
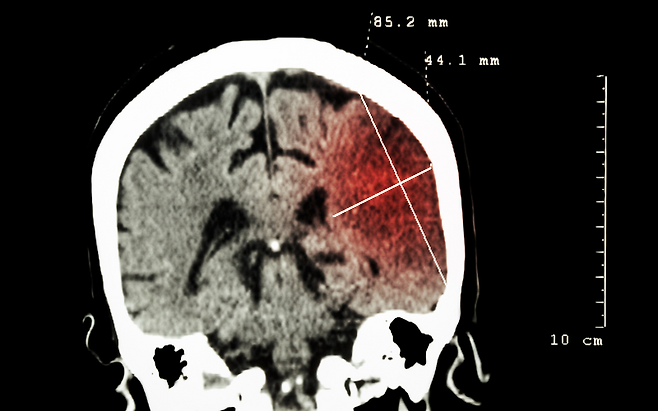
뇌경색은 뇌로 가는 혈관이 막혀 뇌세포가 손상되는 무서운 질환입니다. 특히 초기 전조 증상을 모르고 방치하면 단 몇 분 만에 생명이 위태로워질 수 있죠.
그래서 평소에 ‘이상하다’ 싶은 증상이 있다면, 그냥 넘기지 말고 즉시 확인해야 합니다.
1. 갑자기 말이 어눌해지고, 말이 잘 안 나온다

정상적으로 대화를 하던 중 갑자기 단어가 떠오르지 않거나, 말이 어눌해지고 발음이 꼬이는 느낌이 든다면 뇌경색의 신호일 수 있습니다.
특히 자신은 말을 잘하고 있다고 느끼지만, 주변에서 이상하게 듣는다면 즉시 의심해봐야 합니다.
2. 한쪽 팔이나 다리에 힘이 빠지고, 저린다

한쪽 팔이나 다리가 갑자기 무기력하게 느껴지고 힘이 빠지는 증상도 대표적인 전조입니다. 주로 뇌의 한쪽 혈관이 막히면 반대편 팔다리에 이상이 생깁니다. 평소와 다르게 물건을 자주 떨어뜨리거나, 걸음걸이가 이상해졌다면 주의해야 합니다.
3. 시야가 흐려지거나, 시야 일부가 잘 안 보인다

갑자기 한쪽 눈이 잘 안 보이거나 시야 일부가 가려지는 증상도 있을 수 있습니다. 뇌혈류가 일시적으로 줄어들면 시신경 기능도 떨어지기 때문인데, 마치 ‘눈앞이 깜깜해졌다’는 느낌을 받기도 합니다.
4. 갑작스러운 어지럼증, 구토, 균형감각 상실

이유 없는 어지럼증이나 구토, 몸의 균형을 잡기 어려운 증상이 생기면 소뇌나 뇌간 부위에 이상이 생겼을 가능성이 있습니다. 단순히 피곤하거나 빈혈이라고 넘기지 말고, 지속되거나 심해진다면 병원을 찾아야 합니다.
‘이상한 느낌’이 들면 바로 확인하세요

뇌경색은 예고 없이 찾아오지만, 몸은 분명 신호를 보냅니다. 갑작스런 말 어눌함, 편측 무력감, 시야 이상, 어지럼증 같은 증상은 절대 가볍게 넘겨서는 안 됩니다.
단 한 순간의 판단이 평생의 건강을 지킬 수 있습니다. "이상하다"는 느낌이 들면 바로 병원을 찾는 것, 그것이 뇌를 지키는 가장 빠른 행동입니다.
Copyright © 뇌생각