩍 늘고 있다고 한다.
대학교 4년으로 한창 취업을 준비하고 있는 박수연(가명, 21)양은 기본적으로 갖추어야 할 학업성적, 외국어, 봉사활동 등 다양한 스펙을 준비하면서 큰 고민에 빠졌다고 한다. 다름이 아니라, 외모가 호감형 얼굴인데 반해 대화를 하거나 웃을 때 마다 보이게 되는 고르지 않은 치아가 걱정 이었던 것이다. 어려서부터 성격도 활동적이고 리더십도 있어 남 앞에 서길 좋아했지만, 결국은 삐뚤빼뚤한 치아 때문에 어느 순간 사람들 앞에서의 자신감이 떨어지게 되었다. 이런 일들이 반복되면서 가장 큰 콤플렉스가 되어 치아교정을 알아 봤지만, 교정기를 장착하는 기간동안 외관상으로 좋지 않아 보인다는 단점이 더욱 고민스럽게 만들었다.
박수연씨처럼 치아교정을 고려하는 많은 사람들이 가장 걱정 되는 부분이 1∼2년 동안의 교정기간과 함께 치아 밖으로 들어나는 금속 교정장치라고 할 수 있다. 대외활동이 많은 성인들과 심리적으로 예민한 청소년기의 경우 교정장치가 외부에 보이면서 외관상 보기 좋지 않기 때문에 교정을 쉽게 결정하지 못 한다는 점이 있다. 이런 경우, 금속 교정장치와 다르게 치아 색상과 같은 세라믹 브라켓을 이용하여 세라믹교정 방법으로 눈에 띄지 않게 교정을 할 수 있는 방법이 있다.
가철식교정의 시대는 가고∼ 세라믹교정의 시대!
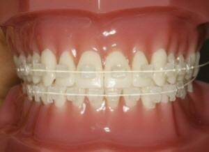
세라믹교정은 치아 겉에 교정기를 착용하는 방법으로 일반 교정과 비슷한 치아교정 방법이지만, 교정기 색상이 치아색상과 유사하여 자세히 보지 않고서는 눈에 띄게 드러나 보이지 않는다는 장점이 있으며 투명교정, 설측교정 보다는 저렴한 비용으로 좋은 교정효과를 얻을 수 있다는 것이다.
세라믹교정 외에도 세라믹으로 된 브라켓과 와이어의 마찰력을 최소하여 교정 기간도 줄일 수 있는 클리피씨 교정도 인기가 높다. 클리피씨는 교정장치가 버튼처럼 열리고 닫힘이 가능하여 똑딱이 브라켓으로도 불리며 성인 교정에 많이 이용 되고 있다. 또한, 앞니 부분교정으로 심미적인 효과가 높은 투명교정도 교정창치의 노출을 최소화 할 수 있는 방법 중 하나이다.
환자에게 합리적인 비용으로 치아교정의 만족도를 높이고 있는 한정흠 원장은 '치아교정을 고려하는 환자의 경우 교정 후 효과와 심미적인 부분에 중점을 두고 교정치료를 받는 경우가 많은 만큼 세라믹 브라켓, 화이트 와이어, 투명교정, 설측교정과 같은 심미적인 기능이 좋은 교정장치를 통해서 많이 이루어 지고 있다.'고 했다. 또한, '무엇보다 치아교정은 라미네이트와 다르게 치아의 손상이 없이 치아가 정상적인 기능을 유지하면서 심미적으로 가지런한 치아구조와 아름다운 스마일라인을 만들 수 있다는 점에 중점을 두어야 한다.'고 덧붙였다.
(사진제공: 푸른나무치과)
(끝)
출처 : 푸른나무치과
본 콘텐츠는 해당기관의 보도자료임을 밝혀드립니다.
Copyright © 연합뉴스 보도자료. 무단전재 및 재배포 금지.
- '방파제' 쌓았다지만 '인플레 스톰'…해외IB "물가 3% 웃돌 것" | 연합뉴스
- 李대통령 "추경으로 지방정부 부담증가 말 안돼…재정여력 늘어" | 연합뉴스
- "지옥문" 협박 주고받은 미·이란…실종 미군 찾기 이틀째 경쟁 | 연합뉴스
- 비자혜택이 만든 '랭킹의 늪'…中유학생 의존 대학들 생존게임 | 연합뉴스
- 전국이 흐린 일요일…중부지방엔 저녁부터 봄비 | 연합뉴스
- 지구보다 달에 더 가까이 갔다…'아르테미스 2호' 순조로이 비행 | 연합뉴스
- 5대 재벌도 공개했는데…국회, 쿠팡 출입기록만 '꽁꽁' | 연합뉴스
- 신현송 82억 중 외화자산이 절반 이상…청문회 쟁점되나 | 연합뉴스
- 트럼프 중동전쟁 장기화에 글로벌 '먹거리 쇼크' 우려 | 연합뉴스
- 尹 체포방해·김건희 주가조작 항소심 금주 나란히 변론 종결 | 연합뉴스