[스스로 지키는 건강] 유방암 자가검진 가이드: 5분이 인생을 바꿉니다

매월 5분, 세탁기 속 양말 찾는 시간만 투자하면 암 발병 위험을 80% 낮출 수 있습니다.
유방암은 국내 여성암 1위지만 조기 발견 시 생존율이 95%에 달하는 '치료 가능 암'입니다.
오늘부터 시작하는 가장 현실적인 건강 습관을 소개합니다.
📅 최적의 검사 타이밍 잡는 법
- 생리 중인 여성: 월경 끝난 후 2~3일차(호르몬 영향 최소화)
- 폐경 후 여성: 매월 1일처럼 기억하기 쉬운 날짜 선택
- 임신/수유 중: 유방 변화가 심해 전문의 검진 병행 권장

🔍 3단계 유방 셀프체크
1️⃣ 거울 앞에서 '시각 점검'
상의 탈의 후 양팔 내린 상태에서 확인:
→ 좌우 유방 크기 차이
→ 피부 함몰/울퉁불퉄한 부분
→ 유두 방향 틀어짐, 분비물
팔 올린 상태에서 360도 돌려보기: 옆모습, 뒤태까지 꼼꼼히
2️⃣ 샤워 중 '미끄럼 검진'
비누 거품 바른 손으로 검사:
① 오른손으로 왼쪽 겨드랑이→유방→유끝 순환
② 손가락 패드(손톱 아님!)로 2cm 원 그리며 압력 3단계(경증→중간→강) 적용
③ 시계 방향으로 한 바퀴 전체 촉진
3️⃣ 침대 위 '완전 탐색'
베개를 등에 받치고 반대쪽 팔 올린 후:
→ 손바닥 아닌 손가락 3개(검지·중지·약지)만 사용
→ 지그재그 패턴보다 '동심원 확대' 방식 권장
→ 유두 3회 압박해 분비물 유무 확인

⚠️ 즉시 병원 가야 할 신호
- 돌덩이처럼 딱딱한 멍울(움직이지 않음)
- 유두에서 자국 없는 혈액 분비
- 피부가 오렌지 껍질처럼 울퉁불퉁
- 2주 이상 지속되는 겨드랑이 통증
🏥 의료 검진 시기 체크리스트
- 20대: 월 1회 자가검진 + 2년마다 초음파
- 30대: 자가검진 + 1년마다 병원 진찰
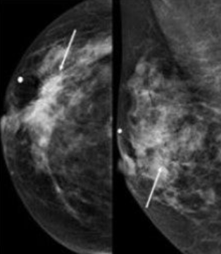
- 40대~: 매년 유방촬영술(mammography)
- 필수고위험군(유전자 변형 등): 6개월 주기 검진

자가검진 시 가장 흔한 실수는 '너무 세게 누르기'입니다.
손가락 힘 뺀 상태에서 살짝 미끄러지듯 만지세요.
검사 후 유두가 빨갛게 변하면 압력이 과했다는 신호입니다.
유방암은 10년 전 암세포를 잡아내야 이깁니다. 이 기사를 공유해 주변 여성 3명의 생명을 구할 수 있다는 사실, 기억해주세요.
Copyright © 반딧불