안녕하세요, 미독정입니다. 오늘은 한국인 대부분이 경험하는 충치, 특히 어금니 아말감에 대해 낱낱이 파헤쳐 보겠습니다. 혹시, 20년 넘게 아말감 충전재를 사용하고 계신가요? 그렇다면 지금부터 집중하세요! 2023년 국민건강보험공단 자료에 따르면 충치 치료 평균 비용은 50만 원 이상이지만, 조기에 발견하면 10만 원 내외로 해결할 수 있습니다. 지금부터 어금니 아말감의 모든 것을 알려드립니다.
어금니 아말감, 득일까 독일까? 꼭 알아야 할 모든 것

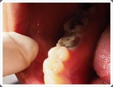
아말감은 수은, 은, 구리 등으로 이루어진 합금으로, 무려 150년 넘게 사용된 검증된 재료입니다. 하지만 장점과 단점이 명확하죠.
아말감의 두 얼굴: 장점과 단점
• 구분: 아말감
• 장점: – 튼튼한 내구성: 씹는 힘을 잘 견딤- 저렴한 가격: 평균 5~10만 원
• 단점: – 심미성 부족: 눈에 띄는 검은색- 안전성 논란: 수은 성분에 대한 우려 (현재까지는 안전성 입증)
최근에는 자연스러운 색상의 복합 레진(15~30만 원)이나 내구성이 뛰어난 금 인레이(30~50만 원)로 교체하는 추세입니다. 하지만 아말감이 단단히 밀착되어 있다면 무리한 교체는 오히려 치아 손상을 유발할 수 있습니다. 반드시 치과 의사와 충분히 상담 후 결정해야 합니다.

미독정 경험담: “20년간 사용한 아말감이 깨져서 엄청난 통증에 시달렸어요. 레진으로 바꿨더니 통증은 싹 사라졌지만, 며칠 동안은 이물감이 느껴졌습니다.” – 40대 직장인 김미독정 씨
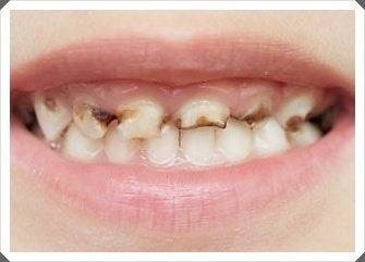
충치, 단계별 증상과 치료법: 초기 대응이 중요
충치는 초기, 중기, 후기로 진행되며, 각 단계별로 증상과 치료법이 다릅니다. 초기 충치를 놓치면 치료비 폭탄을 맞을 수 있으니, 지금 바로 확인하세요!
충치 진행 단계별 완벽 분석

• 단계: 초기
• 증상: – 치아 표면에 검은 점/선- 찬 음식에 약간의 시림
• 치료법: – 플라크 제거 + 불소 도포
• 비용: 3~5만 원
• 중요성: 90% 이상 회복 가능!
• 단계: 중기
• 증상: – 지속적인 통증- 치아 구조 약화
• 치료법: – 충치 제거 후 레진/아말감 충전
• 비용: 10~20만 원
• 중요성: 신경 치료 가능성 증가 (신경 치료 비율 35%)
• 단계: 후기
• 증상: – 극심한 통증 (가만히 있어도 아픔)- 농양 형성
• 치료법: – 신경 치료 또는 발치 후 임플란트
• 비용: 100~300만 원
• 중요성: 발치 후 방치 시 교정 비용 추가 발생
치아 통증, 참으면 병이 된다: 즉시 대처법
치통은 단순한 불편함이 아닌, 우리 몸이 보내는 위험 신호입니다. 절대 참지 마세요!
치통 종류별 원인과 응급처치
• 만성 통증: 3일 이상 지속 시 신경 감염 가능성 ↑

응급조치 꿀팁:
2. 통증 부위에 냉찜질 (15분)
3. 진통제 복용 (아세트아미노펜 권장, 이부프로펜은 출혈 위험)
중요: 응급조치는 임시방편일 뿐, 반드시 24시간 이내에 치과를 방문해야 합니다.
나에게 맞는 치료법은?: 치료 옵션 완벽 비교

각 치료법은 장단점이 뚜렷하므로, 본인의 상황에 맞는 최적의 선택을 해야 합니다.
치료 옵션 비교 분석
• 치료법: 아말감
• 장점: – 경제적- 튼튼한 내구성
• 단점: – 심미성 부족
• 적합한 경우: – 예산 제한적- 씹는 힘이 강한 어금니
• 치료법: 레진
• 장점: – 자연스러운 색상
• 단점: – 마모되기 쉬움
• 적합한 경우: – 앞니 또는 작은 충치
• 치료법: 금 인레이
• 장점: – 변색 없음- 뛰어난 내구성
• 단점: – 고가- 제작 기간 김
• 적합한 경우: – 광범위한 충치
신경 치료 후에는 반드시 크라운을 씌워야 치아 파절을 막을 수 있습니다.
충치 예방, 어렵지 않아요!: 매일 10분 투자

충치 예방은 시간과 노력을 조금만 투자하면 충분히 가능합니다. 지금 바로 실천하세요!
충치 예방 5가지 황금 습관
2. 치실 사용: 하루 한 번 필수! 치아 사이 음식물 40% 제거
3. 식습관: 사탕 대신 과일, 탄산음료 대신 물
4. 정기 검진: 6개월마다 스케일링 + X-ray 촬영
2023년 서울대 연구 결과: 정기 검진 그룹은 충치 발생률이 60% 낮았습니다.
지금까지 어금니 아말감 충치 증상과 치료에 대해 자세히 알아봤습니다. “아말감을 교체해야 할까?”, “이 정도 통증은 괜찮을까?” 고민된다면, 이 글이 현명한 선택에 도움이 되길 바랍니다. 충치는 방치할수록 치료비는 눈덩이처럼 불어나고, 삶의 질은 뚝 떨어집니다. 건강한 치아는 자신감과 직결된다는 사실, 잊지 마세요!