'질병의 공식'을 찾는 수학자들

“최근 여러 분야에서 수학을 활용해 새 연구를 개척하고 있습니다. 의료 분야는 너무나 많은 데이터가 복잡하게 얽혀 있어 지금까지 제대로 분석하지 못했습니다. 데이터를 잘 분석해서 새로운 진료 지침을 만들어 나갈 수 있었으면 하는 바람에서 수학자들과 공동 연구를 시작했습니다.”
의사들이 수학자들에게 도움을 요청했다. 환자를 치료하는 의사들이 수학자에게 도움을 구하다니, 대체 무슨 일일까. 피부과 의사인 이증훈 충남대 병원 교수는 2017년 말부터 국가수리과학연구소의 수학자들과 공동 연구를 하고 있다. 충남대 병원 의생명연구원장으로 재직하면서 의료 현장에서 고민하는 문제를 해결할 실마리를 찾기 위해 수리연에 ‘의료수학’ 공동 연구를 요청한 것이다.
충남대 병원은 이미 한국기계연구원, 한국표준연구원과 다양한 융합 연구를 하고 있다. 기계연과는 다리를 마음대로 쓸 수 없는 장애인을 위한 로봇 기술을 연구하고 있다.
2018년 1월부터 시작된 수학자와 의사들의 공동연구는 비뇨기과에서부터 피부과, 영상의학과 등 다양한 분야에서 시도하고 있다. 가장 먼저 수학자가 어떤 도움을 줄 수 있는지, 의사가 필요로 하는 것은 무엇인지 논의하는 ‘기술교류회’를 열었다. 수학자들은 기계학습과 컴퓨터단층촬영(CT), 초음파 영상 분석, 영상 복원과 해석 분야에서 자신들이 할 수 있는 것들을 소개했다. 그러자 각 분야 의학과 교수들의 아이디어가 쏟아져 나오기 시작했다. 현재 수리연 수학자들은 매달 한 번 이상 충남대 병원 의사들과 만나 다양한 문제를 풀고 있다.
사실 수학자들이 의학 분야의 문제를 연구하기 시작한 것은 처음은 아니다. 지금까지의 의료수학 연구가 단순히 이론적인 수준에 머물렀다면, 수리연과 충남대 병원의 공동 연구는 환자를 진료하고 치료하는 데 실질적인 도움을 준다는 점에서 한 걸음 더 앞섰다. 지문 연구처럼 의학 분야에서 풀리지 않은 문제를 해결하는 데도 도움을 줄 전망이다. 현윤경 선임연구원은 “한국 수학의 수준이 그만큼 높아졌다는 것을 보여주는 것”이라며 “앞으로도 수학 이론을 적용해 현실의 문제를 해결하는 데 적극적으로 나서겠다”고 말했다.
● 수학이 필요한 의료 문제

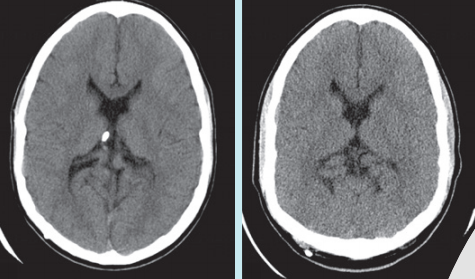
영상의학과에선컴퓨터단층촬영(CT)이 암이나 치아 이상 등 다양한 질병을 진단하기 위해 쓰이는 유용한 기술이다. 짧은 시간 동안 많은 양의 방사선에 노출된다는 점 때문에 주의할 필요가 있다. 다량의 방사선에 노출되면 세포 속 DNA에 이상이 생길 수 있다. 문제는 방사선량을 줄이면 영상의 화질이 나빠진다는 점이다.
신경과에선 지금까지는 뇌혈관 검사를 할 때 초음파 영상을 보고 의사가 경험적으로 판단했다. 신경과 의료진은 초음파 영상에 나타난 모습을 수학적으로 정밀하게 측정할 방법을 찾아달라고 요청했다.

비뇨기과에선 소변길에 돌이 생겨 끼면 돌이 낀 위치와 돌의 특성에 따라 수술을 하거나, 몸 밖에서 높은 에너지로 초음파를 쏴서 낀 돌을 잘게 쪼개는 ‘체외충격파 쇄석술’을 한다. 그런데 체외충격파 쇄석술은 치료 경과가 사람마다 다르다. 어떤 사람한테 효과적인지 알 방법이 있을지 수리연에 의뢰했다.
피부과에선 환자를 치료하는 임상 의학 분야 뿐 아니라 인간의 몸이 형성되는 원리를 밝히는 기초 의학 분야에도 풀리지 않은 문제가 많다. 예를 들어 피부과에서는 사람마다 손가락 지문 패턴이 다르게 형성되는 원리가 아직까지 밝혀지지 않았다. 피부과 의사들은 이 문제를 수학적으로 풀어 보기 위해 공동연구를 요청했다.
● 기계학습으로 요로결석 치료 결과 예측

연구팀은 2015년부터 3년 동안 충남대 병원에서 체외충격파 쇄석술을 받은 환자들의 진료 기록을 기계학습으로 학습시킨 뒤 환자의 상태를 입력했을 때 치료 결과를 얼마나 잘 예측할 수 있는지를 분석했다. 총 300명의 진료 기록 중에서 240명의 기록은 인공지능을 학습시키는 데 활용했고, 나머지 60명의 기록은 인공지능의 예측 능력을 확인하기 위한 자료로 사용했다. 이때 쓴 데이터는 피검사와 소변검사에서 나타난 수치와 돌이 낀 위치, 돌의 크기, 강도, 그리고 치료 방법과 경과 등이다.
그 결과 학습에 활용하지 않은 60명의 진료 정보를 이용해 치료 경과를 예측한 정확도가 88%에 달하는 것으로 나타났다. 새로운 환자 100명의 검사 정보를 입력하면 그 중 88명의 체외충격파 쇄석술의 치료 경과를 정확하게 예측할 수 있다는 뜻이다. 또 체외충격파 쇄석술의 치료 경과에 가장 큰 영향을 미치는 요소가 낀 돌의 크기와 돌의 강도, 그리고 위치라는 것도 알아냈다.
양성우 충남대학교병원 비뇨기과 교수는 “환자의 정보를 토대로 체외충격파 쇄석술이 어느 정도 효과를 거둘 수 있을지 예측해 환자를 더 효율적으로 치료하는 것이 목표”라고 말했다.

지금까지는 의사가 환자의 경동맥(목 부위에 있는 동맥)을 초음파 영상으로 관찰하면서 혈관이 좁아진 정도를 경험적으로 판단했는데, 수치적으로 정밀하게 측정할 수 있다면 환자의 상태를 파악하는 데 도움이 된다.
현재 연구팀은 딥러닝을 적용해 이 문제를 풀고 있다. 경동맥 초음파 영상을 학습시켜서 영상에서 경동맥만을 따로 분리할 수 있게 만들고 있다.
전기완 선임연구원은 “불과 10초 이내에 100장 이상의 영상에서 타원 모양의 경동맥 혈관만을 정확하게 찾아내는 데 성공했다”며, “다음 단계로 수학 모형을 적용해서 혈관에서 혈액과 혈관을 분리해 혈관이 얼마나 좁아졌는지 그 정도를 정량적으로 측정할 수 있게 만들 것”이라고 말했다.
● 딥러닝으로 CT 촬영 더 안전하게

연구팀은 방사선량을 줄여서 형체를 알아보기 어려운 희미한 영상을 깨끗하게 만들기 위해 딥러닝 기법을 적용했다. 알파고를 통해 잘 알려진 딥러닝 기법은 영상을 구성하는 각 픽셀 정보를 학습해서 영상에 담긴 내용을 파악하는 기계학습 기술이다.
연구팀은 과거 방사선량에 대한 기준이 낮았을 때 촬영한 어린이 환자의 CT 영상과 적은 양의 방사선을 발생시켜 촬영한 최근 CT 영상을 학습시켰다. 같은 부위를 촬영한 여러 이미지를 비교학습하면서 영상에서 어떤 요소들이 필요 없는 잡음인지를 인식하게 만든 것이다.
이 결과를 토대로 CT 영상 화질을 개선할 수 있는 알고리듬도 만들었다. 연구를 이끈 전 선임연구원은 “영상의학과 전문가들이 판정한 결과 영상의 화질을 5단계로 나눴을 때 화질을 2단계에서 3단계로 한 단계 정도 개선시켜 주는 효과를 얻을 수 있는 것으로 나타났다”고 말했다.
연구팀은 피부과 연구팀과 함께 손가락 지문 패턴이 형성되는 원리를 수학적으로 규명하는 연구도 최근 시작했다. 지문이 발생하는 원리에 대해 다양한 연구가 이뤄져 왔지만 아직 모든 학자들이 동의할 정도로 명확한 원리가 밝혀지지는 않았다. 연구팀은 생물의 다양한 패턴 형성에 대해 연구한 영국 수학자 앨런 튜링의 ‘반응-확산 방정식’이 사람의 지문 형성을 설명하는 데에도 적절하게 쓰일 수 있을지, 아니면 다른 원리가 있을지 알아볼 예정이다. 지문 형성 원리를 연구한 뒤에는 피부에 다양한 형태의 주름이 형성되는 원리에 대해서도 수학적으로 분석할 계획이다.
관련기사 : 수학동아 12월호 수학자들이 병원에 간 이유는? “질병 문제 함께 풀어요”
[최영준 기자 jxabbey@donga.com]
Copyright © 동아사이언스. 무단전재 및 재배포 금지.