간초음파 검사 꼬박꼬박 받았는데···간암 놓친 이유 알고 보니 [건강 팁]
만성 B형·C형 간염 또는 간경화증 있으면 간암 고위험군
무증상이라도 6개월마다 간초음파 받으면 80% 이상 발견
지방간 심하거나 간경화증 많이 진행되면 CT·MRI 병행해야

간암은 발병률과 사망률 모두 높은 암종 중 하나다. 국립암센터가 발표한 국내 암발생 현황을 살펴보면 남성에서 5위, 여성에서 6위를 차지했다. 특히 5년 생존율이 37.7%에 그쳐 90%가 넘는 유방암, 전립선암 등과 비교하면 그 예후가 매우 불량하다. 간암의 성공적인 치료를 위해서는 조기 진단이 매우 중요하다. 특히 2cm보다 작은 단일 종양이 조기에 발견되면 수술, 간이식, 경동맥화학색전술, 고주파열치료술 등 다양한 치료 방법을 적용할 수 있고 기대되는 생존율도 높아진다.
간암은 대부분 만성 B형간염 또는 C형간염, 간경화증을 가진 환자에서 발생한다. 우리나라를 포함해 미국, 유럽, 일본 등 많은 국가들은 이러한 환자들은 간암 발생 고위험군으로 분류하고 정기적인 초음파검사를 받도록 권장하고 있다. 일반적으로 6개월 간격으로 간초음파 검사를 시행하면 증상이 나타나기 전이라도 간암의 80% 이상을 발견할 수 있다.
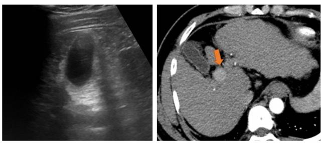
하지만 수술적 치료가 가능한 조기 간암의 경우 간초음파 검사만 시행할 경우 발견할 수 있는 확률이 절반 수준이다. 실제 간초음파 검사만으로 추적 검사를 시행할한 환자들 중 적지 않은 수가 조기 진단 되지 못하고 간암이 진행된 상태에 발견된다. 특히 비만, 알코올 섭취 등으로 지방간이 심하거나 간경화증이 많이 진행된 경우에는 초음파만으로 간 전체를 관찰하는 것이 불가능하기 때문에 간초음파의 진단 능력이 더욱 떨어진다. 간초음파 검사 대상으로 적절하지 않은 환자들의 간암 발생 가능성이 더 높은 경우가 대부분이라 더욱 문제가 되고 있다.

일본간학회는 간암 발생 가능성이 매우 높은 간경화증 환자에게 간초음파 외에도 전산화단층촬영(CT) 또는 자가공명영상촬영(MRI)을 이용한 추적 검사를 추천한다. 대한간암학회와 국립암센터 간암 진료지침에도 간암 검진 시 CT나 MRI를 이용을 고려하라고 적시되어 있다. CT나 MRI는 간암을 발견하는 능력이 간초음파보다 현저히 뛰어나다. 또한 지방간이나 간경화 정도에 따라 진단 능력이 달라지지 않고, 조직검사 없이도 간암을 진단할 수 있어 임상적으로 매우 유용하다. 물론 CT나 MRI도 단점이 있기 때문에 모든 환자들에게 추천되지는 않는다.
CT의 경우 조영제 부작용과 방사선 위해를 고려해야 한다. CT에 사용하는 요오드 조영제는 대부분의 사람들에게 안전하지만 수만 명의 한 명 정도의 매우 낮은 빈도로 심각한 알레르기 반응을 일으킬 수 있어 주의가 필요하다. 또한 요오드 조영제는 콩팥 기능이 떨어진 환자에게 급성 신부전을 일으킬 수 있다. CT의 방사선 위해 역시 무시하기 힘들다. 가능성이 매우 낮다고는 하나 주기적인 추적 관찰이 필요한 간암 검진 대상자들에게 지속적으로 CT검사를 하라고 권고하려면 방사선에 의한 암 발생 위험을 고려하지 않을 수 없다. 따라서 최근에는 더 적은 양의 조영제와 방사선을 사용하는 CT 검사방법이 연구되고 있다. MRI는 비교적 안전하고 정확한 검사법이지만 비용이 비싸고 예약이 어렵다. 이미 간암이 발생한 환자가 MRI 검사를 받을 땐 건강보험이 적용되지만 아직 간암이 발견되지 않은 만성 간염, 간경화증 환자의 경우비보험으로 MRI 검사를 받아야 한다. 학계에서는 간 MRI 검사 중 일부 간암 검진에 필요한 부분만 시행하는 단축 MRI 검사 방법이 연구되고 있다. 조영제를 사용하지 않는 간 MRI도 검사의 정확도를 유지하면서 비용 및 부작용을 줄일 수 있는 대안으로 거론된다.
장단점을 종합적으로 따져보면 보통의 경우보다 간암 발생 가능성이 매우 높은 환자들은 CT나 MRI를 이용한 간암 검진을 시행해야 한다. 만성 B형, C형 간염과 함께 간경화증이 있는 경우가 대표적이다. 이런 환자들은 간암 발생 가능성이 연간 2~3%를 넘는다. 특히 간초음파에서 간 전체가 보이지 않는다면 CT나 MRI를 적극 고려해야 한다. 혈액검사에서 간암의 종양표지자가 증가된 경우도 CT나 MRI를 이용한 간암 검사의 대상이 될 수 있다.
간암 검사에서 무엇보다도 중요한 점은 환자들의 협조다. 간암은 대부분 위험인자가 있는 환자들에게서 발생하므로 적극적으로 추적 검사를 시행하면 조기에 발견할 가능성을 높일 수 있다. 하지만 국내 간암 위험 환자들 중 주기적으로 외래를 방문해 간초음파 검사 등을 시행받는 비율은 절반이 못된다. 간암 발생 위험이 있는 만성 간염, 간경화증 환자라면 주기적으로 의료기관을 방문해 추적 검사를 받는 것이 무엇보다 중요하다는 걸 기억하자.
안경진 기자 realglasses@sedaily.comCopyright © 서울경제. 무단전재 및 재배포 금지.
- “지옥 보여주겠다” 막말한 부모…‘JMS 2세’들 정명석 만행 폭로
- 참을 수 없는 ‘식후 땡’ 유혹? 담배 한모금이 '이 병' 부른다[헬시타임]
- 대마 합법인 '이 나라'…'대마 쿠키' 먹은 아이들 집단 입원
- '이 정도면 떡을 친다' 했다가 분위기 '싸'…문해력 논란 '재점화'
- 피해자 고통에도…정순신 부부 “욕도 안하는 반듯한 아들”
- “신던 스타킹 30만원에 사겠다”…여중생 성폭행한 인면수심 남성들
- 얼굴 확 바꾼 '쏘나타 디 엣지' 첫 선…'독보적 상품성 갖춰'
- '요리 내 취향, 운명 느껴' 20살 차 상사 고백에 여직원 '엄마야'
- “후지산 올해 폭발 우려…3시간만에 도쿄 마비될 것”
- 정윤정·유난희 '생방 사고'에 홈쇼핑만 철퇴?···"쇼호스트 제재도 필요"