
아침 식사는 하루를 시작하는 중요한 식사로, 건강한 선택이 장기적인 대장 건강에 영향을 미칠 수 있습니다.
특히 40대 이후에는 대장 건강을 더욱 신경 써야 하며, 일부 아침 음식이 대장 내 용종(혹) 발생 위험을 높일 수 있다는 연구 결과가 주목받고 있습니다.

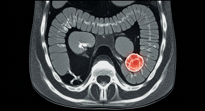
용종과 대장암의 연관성
대장 용종은 대장의 점막에서 자라는 작은 혹으로, 대부분은 무해하지만 일부는 시간이 지나면서 암으로 발전할 가능성이 있습니다. 연구에 따르면, 특정 음식과 식습관이 용종 발생 위험을 증가시킬 수 있으며, 특히 가공육과 정제 탄수화물이 주요 원인으로 꼽힙니다.

아침 식사에서 피해야 할 음식
가공육 (소시지, 베이컨 등)
- 세계보건기구(WHO)는 가공육을 1군 발암물질로 지정했습니다.
- 질산나트륨 등 방부제가 발암물질로 변환될 가능성이 있습니다.
- 과도한 지방과 나트륨이 대장 점막을 손상시키고 염증 반응을 유발할 수 있습니다.

정제 탄수화물 (흰 빵, 시리얼 등)
- 설탕 함량이 높은 시리얼은 장내 유해균을 증가시키고 염증을 유발합니다.
- 식이섬유가 부족하여 변비를 유발하고 독소가 축적될 가능성이 있습니다.

감미료가 포함된 요거트
- 인공 감미료가 장내 미생물 균형을 깨트릴 수 있습니다.
- 크림이 포함된 커피와 함께 섭취하면 포화지방이 증가해 장 점막 손상 가능성이 높아집니다.

건강한 대체 음식
신선한 단백질
- 가공육 대신 삶은 닭가슴살이나 연어를 섭취합니다.
- 두부와 견과류 같은 식물성 단백질도 좋은 선택입니다.

통곡물과 천연 당분
- 흰 빵 대신 통밀빵이나 오트밀을 선택합니다.
- 무가당 그래놀라와 요거트를 조합하면 영양소를 보충할 수 있습니다.
저지방 옵션
- 크림 대신 저지방 우유나 두유를 활용합니다.
- 따뜻한 보리차나 캐모마일 차로 카페인을 줄입니다.

대장 건강을 위한 생활 습관
- 아침 식사는 신선한 재료로 준비하고 가공식품 섭취를 최소화합니다.
- 유산균과 발효식품(된장, 김치, 요거트)을 꾸준히 섭취해 장내 미생물 균형을 유지합니다.
- 충분한 물 섭취와 규칙적인 운동으로 장운동을 활성화합니다.
대장 건강은 일상의 작은 선택에서 시작됩니다. 아침 식사에서 가공육과 정제 탄수화물을 피하고, 신선하고 영양가 높은 음식을 선택함으로써 용종 발생 위험을 줄일 수 있습니다.
특히 40대 이후에는 이러한 식습관 개선이 더욱 중요하며, 장 건강은 곧 전반적인 삶의 질 향상으로 이어집니다.
Copyright © 반딧불