옆구리 심한 통증 소변서 피 나온다면..신장 위협하는 요로 결석 가능성
건국대병원 박형근 교수 "10년내 재발률 50%..체질과 관련 깊어"

요로 결석은 대부분 신장이 배출하는 칼슘과 수산이 뭉쳐져 생긴다. 칼슘이나 수산을 과하게 섭취하거나 짜게 먹으면 신장이 수산을 과하게 배출하면서 뭉쳐 결석이 되기 쉽다.
수분 섭취량이 적은 경우, 소변 속 결석 성분이 잘 녹지 않고, 결석이 생겨도 소변량이 적어 몸 밖으로 잘 빠져나오지 않으면서 생성되기도 한다. 또 결석 생성을 억제하는 '구연산'이 체내에 부족해도 나타날 수 있다.
대표적인 증상은 갑작스러운 통증이다. 결석이 소변이 배출되는 길을 따라 내려가다가 막히면 신장과 요관 내 갑자기 소변이 차면서 신장이 늘어나고 주변 근육과 장기가 자극을 받는다.
건국대병원 비뇨의학과 박형근 교수는 "요로결석 통증은 수십 분에서 수 시간 정도 지속되다가 사라졌다가 이후 다시 나타나는 간헐적 형태를 보이는 경우가 많다"고 설명했다.
통증은 결석 모양과 크기, 위치에 따라 다르게 나타난다. 신장 결석은 증상이 없거나 가벼운 소화불량 정도로 나타난다. 요관 결석은 옆구리에서 등으로 이어지는 통증이 발생한다. 방광 결석은 아랫배 불쾌감이나 소변이 자주 마렵고, 소변을 보아도 시원하지 않은 배뇨 증상을 보인다. 공통적으로 소변에 피가 섞여 나오는 혈뇨를 동반한다.
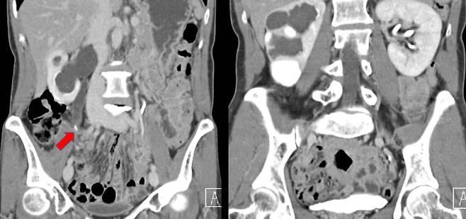
박형근 교수는 "요로결석으로 인한 통증은 시간이 지나면서 사라지는 경우가 많은데, 이 때문에 결석을 방치하는 경우가 많다"고 말했다. 박 교수는 이어 "방치할 경우, 결석 크기가 커지면서 신장기능을 잃는 등 다양한 합병증이 나타날 수 있다"며 "염증과 관련된 결석은 신장을 가득채울 만큼 크기가 커질 수 있다"고 덧붙였다.
대표적인 합병증은 신장에 물이 차는 수신증이다. 요관에 결석이 생기면 소변이 나갈 수 없게 되면서 그 소변이 신장까지 차고 넘쳐 내부를 가득 메우고, 더 진행되면 내부 공간을 확장시킨다. 수신증이 발생하면 신장 기능이 떨어지고, 이 상태가 지속되면 신장 기능을 영구적으로 상실하며 만성신부전으로 이어질 수 있다.
또 결석이 있는 상태에서 요로 감염이 함께 나타나는 경우, 신우신염이나 패혈증에 이를 수도 있다. 특히 당뇨 환자는 소변에 당이 있어 세균 번식이 쉬워 요로감염에 취약하기 때문에 패혈증이 오는 등 갑자기 쇼크가 나타나거나 사망에 이를 수도 있어 각별한 주의가 필요하다.
재발률도 높다. 박형근 교수는 "요로 결석은 한 번 발병하면 1년 이내 10%, 10년 이내 50%로 재발률이 높은 것으로 알려졌다"며 "환자 체질과 생활습관과 관련이 깊기 때문"이라고 설명했다. 박 교수는 "환자 체질이란 소변 속 결석을 만드는 칼슘이나 수산 같은 물질을 많이 배출하는 경우로 유전적으로 발생하기 때문에 고치기가 어렵다"며 "요로 결석 수술 후 식단 조절은 물론 충분한 수분 섭취와 적당한 운동이 필수"라고 설명했다.
치료법은 통증 정도와 결석 크기에 따라 나뉜다. 결석 크기가 5mm 이하로 통증 등의 증상이 심하지 않고, 합병증이 없는 경우, 결석이 자연스럽게 빠지기 기다리는 대기요법을 쓴다. 소변량이 2~3ℓ이상이 되도록 충분히 수분을 섭취하며 경우에 따라 결석이 빠지는 것을 돕는 약물 치료를 함께 진행하기도 한다.
사용하는 약물은 전립선비대증에도 사용하는 약물(alpha blocker)로 요도나 전립선 주위 근육을 이완시켜 배뇨를 돕는 것처럼, 요관을 이완시켜 소변을 통해 결석이 배출되게 한다.
통증이 심하거나 결석 크기가 5mm 이상일 때는 체외충격파쇄설술이나 결석 제거술을 시행한다. 체외충격파쇄설술은 몸 밖에 충격파를 가해 결석을 부숴 배출시키는 방법이다.
박형근 교수는 "입원과 마취가 필요없어 간편하게 시행할 수 있다"며 "다만 결석이 크거나 단단한 경우 한번에 깨지지 않을수 있어 여러번 치료하는 경우가 있을 수 있고, X-레이에서 잘 보이지 않는 경우에는 시술이 어렵다"고 설명했다.
결석이 매우 크거나, 합병증이 있는 경우, 쇄석술 치료가 잘 되지 않을 때는 내시경을 통해 수술적 치료를 한다. 성공률은 95%로 높지만, 입원과 마취가 필요하다.
요로결석을 예방하는 가장 확실한 방법은 충분한 수분 섭취와 식습관 교정이다. 하루 1.5~2ℓ이상 물을 섭취하되, 여러 번에 나눠 마시는 게 좋다. 술은 오히려 결석을 유발하기 때문에 피해야 한다. 또 결석 성분이 칼슘과 수산이기 때문에 과한 섭취를 금해야 한다. 박형근 교수는 "수산화나트륨이 많이 함유된 시금치, 땅콩, 초콜릿 등을 피하는 것이 좋다"며 "멸치 같이 칼슘이 많이 들어있는 음식에 대한 문의가 많은데, 요로 결석 환자가 칼슘 섭취를 줄이면 오히려 결석 위험을 증가시킨다는 연구가 있어 적절히 섭취하는 것이 좋다"고 덧붙였다.
염분 섭취는 제한하는 것이 필요하다. 소금 같이 짠 음식이 결석을 서로 붙이는 접착제 같은 역할을 하기 때문이다. 또 과도한 육류와 과량의 비타민C 섭취도 피해야 한다.
박형근 교수는 "결석 환자는 정기적으로 비뇨의학과를 방문해 꾸준히 혈액과 소변을 통해 대사 검사와 영상 검사를 받는 것이 결석 재발과 합병증 예방에 중요한 부분"이라고 당부했다.
[이병문 의료선임기자]
[ⓒ 매일경제 & mk.co.kr, 무단전재 및 재배포 금지]
Copyright © 매일경제 & mk.co.kr. 무단 전재, 재배포 및 AI학습 이용 금지
- 세종병원그룹, 유전질환 분야 명의 이진성 교수 영입
- 회전근개 손상, 비수술 `핌스(PIMS)`치료 주목
- 환절기 건조한 피부, 태극제약 스킨 시리즈 2종으로 관리 하세요
- 렉키로나, 유럽 입성 임박…EMA, 품목허가 사전검토
- 셀트리온제약, 지난해 매출 2335억원…역대 최대 실적 달성
- 강경준, 상간남 피소…사랑꾼 이미지 타격 [MK픽] - 스타투데이
- AI가 실시간으로 가격도 바꾼다…아마존·우버 성공 뒤엔 ‘다이내믹 프라이싱’- 매경ECONOMY
- 서예지, 12월 29일 데뷔 11년 만에 첫 단독 팬미팅 개최 [공식] - MK스포츠
- 이찬원, 이태원 참사에 "노래 못해요" 했다가 봉변 당했다 - 스타투데이
- 양희은·양희경 자매, 오늘(4일) 모친상 - 스타투데이