먼저 저는 누구보다 병원을 신뢰하는 사람이며
가족력 때문에 주기적으로 1년에 2번 검하도 하며
한의원이나 한의사와는 전혀 상관도 없는 사람임을 밝힙니다
혹시나 본인과 다른 생각일지라도 그냥 다른이는 이렇게 느끼고 생각한다 정도로만 봐주시기 바랍니다
우리 현대인들은 컴퓨터 작업이 많고
휴대폰을 많이 하다 보니 거북목 + 목디스크를 많이 걸립니다
저역시 과거 한 15년 전쯤에 과도한 컴 작업으로 목디스크가 와서 고생을 많이 했습니다
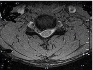
먼저 그때 아주 심각했을 당시의 제 목 MRI사진 입니다
사실 저와 같이 여러분들도 마찬가지 일반인들이 이 사진 보면 뭐 알겠습니까?
의사선생님 또는 방사선사 분들은 아실겁니다
(mri사진 개인정보는 가립니다) 저기 동그란거 한쪽이 아래로 축쳐져있죠?

저는 급성으로 디스크핵이 터져 나와서 터진 핵이 팔로가는 신경을 압박하는 상태였습니다
증상은 한 한달전 부터 팔이 저려오고 목이 불편했습니다
어느날 아침에 일어나니 젓가락을 들지도 못할정도로 팔에 힘이 빠져 버림
그래서 당시에 척추 디스크 수술 전문병원가서 찍은 사진이죠
의사선생님은 급성이다 이걸 어찌 버티고 있냐? 아프지 않냐: (사실 팔을 잘라버리고 싶은 고통) ㅠㅠ
수술 일정 잡자고 하는걸 집에서 상의하고 다시 온다 하고 나갔습니다
수술이라는 단어도 무서웠고 너무 당황을 했죠 팔에 힘이 없으니...
그러다 우연히 모 한의원을 소개받아 저 MRI 사진 카피한 CD를 한의원 원장님께 보여드렸습니다
원장님은 확률은 5:5다 본인도 이정도 심각한건 반반이라 하심
그래도 환자분이 동의하시면 한번 해보자고
저는 그래 어차피 수술할거 해보고 안되면 수술하자 생각에 동의하고 치료 시작
처음엔 목에 손도 안대심
먼저 추나로 가슴과 기타 몸의 기울어진축을 바로 잡는 추나를 시작
그리고 봉침을 놓고 한 2주후 부턴 목쪽으로 추나를 시작하심
그렇게 첫주는 매일 통원
2주차부터 4회
3주차 3회
4주차 2회 이런식으로
5주차 부턴 주1회 통원
그렇게 저는 대략 2달만에 당시에 800만원 하던 수술비용을 절약하고
비수술 요법으로 (대체의학) 목디스크를 극복했습니다
저는 저부터 제 가족중에 한의사도 없고 한의학을 뭐 널리 선전할 이유는 없는 사람이지만
제 본인이 한의원에서 목디스크를 완치한 경험을 이야기 해보는 겁니다
물론 그당시 병원 의사선생님의 의학적 지식과 소견으론 무조건 수술이 FM이 맞을겁니다
제가 아파 죽을 정도니
근데 돌이켜 생각해보면 혈관이나 심장 폐 뭐 이런 절개하고 개복하고 하는 수술이외에
특히나 근골격계 이런쪽은 한의학이 충분히 경쟁력이 있지 않나 합니다
한 3달전? 헬스하다 엘보가 왔는데
이것도 정혁외과서 체외충격파 받아도 안낫는걸 한의원서 2주만에 완치
과거에 골프치다 온 엘보도 사실 한의원서 완치
암튼 판단은 개인이 알아서 하면 됩니다
저도 수술이나 이런건 당연히 병원이 맞다고 생각합니다
감기도 당연히 병원가야죠 무슨 한의원입니까 ㅎㅎ
근데 굳이 젊은 나이라면 근골격계는 몸에 칼 안대고 완치가 가능한 방법도 있다는걸
말하고 싶은 겁니다
아~~ 물론 이게 완벽하게 나은건 아닌거 같음 (이건 수술도 그렇다 합니다 재발한다고 수술후)
한 3년 후 부터 무리하게 컴작업을 하면
목이 불편해지고 팔이 살짝 저려옵니다
그래서 집에서 목견인기로 자가 치료하는데
목견인기 소개합니다
아래꺼 저는 비추

이것도 제 개인은 비추

요건 저도 추천 (이유는 제가 다닌 한의원서도 이 견인기 사용)

아주아주 비추 ㅎㅎ

강추 오브 강추~~~
가장 저렴하고 쉽고 간편하게 집에서 사용가능합니다
한 1만~2만원대인데 저는 최근 이것만 사용함

컴퓨터나 휴대폰으로 인해 몸이 앞으로 쏠리고 그래서 상체가 말려버리고
목이 1자형이 되어 팔에 불편함이 온다 싶으면 이걸 사용하시길
-------------------------------
우리는 모두 몸이 비대칭이 되어 있습니다
앉아서 일하는 환경 기타 여러가지 사유로죠
여러분들도 오른다리랑 왼다리 길이가 다 다릅니다
골반도 비틀어 져 있기 때문임
그래서 저는 1년에 1~2회 정도 한의원 가서
추나를 받아 비틀어진 몸을 바로 맞추는 작업을 주기적으로 해줍니다
이건 어쩔수 없습니다
컴퓨터나 휴대폰 많이 사용하면 비틀려짐
추나입니다



제가 다니는데는 이 골타요법도 병행 하시더라고요

