공복토 한 고양이 검사했더니 담관간염…치료방법은[벳앤패밀리]
전체 맥락을 이해하기 위해서는 본문 보기를 권장합니다.
반려동물이 한 가족으로 자리 잡으면서 건강에 대한 관심이 높아지고 있다.
임태훈 진료과장은 "고양이 담관간염은 염증세포 종류에 따라 호중구성과 림프구성으로 구분되는데 이는 조직검사(생검)을 통해야만 알 수 있다"라며 "보호자와 상의 후 달래는 조직검사 없이 호중구성 담관간염에 대한 치료에 들어갔다"고 설명했다.
이 글자크기로 변경됩니다.
(예시) 가장 빠른 뉴스가 있고 다양한 정보, 쌍방향 소통이 숨쉬는 다음뉴스를 만나보세요. 다음뉴스는 국내외 주요이슈와 실시간 속보, 문화생활 및 다양한 분야의 뉴스를 입체적으로 전달하고 있습니다.
[편집자주] 반려동물이 한 가족으로 자리 잡으면서 건강에 대한 관심이 높아지고 있다. 강아지(애견), 고양이(애묘)가 건강하게 오래 사는 것은 보호자들의 가장 큰 소원이다. '벳앤패밀리'는 수의사+가족의 합성어로 '뉴스1'에서는 동물병원을 찾은 가족들의 사연을 연재한다. 이를 통해 동물을 더욱 건강하게 키우고 수의사와 보호자가 소통하며 웃을 수 있는 '우리냥 행복하개' 캠페인을 진행한다.

(서울=뉴스1) 한송아 기자 = "평소 설사 증상이 있었어도 사료는 잘 먹었거든요. 그런데 갑자기 먹은 사료를 다 토하더니 이제는 먹지도 않고 공복토를 해요."
2살 랙돌 종 고양이 '달래'를 기르는 보호자 A씨는 최근 달래가 피부에 황달 증상이 나타나고 공복토를 반복해 부산 24시 온동물의료센터에 방문했다.
내원 당시 40도에 달하는 고열 증상과 탈수가 동반된 상태였다. 달래는 만성 설사로 이미 치료를 받던 상황으로 한 달 전 혈액 및 췌장염 검사에서 이상이 없었다고 한다.
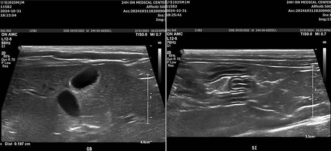
22일 벳아너스 회원 동물병원인 부산 24시 온동물의료센터(대표원장 이동환)에 따르면, 달래의 혈액 및 복부 초음파 검사 결과 고양이 담관간염으로 진단됐다.
담관간염은 담도계와 주변 간세포 염증으로 발생하는 질병이다. 특히 고양이는 해부학적으로 담관과 체관이 십이지장으로 같은 도관으로 연결돼 있다. 이 때문에 염증성 장질환(IBD), 췌장염, 담관간염이 같이 병발하는 세동이염이 잘 발생한다.

달래는 복부 초음파 검사에서 담낭과 총담관의 벽이 심하게 비후해지고, 소장 주위 림프절, 복막에도 염증 소견이 함께 관찰됐다. 염증성 장병증도 함께 의심되는 상황이었다. 다행히 췌장 쪽은 특이 소견이 발견되지 않았다.
임태훈 진료과장은 "고양이 담관간염은 염증세포 종류에 따라 호중구성과 림프구성으로 구분되는데 이는 조직검사(생검)을 통해야만 알 수 있다"라며 "보호자와 상의 후 달래는 조직검사 없이 호중구성 담관간염에 대한 치료에 들어갔다"고 설명했다.
입원 치료를 시작한 달래는 광범위한 항생제와 항구토제, 수액 처치 등의 치료를 받았다. 입원 3일 차가 되자 염증 수치와 빌리루빈 수치가 모두 정상화되고, 자발적으로 물과 사료를 먹어 통원 치료로 전환할 수 있었다.
달래는 감염 재발을 막기 위한 항생제와 간보호제, 항산화제를 처방받았다. 염증성 장 질환 관리를 위해 처방식 사료와 유산균 제제도 먹기 시작했다.

그 결과 한 달 후 혈액 검사 시 간 수치가 정상화되고 복부 초음파 검사에서도 모든 증상이 개선돼 담관간염 치료를 종결할 수 있었다.
이동환 대표원장은 "담관간염은 적절한 치료 시기를 놓치면 다양한 합병증이 유발될 수 있어 매우 위험하다"라며 "고양이가 식욕 부진, 체중 감소, 구토, 설사, 황달 등 증상을 보이면 조속하게 동물병원에 방문해 검사받기를 권장한다"고 말했다. [해피펫]

◇ '우리냥 행복하개' 캠페인은 신교무역 하이큐펫츠(Hi-Q pets)와 함께 합니다. 신교무역은 사연 속 반려동물에게 올리고 후코이단을 원료로 한 후코케이 제품을 선물합니다. 후코케이는 신장기능 강화, 체내순환, 신진대사 촉진 등에 도움이 되는 반려동물 영양제(영양보조제)입니다.
badook2@news1.kr
Copyright © 뉴스1. All rights reserved. 무단 전재 및 재배포, AI학습 이용 금지.
- [단독] '혈액암 투병' 안성기, 건강 악화 병원 이송…"美서 아들 급거 귀국 중"
- "자는데 형부가 더듬더듬…따지자 '합의한 거 아니냐' 역공" 처제 하소연
- "생활비 300만원 주는데 각방, 5년째 '수절'…ATM 된 기분" 남편 토로
- 아웃백 화장실 앉자마자 변기 산산조각…"중요한 신체 손상" 7200만원 소송
- 남편과 다투다 25층서 추락한 20대…기적적으로 생존, 어떻게?
- 김다예 "나라 바꾼 ♥박수홍"…친족상도례 폐지에 감격
- "사위 생일 안 챙긴 친정엄마에게 화난 시모…이런 경우도 있나요?"
- '윤정수♥' 원진서, 발리 신혼여행서 과감 비키니…늘씬 글래머
- '상간 혐의 피소' 숙행, '현역가왕3' 무대 통편집…리액션으로만 등장
- 김수용 심정지 당시 현장 공개…김숙 "임형준과 CPR, 임종 호흡 무서워"