지난 편, ‘어깨가 아픈 세 가지 이유’에 보내주신 성원 감사드린다.
말미에 다음에 다룰 주제로 ‘석회성 건염’과 ‘회전근개 힘줄에 좋은 운동법’에 대한 추천을 부탁드렸는데 둘 다 막상막하였다.
척추와 관절 통증을 가진 분들이 어떻게 운동해야 하는지를 제대로 알려드리는 것이 최근 몇 년간 필자에게 가장 중요한 화두(話頭)다. 이 문제로 진료실에서 많은 씨름을 하기도 한다. 몸에 좋으라고 운동을 하는데 잘못 알고 있는 개념으로 몸을 망치는 분들이 너무나 많기 때문이다. 아예 책을 한 권 내려고 준비 중이다. 일단 ‘회전근개 힘줄에 좋은 운동법’을 먼저 다룬다. ‘석회성 건염’은 다음 기회를 엿본다.

어깨가 운동을 만날 때
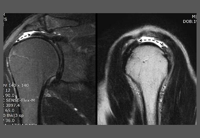
골프를 엄청 즐기는 72세 남성이 심한 오른쪽 어깨 통증으로 진료실을 찾는다. MRI를 확인하니 회전근개 힘줄 중 가장 잘 끊어지는 극상근 힘줄이 전층(全層)으로 파열되어 있었다(그림 1). 보통, 극상근 힘줄 전층 파열은 양말에 구멍이 나듯이 일부 부위에만 전층 결손이 생기는데 이분은 상당히 광범위한 전층 결손으로 완전 파열에 가까웠다. 극상근 근육 자체의 위축이 심한 것으로 봐서 파열이 오래전부터 있었던 것으로 추정된다.
병력을 확인해보니 지난 몇 년 동안 가끔 어깨가 아팠고 작년에 심하게 아파서 어깨에 주사를 맞고 회전근개 근력 강화 운동을 하였다고 한다. 아마도 수년 전부터 파열이 시작되었던 것으로 생각된다. 그런데 힘줄이 찢어지고 있는 근육에 강화 운동을 한 것은 성급했던 것으로 보인다.

최근 한 달 전부터 통증이 심해졌고 이후 4일 연속 골프를 친 후 더 악화하였다고 한다. 파열이 된 지 오랜 시간이 지났고 그동안 잘 적응하고 있었으므로 수술적 치료보다는 주사로 통증을 호전시킨 다음 회전근개 힘줄에 좋은 운동을 충실히 하는 방향으로 치료 방침을 정하였다.
회전근개 힘줄에 좋은 운동
회전근개 힘줄이 약해지고 손상이 되면 어떤 운동을 해야할까? 아래 보기에서 하나를 골라 보시라.

정답은?
정답을 찾기 위해 어깨관절의 해부학을 한번 들여다보자. 어깨 관절은 견갑골과 팔뼈가 만나서 이룬다. 조금 더 구체적으로 말하자면 견갑골의 관절오목이 팔뼈의 머리를 만나서 어깨 관절이 된다. (그림 2) 그런데 견갑골의 관절오목은 아주 작은 데 비해 팔뼈머리는 커서, 마치 골프티 위에 골프공을 올려놓은 것과 같은 양상이다.

골프티 위에 놓여 있는 골프공과 같은 처지에 있는 어깨 관절은 팔을 움직이면 언제라도 어긋날 수 있다. 지극히 불안정하다.
필자는 개인적으로 ‘골프티 위에 놓인 골프공’ 보다 ‘공으로 재주를 부리는 물개’에 비유하는 것을 더 좋아한다. 이유는 어깨가 엄청나게 움직이는 동적(動的)인 관절이라 땅에 박혀 있는 골프티로는 적절한 비유가 될 수 없기 때문이다. 그런 의미에서 물개 쇼를 한번 보자.

물개가 공 쇼를 하다 공이 떨어지면 공의 잘못인가? 물개 책임인가? 당연히 물개의 책임이다. 공이 무슨 재주가 있나? 물개가 능숙하게 잘 움직여 공을 떨어뜨리지 않고 재주를 부려야 하는 것이지!
그러하다. 물개가 잘 움직여야 공을 떨어뜨리지 않고 재주를 부릴 수 있다. 어깨도 마찬가지다. 회전근개 힘줄에 손상이 있어 어깨가 불안정해져도 견갑골(물개)이 제대로 움직이면 어깨 관절에 큰 무리가 없이 잘 쓸 수 있다. 견갑골(물개)을 움직이는 근육은? 견갑골 주변 근육이다. 따라서 답은 2번이다.

회전근개 힘줄이 찢어졌을 때 견갑골 주변 근육 운동은 다음과 같다.
순서대로 하는 것이 좋다.
1. 견갑골 운동 범위 넓히기
견갑골을 위아래로 올렸다 내렸다 하고 등 뒤에서 모았다 벌렸다 하는 운동을 한다. 특별히 무게를 들 필요 없이 견갑골의 운동 범위만 넓히면 된다.
2. 견갑골 딥스(Scapula Dips)
딥스(dips) 운동을 하되 팔목(엘보)은 전혀 구부리지 않고 견갑골 주변 근육만 이용하여 몸통을 아래에서 위로 들어 올리는 동작이다.
3. 견갑골 푸시업(Scapula Push-up)
푸시업 플러스(Push-up Plus)라고 부르는 사람도 있다. 푸시업(Push-up)운동을 하되 팔목은 구부리지 않고 견갑골 주변 근육만을 이용하여 몸통을 아래에서 위로 들어 올리는 동작이다.
4. 뒤로 날개짓(Reverse Fly)
상기 1,2,3운동을 오래 지속하여 어깨를 움직일 때 통증이 거의 없다면 이 운동이 가능하다. 팔이 움직이기 전에 견갑골이 먼저 움직이도록 하는 것이 키포인트이다.
상기 72세 환자분은 스테로이드 주사 후 통증이 줄었지만 견갑운동 시작 후 3주 후에 통증 악화를 경험하였으나 운동 진도를 다시 늦추면서 지속적인 호전이 보였다. 재활 운동을 개시한 후, 3개월에 견갑골 주변 근육의 근력 증가가 보여 4개월에 골프 스윙 다시 시작하였다. 5개월째, 마침 봄이 완연한 4월이라 드라이버 스윙 없이 우드 5번까지만 사용하여 18홀을 돌았다. 별로 아프지 않았다. 재활 6개월에 프로암 라운딩이 가능하였다. 2년 후엔 3일 연속 라운딩에도 아프지 않을 정도로 회복되었다.
회전근개 힘줄에 손상이 생겼을 때, 바로 어깨 운동을 시키는 전문가들 많이 본다. 늙은 물개가 힘겹게 공 쇼를 하는 데 작대기로 공을 건드려 떨어뜨리는 격이다. 물개를 잘 보호하고 물개를 잘 도와주자.
견갑골 주변 근육 강화가 답이다. 힘내라 물개야!
*위 자료는 서울대학교병원의 소중한 자산입니다. 무단으로 사용시 저작권법에 의해 처벌 받을 수 있습니다.
*제공된 의학정보는 일반적인 사항으로 개개인의 특성을 반영하지 못합니다. 구체적인 사항에 대해서는 반드시 가까운 병원에 내원하여 상담을 받으시기 바랍니다.