
부모라면 누구나 아이의 키가 더 자라길 바란다. 하지만 어느 날 갑자기 “이제 성장판이 거의 닫혔어요”라는 말을 듣게 되면 아쉬움이 크게 남는다. 성장판은 뼈 끝에 있는 연골층으로, 성장호르몬과 영양, 운동 자극을 받아 새로운 뼈세포를 만들어내는 핵심 부위다. 문제는 이 성장판이 영원히 열려 있는 게 아니라 일정 시기가 지나면 서서히 닫힌다는 것이다. 그렇다면 성장판은 언제 닫히고, 부모가 놓치지 말아야 할 신호는 무엇일까?
성장판은 언제 닫히는가 — 평균보다 개인차가 더 크다
성장판이 닫히는 시기는 아이의 성별과 사춘기 시작 시점에 따라 달라진다. 일반적으로 여아는 만 14세 전후, 남아는 만 16세 전후에 대부분 성장판이 닫힌다. 그러나 이는 평균일 뿐 개인차가 매우 크다. 사춘기가 빠르면 성장판이 일찍 닫히고, 늦게 시작하면 반대로 더 오래 열린다. 최근에는 서구화된 식습관과 비만, 스트레스 등으로 인해 사춘기가 점점 빨라져 성장 기간이 짧아지는 경향이 뚜렷하다. 성장판이 닫히기 시작하면 갑자기 키 성장 속도가 줄고, 발과 손, 얼굴 형태가 성인에 가까워지는 변화가 나타난다.

성장판 닫힘의 전조 신호 — 부모가 알아야 할 징후
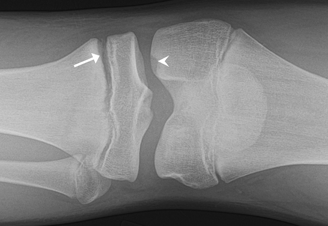
성장판이 닫히기 직전에는 몇 가지 뚜렷한 신호가 보인다. 먼저, 3개월 단위 키 성장 속도가 1cm 미만으로 떨어진다면 이미 성장판 활동이 둔화된 것으로 볼 수 있다. 또 사춘기 초기에 여아는 가슴 발달, 남아는 음성 변화와 체모 증가가 일어나면서 성장 속도가 잠시 급등하지만, 이 시기가 지나면 곧 성장판이 닫히는 단계로 접어든다. 이때 부모가 “이제 클 때가 왔구나”라며 방심하면 이미 막바지일 수 있다. 병원에서는 손목 X-ray 촬영으로 뼈 나이(bone age)를 측정해 성장판이 얼마나 남았는지 확인할 수 있다.

성장판이 열려 있을 때 해야 할 것 — 세 가지 황금 관리법
성장판은 닫히기 전에 자극을 많이 줄수록 길게 열린다. 가장 중요한 것은 수면, 영양, 운동의 세 가지 요소다.
첫째, 수면은 성장호르몬이 분비되는 시간대인 밤 10시~새벽 2시 사이에 깊은 잠을 자는 것이 핵심이다. 이때 숙면을 방해하는 불빛이나 전자기기 사용은 피해야 한다.
둘째, 영양은 성장판의 재료를 공급하는 과정이다. 단백질과 칼슘, 아연, 비타민 D가 특히 중요하며, 고기·달걀·두부·멸치·견과류를 매일 일정량 섭취해야 한다. 패스트푸드와 탄산음료는 인 함량이 높아 칼슘 흡수를 방해하므로 피하는 게 좋다.
셋째, 운동은 성장판을 물리적으로 자극해 성장호르몬의 작용을 높인다. 줄넘기, 농구, 스트레칭, 수영 같은 점프 동작이 포함된 운동이 효과적이다. 단, 과도한 근력 운동은 오히려 성장판에 압박을 줘 성장을 방해할 수 있다.

성장판이 닫히기 전, 반드시 확인해야 할 시기
아이의 성장이 더딜 때는 “언젠가 크겠지” 하고 기다리기보다 정기적으로 성장 속도를 체크해야 한다. 초등학교 저학년부터 6개월 간격으로 키를 측정하고, 3개월 동안 1cm 미만의 증가가 반복된다면 병원을 방문해 성장판 상태를 확인하는 것이 좋다. 혈액검사를 통해 성장호르몬 수치나 갑상선 기능 이상 여부도 함께 확인하면 성장 저하의 원인을 보다 정확히 알 수 있다.
성장판이 닫히는 시점은 아이의 ‘성장 가능성’이 멈추는 시점이기도 하다. 부모가 이 시기를 정확히 알고 대비한다면 아이가 가진 유전적 잠재력을 최대한 발휘할 수 있다. 성장판은 기적처럼 다시 열리지 않는다. 하지만 닫히기 전까지는 충분히 자극할 수 있다. 숙면, 영양, 운동, 그리고 정기적인 확인, 이 네 가지가 아이의 마지막 성장 기회를 붙잡는 확실한 방법이다.

Copyright © 몸건강연구소