"아기 흰고래 예쁘죠?" 美 공원, 벨루가 태아 초음파 영상 공개
전체 맥락을 이해하기 위해서는 본문 보기를 권장합니다.
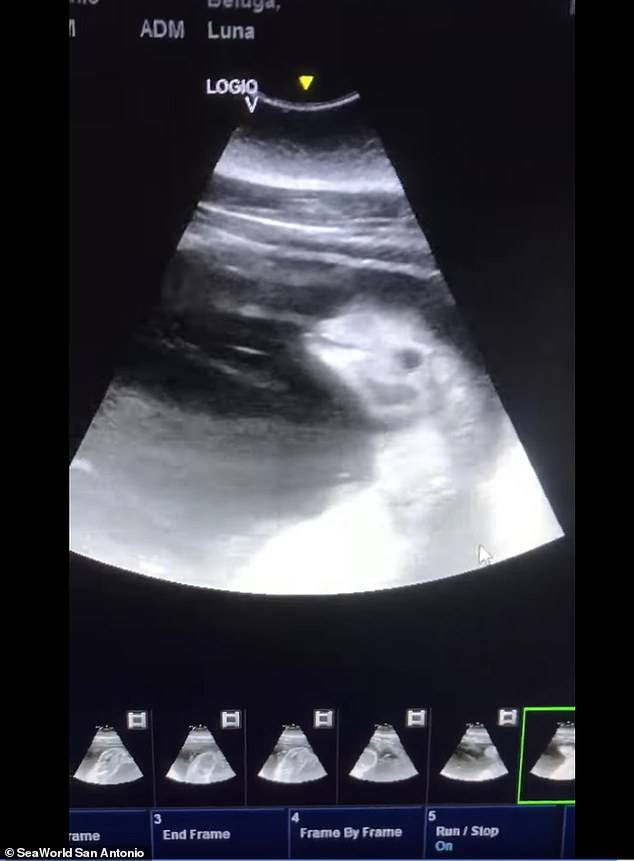
미국의 한 해양테마공원 측이 흰고래로도 불리는 벨루가 암컷 한 마리가 임신했다는 소식을 전하며 어미 배 속에서 새끼가 움직이고 있는 모습을 담은 보기 드문 초음파 영상을 공개해 화제다.
KSAT 등 현지매체 보도에 따르면, 텍사스주(州) 관광명소 '시월드 샌안토니오 지점'은 지난 11일(현지시간) 페이스북을 통해 암컷 벨루가 루나(Luna)의 배 속 태아를 촬영한 초음파 영상을 공개했다.
이 글자크기로 변경됩니다.
(예시) 가장 빠른 뉴스가 있고 다양한 정보, 쌍방향 소통이 숨쉬는 다음뉴스를 만나보세요. 다음뉴스는 국내외 주요이슈와 실시간 속보, 문화생활 및 다양한 분야의 뉴스를 입체적으로 전달하고 있습니다.
[서울신문 나우뉴스]

미국의 한 해양테마공원 측이 흰고래로도 불리는 벨루가 암컷 한 마리가 임신했다는 소식을 전하며 어미 배 속에서 새끼가 움직이고 있는 모습을 담은 보기 드문 초음파 영상을 공개해 화제다.
KSAT 등 현지매체 보도에 따르면, 텍사스주(州) 관광명소 ‘시월드 샌안토니오 지점’은 지난 11일(현지시간) 페이스북을 통해 암컷 벨루가 루나(Luna)의 배 속 태아를 촬영한 초음파 영상을 공개했다.


영상은 태아 상태의 새끼 벨루가가 움직일 때마다 그 머리와 눈 그리고 상반신 일부가 나타나는 모습을 담고 있다.
이에 대해 공원 측은 “어미는 ‘허즈번드리 트레이닝’(husbandry training)으로 불리는 특수 훈련을 받은 덕분에 수의팀이 검사하는 동안 가만히 있을 수 있어 초음파 영상을 기록할 수 있었다”고 설명했다. 허즈번드리 트레이닝은 동물원 등에서 멸종 위기에 처한 동물 등을 보존하기 위한 노력의 일부분으로 행하는 훈련 방법을 말한다.
공원 측은 또 “우리는 루나의 임신 소식을 공유하게 돼 매우 기쁘고 앞으로 새끼 벨루가를 시월드 가족으로 맞이할 날을 기대하며 어미를 24시간 내내 보살필 계획”이라고 밝혔다. 초음파 영상 속 새끼 벨루가는 오는 가을쯤 태어날 예정이다.
현재 20세인 어미 루나는 이 공원 태생으로 지금까지 새끼 세 마리를 낳았다. 지난 2010년 태어난 첫째 애틀라(Atla)는 인공수정으로 잉태된 최초의 벨루가들 중 한 마리로 유명하지만, 루나가 양육을 거부하는 바람에 사육사들 손에 의해 키워질 수밖에 없었다.

반면 3년 뒤 두 번째로 태어난 샘슨(Samson)과 2016년 마지막으로 태어난 케나이(Kenai)는 루나가 직접 키웠다. 벨루가는 최대 수명 약 50세로, 몸길이는 최대 5.5m, 몸무게는 최대 1.6t까지 나갈 수 있다. 암컷은 보통 3년마다 새끼 한 마리를 낳으며 임신 기간은 최소 14개월부터 최대 16개월까지다. 새끼는 태어났을 때 몸길이 1.5m, 몸무게 80㎏에 달하며 그 즉시 어미와 함께 물 속을 헤엄칠 수 있다. 그리고 불과 몇 시간 만에 어미의 젖을 먹기 시작하며 수유 기간은 1, 2년 동안 지속된다.
벨루가는 태어났을 때 회색빛을 띄지만 성장함에 따라 점차 하얗게 변한다. 주로 북극해에서 살며 여름철에는 먹이를 구하기 위해 따뜻한 남쪽 해역으로 이동하기도 한다.

벨루가는 특유의 친절함과 귀여운 외모로 전 세계 여러 나라에서 사육하고 있다. 이들은 사냥과 해양 오염 그리고 전염병 노출에 대한 위협을 받고 있긴 하지만 전 세계 개체 수는 약 20만 마리로 추정된다.
윤태희 기자 th20022@seoul.co.kr
▶서울신문 나우뉴스 통신원 및 전문 프리랜서 기자 모집합니다 나우뉴스(nownews.seoul.co.kr) [페이스북] [군사·무기] [별별남녀] [기상천외 중국] - 저작권자 ⓒ 서울신문사 -
Copyright © 서울신문. 무단전재, 재배포, AI 학습 및 활용 금지.
- 새해첫날 호텔 욕조서 숨진 승무원..11명 집단성폭행 혐의 기소
- 35세 연하남과 결혼한 60대 여성, 어려 보이려 성형수술 했다가 (영상)
- 24년전 7명 죽인 中 여성 연쇄살인범이 재판에서 한 말
- 2021년 코로나19 끝나는 날짜 예언한 인도 소년 (영상)
- 100kg짜리 '바다의 로또' 용연향 주운 어부, 35억원 횡재
- 딸이 '몹쓸짓' 당할 때 친모는 핸드폰으로 영상만 찍었다
- 하필 상대가..주짓수 여성 날치기하다 영혼까지 털린 도둑 (영상)
- 세계 최초 우주로 간 고양이의 '기묘한' 반전 결말은? (영상)
- 안젤리나 졸리 닮고싶어 성형하다 좀비 된 여성, 진짜 얼굴 공개 (영상)
- 심해의 공포, 사람보다 큰 거대 '대왕오징어'의 비밀 (영상)