1개월 전자담배 피운 10대 폐 사진 '충격', 산산조각 난 유리처럼…
전체 맥락을 이해하기 위해서는 본문 보기를 권장합니다.
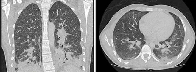
한 달간 액상 전자담배를 피운 19세 여성의 폐가 '산산조각 난 유리'처럼 보여 충격을 주고 있다.
의료 매체 메디스케이프는 19세 여성 환자의 폐 손상 사례를 소개했다.
그러다 환자가 지난 한 달 동안 남자친구의 전자담배를 사용했다고 말한 후에야 의사들은 '전자담배로 인한 폐 손상(E-cigarette or vaping product use associated lung injury, EVALI)'으로 진단했다.
이 글자크기로 변경됩니다.
(예시) 가장 빠른 뉴스가 있고 다양한 정보, 쌍방향 소통이 숨쉬는 다음뉴스를 만나보세요. 다음뉴스는 국내외 주요이슈와 실시간 속보, 문화생활 및 다양한 분야의 뉴스를 입체적으로 전달하고 있습니다.

[스포츠조선 장종호 기자] 한 달간 액상 전자담배를 피운 19세 여성의 폐가 '산산조각 난 유리'처럼 보여 충격을 주고 있다.
의료 매체 메디스케이프는 19세 여성 환자의 폐 손상 사례를 소개했다.
이 여성은 1주일 동안 호흡곤란, 오한, 기침, 고열 등의 증상을 보여 응급실을 찾았다,
의료진은 흉부 CT 촬영 결과, 폐에 '간유리음영(ground glass opacity, GGO)'이 나타난 것을 확인하고 세균성 폐렴으로 초기 진단했다.
간유리음영 또는 간유리결절은 흉부 CT에서 폐에 뿌옇게 보이는 부분을 말한다. 마치 모래 등을 이용해 투명한 유리를 갈았을 때 표면이 뿌옇게 변하는 것을 '간유리'라고 부르는 데서 유래했다.
이는 일반적으로 폐렴이나 기타 호흡기 질환으로 인한 손상이 생겼을 때 관찰된다.
의료진은 환자에게 5일 동안 항생제 치료를 실시했지만 증상이 나아지지 않자 의아해했다.
그러다 환자가 지난 한 달 동안 남자친구의 전자담배를 사용했다고 말한 후에야 의사들은 '전자담배로 인한 폐 손상(E-cigarette or vaping product use associated lung injury, EVALI)'으로 진단했다.
EVALI는 전자담배에 사용되는 화학물질의 독성 효과로 인해 발생하는 급성 호흡기 질환을 의미한다.
이는 비정형 바이러스성 질환과 유사하게 나타나며, 호흡곤란, 기침, 흉통, 발열이 가장 흔한 증상이다.
의료진은 EVALI 진단을 받은 환자에게 스테로이드를 투여하고 전자담배를 끊으라는 조언을 했다.
장종호 기자 bellho@sportschosun.com
Copyright © 스포츠조선. 무단전재 및 재배포 금지.